Найти в Дзене

Как коронавирус атакует мозг

Ученые сообщили, что дело не только в легких - патоген может проникать в клетки мозга, вызывая такие симптомы, как бред и спутанность сознания.
Коронавирус поражает в первую очередь легкие, но также почки, печень и кровеносные сосуды. Тем не менее, около половины пациентов сообщают о неврологических симптомах, включая головные боли, спутанность сознания и делирий, предполагая, что вирус также

Ученые сообщили, что дело не только в легких - патоген может проникать в клетки мозга, вызывая такие симптомы, как бред и спутанность сознания.

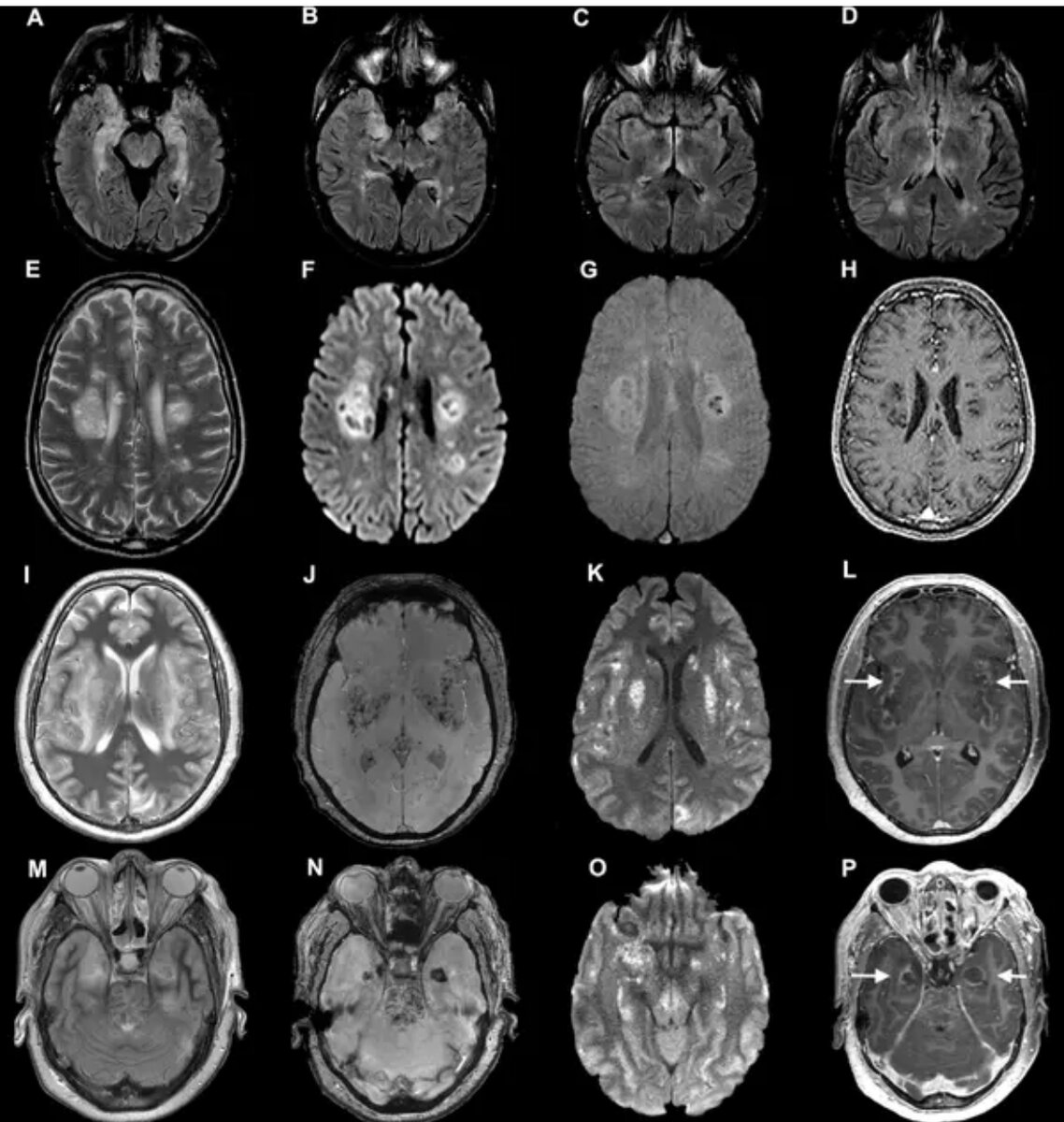
Сканирование мозга пациентов с коронавирусом из исследования, опубликованного в июле. Ученые обнаружили, что у некоторых развиваются серьезные неврологические осложнения, включая повреждение нервов.Кредит ...Росс У. Патерсон, Рэйчел Л. Браун и др. / Брейн, Oxford University Press
Сканирование мозга пациентов с коронавирусом из исследования, опубликованного в июле. Ученые обнаружили, что у некоторых развиваются серьезные неврологические осложнения, включая повреждение нервов.Кредит ...Росс У. Патерсон, Рэйчел Л. Браун и др. / Брейн, Oxford University Press

Коронавирус поражает в первую очередь легкие, но также почки, печень и кровеносные сосуды. Тем не менее, около половины пациентов сообщают о неврологических симптомах, включая головные боли, спутанность сознания и делирий, предполагая, что вирус также может атаковать мозг.

Новое исследование предлагает первые четкие доказательства того, что у некоторых людей коронавирус проникает в клетки мозга, захватывая их, Чтобы сделать свои копии. Вирус также, кажется, всасывает весь кислород поблизости, умирая от голода соседние клетки.

Неясно, как вирус попадает в мозг и как часто он оставляет этот след разрушения. Инфекция мозга, вероятно, встречается редко, но некоторые люди могут быть восприимчивыми из-за своего генетического фона, высокой вирусной нагрузки или по другим причинам.

«Если мозг действительно инфицирован, это может иметь летальные последствия», - сказала Акико Ивасаки, иммунолог из Йельского университета, руководившая работой.

Исследование было размещено в сети в среду и еще не было проверено экспертами для публикации. Но несколько исследователей сказали, что это было осторожно и элегантно, показывая разными способами, что вирус может инфицировать клетки мозга.

Ученым приходилось полагаться на визуализацию мозга и симптомы пациента, чтобы сделать вывод о воздействии на мозг, но «мы действительно не видели много доказательств того, что вирус может заразить мозг, хотя мы знали, что это потенциальная возможность», - сказал доктор. Майкл Занди, невролог-консультант Национальной больницы неврологии и нейрохирургии Великобритании. «Эти данные просто дают немного больше доказательств того, что это определенно возможно».