Добавить в корзинуПозвонить
Найти в Дзене
«Стоммаркет.Блог»

Воспалилась десна? Что это такое?

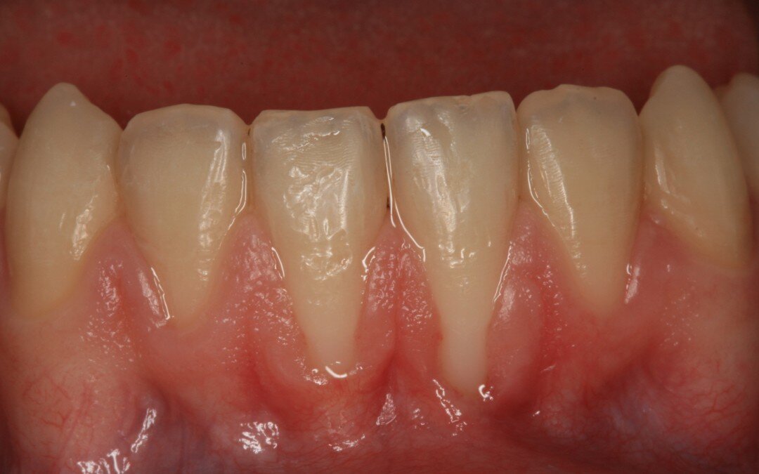
Воспаление десен, одна из частых проблем взрослых и детей. В стоматологии такое состояние называют гингивитом, когда происходит повреждение десны без вовлечения ее тканей и зуба. Болезнь относиться к группе патологий поражающих пародонт, обладает способностью прогрессировать, приобретать более тяжелые формы, поэтому требует правильной терапии. Если диагностируется гингивит, лечение у взрослых и детей должно проходить после посещения врача стоматолога, который составит план лечения, даст полезные рекомендации по уходу за ротовой полостью. Прежде чем рассматривать возможные способы лечения, важно ознакомиться с причинами, видами и симптомами данного заболевания. Что такое гингивит Гингивит – начальная стадия воспаления краевой части  десны, затрагивающая межзубные сосочки. Распознать болезнь можно по повышенной чувствительности зубов, кровоточивости десен, ощущении боли при приеме пищи, а также неприятном запахе изо рта. Причиной для развития болезни могут выступать самые разные факторы,
Оглавление

Воспаление десен, одна из частых проблем взрослых и детей. В стоматологии такое состояние называют гингивитом, когда происходит повреждение десны без вовлечения ее тканей и зуба. Болезнь относиться к группе патологий поражающих пародонт, обладает способностью прогрессировать, приобретать более тяжелые формы, поэтому требует правильной терапии. Если диагностируется гингивит, лечение у взрослых и детей должно проходить после посещения врача стоматолога, который составит план лечения, даст полезные рекомендации по уходу за ротовой полостью. Прежде чем рассматривать возможные способы лечения, важно ознакомиться с причинами, видами и симптомами данного заболевания.

Что такое гингивит

Гингивит – начальная стадия воспаления краевой части  десны, затрагивающая межзубные сосочки. Распознать болезнь можно по повышенной чувствительности зубов, кровоточивости десен, ощущении боли при приеме пищи, а также неприятном запахе изо рта. Причиной для развития болезни могут выступать самые разные факторы, но если вовремя не предпринять меры по лечению, данное заболевание может привести к гнойным воспалениям, потере зубов. В норме десна состоит из ткани и слизистой, в которой присутствует множество нервных рецепторов и кровеносных сосудов, что и объясняет появление боли и повышенную кровоточивость при ее повреждении. Основной функцией десны считается защита зуба и пародонта от воздействия неблагоприятных факторов, также она выступает своеобразным амортизатором во время жевания пищи, помогает формировать правильный прикус. Когда в  соединительных тканях десны развивается воспалительный процесс, ее защитные         функции нарушаются, при этом она сама становиться очагом инфекции, оказывающих разрушительное воздействие на зубы и пародонт. Гингивит может иметь острое или хроническое происхождение, развиваться на фоне инфекции или иметь не инфекционное происхождение. Имеет несколько своих форм, каждая из которых отличается патологическими изменениями в деснах, имеет свою симптоматику и требует определенного лечения.

Причины и факторы риска

Основной причиной гингивита считается плохая гигиена полости рта, когда происходит скопление налета и камня в виде наддесневых и поддесневых отложений. Присутствие налета на зубах и деснах способствует скоплению бактерий, их активному размножению, с последующим развитием инфекции, которая вызывает воспаление слизистой оболочки десен. Помимо этого, виновником гингивита могут выступать:

  • сниженный иммунитет;
  • неправильный прикус;
  • пришеечный кариес;
  • неправильная установка ортодонтических конструкций;
  • ошибки при протезировании зубов;
  • гормональные нарушения;
  • период беременности;
  • авитаминоз;
  • внутренние инфекционные заболевания;
  • длительный прием сильнодействующих лекарственных препаратов;
  • механическое или химическое повреждение слизистой оболочки рта;
  • курение;
  • прорезывание зуба мудрости;
  • сахарный диабет.

Врачи в области стоматологии придерживаются мнения, что гингивит как самостоятельное заболевание развивается очень редко. В подавляющем большинстве спусковым механизмом выступают внутренние заболевания или плохой уход за зубами и ротовой полостью.

Виды и симптомы

Патогенез гингивита достаточно обширный, поскольку все зависит от разновидности болезни. Однако существует ряд симптомов, указывающих на развитие воспалительного процесса в тканях десны:

  • гиперемия (краснота);
  • повышенная кровоточивость;
  • неприятный запах изо рта;
  • мелкие язвочки на десне;
  • повышенная чувствительность к холодным или горячим напиткам;
  • боль во время чистки зубов или приема пищи.

Помимо основных симптомов, могут увеличиваться шейные или подчелюстные лимфоузлы, отмечаться незначительное повышение температуры тела, слабость, трудности с глотанием пищи. Клиника при гингивите напоминает симптомы пародонтита, поэтому очень важно обратится к стоматологу, который сможет оценить состояние ротовой полости, поставить правильный диагноз, назначить эффективное лечение гингивита. Симптоматика гингивита может проявляться в меньшей или большой степени, ее интенсивность будет зависеть от формы болезни, каждая из которых сопровождается определенными изменениями в слизистой оболочки десны.

Острый катаральный гингивит

Наиболее распространенная форма болезни, при которой присутствует умеренный воспалительный процесс, не  затрагивающий глубокие ткани. Сопровождается ощущением жжения в деснах, неприятным запахом изо рта, повышенной кровоточивостью из десен во время чистки зубов. Некоторые больные жалуются на изменение вкуса, боль в зубах при употреблении горячей или холодной еды. Изредка может повыситься температура тела до субфебрильных показателей. Лечение катарального гингивита зачастую не требует приема антибиотиков. Достаточно провести профессиональную чистку зубов, регулярно пользоваться антисептическим растворами. Пользу принесет прием витаминов, правильное питание и регулярный уход за ротовой полостью.

Хронический катаральный гингивит

Хроническая форма болезни чаще развивается на фоне острого периода, когда лечение проводилось неправильно или больной игнорировал врачебные предписания. Болезнь отличается слабовыраженными симптомами. Воспаление поражает не только края десны, но и затрагивает десневые сосочки, распространяется на большую часть десны. Сопровождается периодами ремиссии и обострения. Десна увеличиваются в размерах, приобретают красновато-синюшную окраску, часто появляются эрозии, маленькие язвочки.  При  осмотре десен можно заметить большое скопление зубного налета, а причиной тому является то, что больные бояться чистить зубы из-за появления кровоточивости десен и  болезненности. Лечение хронического гингивита предусматривает регулярный уход за ротовой полостью и зубами, применение антисептических растворов для полоскания. Основной целью терапии считается снизить риск и частоту обострений.
Хроническая форма болезни чаще развивается на фоне острого периода, когда лечение проводилось неправильно или больной игнорировал врачебные предписания. Болезнь отличается слабовыраженными симптомами. Воспаление поражает не только края десны, но и затрагивает десневые сосочки, распространяется на большую часть десны. Сопровождается периодами ремиссии и обострения. Десна увеличиваются в размерах, приобретают красновато-синюшную окраску, часто появляются эрозии, маленькие язвочки. При  осмотре десен можно заметить большое скопление зубного налета, а причиной тому является то, что больные бояться чистить зубы из-за появления кровоточивости десен и  болезненности. Лечение хронического гингивита предусматривает регулярный уход за ротовой полостью и зубами, применение антисептических растворов для полоскания. Основной целью терапии считается снизить риск и частоту обострений.

Гипертрофический гингивит

Относиться к хронической форме гингивита, при которой присутствуют выраженные изменения на слизистой оболочке десен. Чаще всего болезнь поражает людей с неправильным прикусом. В стоматологии различают несколько видов гипертрофического гингивита:

  • Локализованный – проявляется на фоне повреждения десны при проведении стоматологических манипуляций.
  • Генерализованный – причиной развития выступает гормональный дисбаланс, авитаминоз, патологии кровеносной системы.
Характерной особенностью гипертрофического гингивита считаются патологические изменения в области десневых сосочков, которые сильно отекают, становятся рыхлыми, покрывают зубную коронку, из-за чего часто травмируются при жевании. Лечение гипертрофического гингивита помимо стандартных процедур, обязательно должно включать повышение иммунитета.
Характерной особенностью гипертрофического гингивита считаются патологические изменения в области десневых сосочков, которые сильно отекают, становятся рыхлыми, покрывают зубную коронку, из-за чего часто травмируются при жевании. Лечение гипертрофического гингивита помимо стандартных процедур, обязательно должно включать повышение иммунитета.

Отечный гингивит

Данная форма болезни сопровождается выраженной отечностью десен и их разрастанием. Отмечается сильное и частое кровотечение, зуд, боль при приеме пищи, также выраженный неприятный запах изо рта. На фоне данной патологии образуются десневые карманы, в которых скапливается налет и камень, который сложно удалить. Если вовремя не провести лечение, развиваются некротические изменения.
Данная форма болезни сопровождается выраженной отечностью десен и их разрастанием. Отмечается сильное и частое кровотечение, зуд, боль при приеме пищи, также выраженный неприятный запах изо рта. На фоне данной патологии образуются десневые карманы, в которых скапливается налет и камень, который сложно удалить. Если вовремя не провести лечение, развиваются некротические изменения.

Фиброзный гипертрофический гингивит

Достаточно тяжелая форма гингивита, но, как правило, протекает без выраженных симптомов. Десна сильно увеличена, плотно прилегают к зубу, редко кровоточит. При выраженной гипертрофии присутствуют десневые карманы, сосочки увеличены, могут покрывать часть коронковой части зуба.

Язвенный гингивит

Прогрессирующая форма болезни, при которой в слизистой оболочке десен присутствуют выраженные деструктивные изменения с эрозиями и некрозом. Сопровождается резкой болью, отеком и кровоточивостью. Присутствует повышение температуры тела, симптомы интоксикации организма. В отличие от других форм гингивита, при язвенном, на языке, деснах и зубах присутствует слой зеленоватого налета, тягучая слюна. При внешнем осмотре: землистый цвет лица, бледность кожи, при пальпации, увеличенные подчелюстные лимфатические узлы. Если диагностируется язвенный гингивит, лечение обязательно должно включать прием антибиотиков, поскольку риск осложнений и распространения инфекции достаточно большой.

Атрофический гингивит

Заболевание чаще развивается как осложнение при неправильном лечении десен. Сопровождается атрофией маргинальной десны, поражает кость лунки, что приводит к обнажению шейки зуба. В отличие от других видов воспаления, десна не краснеет, не кровоточит. Единственное, что беспокоит человека, это повышенная чувствительность зубов, боль во время приема пищи.

Гингивиты классификация диагностика лечение

Согласно международной классификации, гингивиту присвоен код К05. По характеру течения, данное заболевание может иметь разные формы, которые описаны выше. В зависимости от степени тяжести, гингивит разделяют на легкую, среднюю и тяжелую. Каждая из стадий заболевания отличается клиническими симптомами. К примеру, при легкой, воспалительный процесс поражает край десны, при средней – сосочки между зубами, а при тяжелой, обхватывает все мягкие ткани. Определить форму гингивита, стадию, сможет врач стоматолог после осмотра ротовой полости. Порой для получения полной клиники болезни, врач назначает ряд лабораторных и инструментальных методов обследования:

  • рентгенография;
  • мазок зубного налета для микробиологического исследования;
  • общий анализ крови.

Если причиной гингивита являются сопутствующие заболевания, врач направит на консультацию к другим специалистам. Лечение проводиться в зависимости от первопричины, но обязательно должна включать поход к стоматологу, который сможет назначить необходимые препараты для купирования воспаления, проведет санацию ротовой полости, даст полезные рекомендации по выбору зубной пасты, раствора для полоскания.

Общие этапы лечения

При появлении повышенной кровоточивости десен, их отечности, первым делом нужно обратиться к врачу стоматологу, который сможет составить план лечения. Терапия может включать:

  • Профессиональная чистка ротовой полости. Состоит из устранения зубных отложений. Проводиться при помощи ультразвукового аппарата с последующим применением антисептических и противовоспалительных средств.
  • Уход за ротовой полостью. В домашних условиях пациент проводит полоскание ротовой полости антисептическими растворами, накладывает лечебные аппликации, принимает назначаемые врачом лекарственные препараты: антибиотики, противовоспалительные средства, витамины. Чтобы повысить эффект от лечения, стоматолог советует пользоваться качественными и лечебными зубными пастами. Домашнее лечение составляет 5 – 7 дней, после чего нужно повторно посетить кабинет стоматолога, который сможет оценить результат после лечения.

Если в анамнезе человека присутствуют хронические заболевания, которые повлекли за собой развитие гингивита, потребуется дополнительное лечение у соответствующих специалистов.

Аппаратное лечение воспаления десен

Начальным и важным этапом в лечении гингивита считается профессиональная чистка зубов, которая состоит из применения специальных щеток и паст, позволяющих убрать зубной налет. При наличии твердых отложений, используется ультразвуковой аппарат. После чистки, эмаль полируется полировочными головками и мягкими щетками, десна обрабатываются специальными антисептическими растворами. Если есть необходимость или повышенная чувствительность зубов, врач проводит реминарилизирующую терапию.

Препараты для лечения гингивита

Лечение гингивита включает при ем лекарственных препаратов разных фармакологических групп, которые назначает врач стоматолог исходя из формы болезни, стадии, общего самочувствия пациента. Терапия может включать:

  • Противовоспалительные – снимают воспаление, уменьшают боль, обладают жаропонижающим действием: Нимесил, Нимид, Ибупрофен, Парацетамол.
  • Антисептики – обеззараживают полость рта, оказывают губительное влияние на патогенную флору: Мирамистин, раствор Фурацилина, Хлоргедексин. Предназначаются для полоскания полости рта.
  • Витаминные комплексы – обеспечивают организм необходимыми питательными веществами, повышают иммунитет: Центрум, Пиковит, Мульти Табс и другие.
  • Антибиотиками – назначаются при гнойном течении гингивита, помогают оказывать губительное влияние на патогенную флору, снижать риск осложнений. В стоматологи ческой практике чаще назначают Метронидазол или Линкомицин. Лечебный курс составляет 5 – 10 дней.

Лечение гингивита препаратами может назначать только врач, который в индивидуальном порядке подберет дозу, длительность приема. Медикаментозная терапия достаточно эффективна в лечении гингивита, но она поможет только купировать симптоматику, снизить вероятность осложнений. Для успешного лечения воспаленных десен, нужно пройти лечение у стоматолога, провести санацию ротовой полости, лечение кариозных зубов,  которые являются источником  инфекции в полости рта.

Народные методы

Хорошей эффективностью в лечении гингивита пользуются средства народной медицины, которые помогают снять воспаление, уменьшить кровоточивость десен. Врачи стоматологи наряду с аптечными препаратами часто рекомендуют полоскать полость рта отварами лечебных трав:

  • ромашка;
  • календула;
  • череда;
  • зверобой.

Для приготовления травяного отвара достаточно взять 1 л. сухого сырья растения, залить стаканом кипятка, настоять 1 час, процедить. Полоскать не менее 3-х раз в день. Народная медицина для лечения гингивита рекомендует использовать содо-йодовый раствор. На стакан воды нужно взять 1 ч. л. соли и 4 капли йода. Готовым раствором полоскать рот можно до 4-х раз в день.

Хирургическое лечение гингивита

При запущенных формах гингивита или отсутствии эффекта от консервативной терапии, пациенту может понадобиться хирургическое лечение. Современная стоматология предоставляет несколько эффективных операций по лечению гингивита:

  • Кюретаж – выскабливание пораженного десневого кармана при помощи специальных инструментов.
  • Гингивотомия – рассечение десны с последующим открытым кюретажем.
  • Гингивэктомия – иссечение десневых карманов края десны.

Операция чаще назначается для лечения некротического гингивита, который требует иссечение тканей пораженной десны. В послеоперационный период, врач назначает курс антибиотиков, дает советы по уходу за ротовой полостью.

Особенности лечения гингивита у детей

Гингивит у детей встречается также часто, как и у взрослых, но основной причиной его развития считается некачественный или плохой уход за зубами. Лечение воспаленных десен включает комплекс мероприятий, которые назначает детский стоматолог:

  • Ультразвуковая чистка зубов.
  • Противовоспалительная и антибактериальная терапия.
  • Нанесение на слизистую десен специальных гелей.
  • Полоскание полости рта антисептическими растворами.
  • Витаминотерапия.
Любой из препаратов может назначать только врач исходя из возраста ребенка, вида гингивита. Если диагностируется язвенно-некротический гингивит, лечение включает удаление омертвевших мягких тканей с последующим прижиганием десен.
Любой из препаратов может назначать только врач исходя из возраста ребенка, вида гингивита. Если диагностируется язвенно-некротический гингивит, лечение включает удаление омертвевших мягких тканей с последующим прижиганием десен.

Гингивит при беременности

Риск заболеть гингивитом в период беременности достаточно большой, поскольку болезнь способна проявится на фоне гормональных изменений, нарушения обменных процессов. Лечение гингивита при беременности проводиться после консультации со стоматологом, который проведет аппаратную чистку зубов, назначит растворы для полоскания, витаминотерапию, даст полезные рекомендации по питанию. Антибиотики в данном случае противопоказаны.

Профилактические меры

Основой профилактики гингивита считается правильный и регулярный уход за полостью рта. Важно правильно чистить зубы, использовать качественные зубные пасты и щетки,  полоскать рот после каждого приема пищи, пользоваться зубными нитями. Помимо чистки зубов, снимать налет нужно и на языке, где также скапливается налет. Лицам, которые болеют гингивитом слишком много, следует регулярно пользоваться антисептическими растворами для полоскания рта. Не менее важным профилактическим методом считается профессиональный контроль за состоянием зубов и десен. Врачи настоятельно рекомендуют один раз в полгода посещать кабинет стоматолога, чтобы он удалял с поверхности зубов твердые и мягкие отложения, при необходимости проводил лечение кариозных зубов. Снизить риск развития гингивита помогает лечение сопутствующих заболеваний, которые часто провоцируют воспаление десен. Гингивит относится к распространенным стоматологическим заболеваниям, но если вовремя распознать причину и провести необходимое лечение,  прогноз на выздоровление благоприятный.