Добавить в корзинуПозвонить
Найти в Дзене
«Стоммаркет.Блог»

Зубной камень: симптомы, причины возникновения и методы лечения

Причины образования зубного камня у детей и взрослых Механизм образования зубного камня и налета Обычно поверхность зуба покрыта пелликулой – это бесструктурная бесклеточная пленка, которая образуется из протеинов слюны. После снятия абразивом или химическими веществами она восстанавливается в течение 2 часов. Сама по себе пелликула не только не вредна, но и необходима (она является барьером, регулирующим обменные процессы между слюной и эмалью, защищая целостность структуры последней), однако именно к ней прикрепляются микроорганизмы – актиномицеты, кокки, вейлонеллы, стрептококки и филаменты. NB Пелликула может окрашиваться пищевыми красителями (кофе, вино и т.п.), в результате чего появляется поверхностная пигментация. Существуют различные зубные пасты, имеющие в своем составе химические реагенты или механические абразивы, удаляющие пелликулу, а иногда и микрослой эмали. Частое применение таких паст не рекомендовано, т.к. лишает зубы естественной защиты и может привести к их повыше
Оглавление

Причины образования зубного камня у детей и взрослых

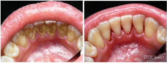
Зубной камень – это отвердевший налет (иногда он также называется зубная бляшка). Может быть наддесневым, тогда его можно увидеть невооруженным глазом, и поддесневым, в этом случае обнаружить его может только врач-стоматолог. Наиболее частая причина возникновения – неправильная или редкая чистка зубов. Налет образуется очень быстро, процесс запускается буквально через несколько минут после чистки. Минерализованные отложения – распространенная проблема, она наблюдается примерно у 90% пациентов стоматологических клиник. Обычно цвет отложений – желтый или коричневый, и проблема это не только косметическая, но и влекущая различные патологии (гингивит, кариес, кровоточивость десен, подвижность зубов, запах изо рта). Дети в меньшей степени подвержены этой неприятности, однако если вы заметили пожелтение зубов или ребенок жалуется на кровоточивость десен, лучше обратиться к врачу.
Зубной камень – это отвердевший налет (иногда он также называется зубная бляшка). Может быть наддесневым, тогда его можно увидеть невооруженным глазом, и поддесневым, в этом случае обнаружить его может только врач-стоматолог. Наиболее частая причина возникновения – неправильная или редкая чистка зубов. Налет образуется очень быстро, процесс запускается буквально через несколько минут после чистки. Минерализованные отложения – распространенная проблема, она наблюдается примерно у 90% пациентов стоматологических клиник. Обычно цвет отложений – желтый или коричневый, и проблема это не только косметическая, но и влекущая различные патологии (гингивит, кариес, кровоточивость десен, подвижность зубов, запах изо рта). Дети в меньшей степени подвержены этой неприятности, однако если вы заметили пожелтение зубов или ребенок жалуется на кровоточивость десен, лучше обратиться к врачу.

Механизм образования зубного камня и налета

Обычно поверхность зуба покрыта пелликулой – это бесструктурная бесклеточная пленка, которая образуется из протеинов слюны. После снятия абразивом или химическими веществами она восстанавливается в течение 2 часов. Сама по себе пелликула не только не вредна, но и необходима (она является барьером, регулирующим обменные процессы между слюной и эмалью, защищая целостность структуры последней), однако именно к ней прикрепляются микроорганизмы – актиномицеты, кокки, вейлонеллы, стрептококки и филаменты. NB Пелликула может окрашиваться пищевыми красителями (кофе, вино и т.п.), в результате чего появляется поверхностная пигментация. Существуют различные зубные пасты, имеющие в своем составе химические реагенты или механические абразивы, удаляющие пелликулу, а иногда и микрослой эмали. Частое применение таких паст не рекомендовано, т.к. лишает зубы естественной защиты и может привести к их повышенной чувствительности. Микроорганизмы, зафиксировавшиеся на пелликуле, образуют целые колонии, которые затем объединяются. Исследователи называют это сообщество микроорганизмов биопленкой. Есть у нее и свой защитный механизм – внеклеточный полимерный матрикс (слизь), который не дает проникать общим и местным антимикробным средствам. Это объясняет, почему отложения необходимо удалять механически. Микробные тела составляют до 80% объема, остальное – продукты их жизнедеятельности, остатки пищи, отмершие клетки эпителия. Результат – мягкий пористый налет. Под влиянием минеральных солей, входящих в состав слюны, мягкий налет отвердевает. Иногда, из-за наличия тесно связанных с верхними слоями эмали кристаллов фосфата кальция, бывает сложно определить, где кончается камень и начинается эмаль. Причины образования налета – нерегулярная или неправильная чистка зубов, использование неподходящих щеток и паст, отсутствие в рационе достаточного количества твердой пищи. Кроме того, причиной зубного камня у взрослых может быть курение.

Симптомы зубного камня

До определенного момента человек не ощущает особого дискомфорта, однако со временем могут появляться весьма неприятные симптомы:

  • Желтые или коричневые отложения на поверхности зуба. Этот сравнительно небольшой косметический дефект оказывает значительное влияние на человека: он начинает меньше улыбаться или прикрываться рукой, стесняясь показывать потемневшие зубы с темными отложениями.
  • Неприятный запах изо рта. В нем повинны продукты жизнедеятельности микроорганизмов – летучие соединения серы.
  • Повышенная чувствительность. При разрастании отложений оголяется корень зуба, из-за чего воздействие горячего и холодного, твердой пищи становится более ощутимым и неприятным.
  • Кровоточивость десен. На первых стадиях можно заметить кровь при чистке зубов или при использовании нити или флосса. Если запустить, десны будут кровоточить и, возможно, болеть при приеме пищи.
  • Отечность и гиперемия (покраснение) десен, гингивит. Происходит изменение цвета (ярко-красный), увеличение десен в размерах, нередко наблюдаются зуд или болезненность. При гингивите воспаление возникает в области примыкания зуба. Если этот патологический процесс запустить, он перейдет глубже, на связочный аппарат зуба, и возникнет пародонтит, чреватый расшатыванием и выпадением зубов.

Патогенез зубного камня

 Бактерии закрепляются на пелликуле благодаря синтезируемым стрептококками (Str. Mutans и Str. Sanguis) полисахаридам, которые обеспечивают адгезию. Кроме того, здесь действуют электростатические силы: положительно заряженные ионы кальция притягивают бактерии, имеющие на поверхности отрицательный заряд. Стрептококки синтезируют молочную кислоту, способствующую деминерализации эмали. Первые бактерии закрепляются там, где зуб имеет неровности, в частности на жевательных поверхностях премоляров и моляров (зубы, расположенные после клыков, участвующие в механическом измельчении пищи). В течение первых 4 часов после начала процесса к стрептококкам добавляются:
Бактерии закрепляются на пелликуле благодаря синтезируемым стрептококками (Str. Mutans и Str. Sanguis) полисахаридам, которые обеспечивают адгезию. Кроме того, здесь действуют электростатические силы: положительно заряженные ионы кальция притягивают бактерии, имеющие на поверхности отрицательный заряд. Стрептококки синтезируют молочную кислоту, способствующую деминерализации эмали. Первые бактерии закрепляются там, где зуб имеет неровности, в частности на жевательных поверхностях премоляров и моляров (зубы, расположенные после клыков, участвующие в механическом измельчении пищи). В течение первых 4 часов после начала процесса к стрептококкам добавляются:
  • вейлонеллы: ферментируют несколько видов кислот, повышают pH, из-за чего в налете накапливается аммиак, способствующий формированию центров кристаллизации;
  • коринебактерии: синтезируют стимулирующий развитие анаэробных бактерий витамин К;
  • актиномицеты: это каркас бляшки, они образуют переплетающиеся нити, благодаря которым к эмали могут прикрепляться другие бактерии.

Далее, в течение 4-5 дней, образуется «динамичная» бляшка, которая состоит из фузобактерий (причина развития стоматитов), вейлонелл и лактобактери. Примерно на 6 день в состав «зрелой» бляшки входят актиномицеты и анаэробные палочки. Бактерии в конгломерате действуют сообща, благодаря чему становятся более устойчивыми к воздействию антибиотиков и защитных систем организма. Повышается риск развития кариеса: микроорганизмы вырабатывают гиалуронидазу (увеличивает проницаемость эмали), различные ферменты (расщепляют гликопротеины – белково-углеводный комплекс, выполняющий в т.ч. защитную, транспортную функции) и органические кислоты (способствуют деминерализации эмали). Таким образом, бактерии проникают все глубже в эмаль, а после этого – в дентин. Минерализация бляшки начинается через 12 дней. При этом продолжается активный рост бактерий.

Классификация зубного камня

Принята классификация, зависящая от локализации:

  • Наддесневой. Чаще всего появляется на внутренней поверхности нижних зубов (в запущенном варианте переходит на внешнюю сторону), первых верхних моляров. Виден невооруженным глазом.
  • Поддесневой. Обычно имеет более плотную структуру, чем наддесневой, располагается в десневой борозде. Обнаружение возможно только при помощи специальных стоматологических инструментов.
  • Каменный мост. Охватывает несколько соседних зубов (чаще всего внутренняя сторона резцов и наружная моляров).
-3

Стадии развития

  • Формирование бляшки. На этой стадии образование еще мягкое и достаточно легко удаляется.
  • Минерализация. Происходит рост кристаллов, отвердение налета, увеличение его объема.
  • Рост. На этой стадии кристаллы насыщаются, происходит активный рост, проникновение в поддесенное пространство.

Какие могут быть осложнения

Могут иметь место как локальные, так и генерализованные осложнения. К первым относятся заболевания пародонта – гингивит и кариес. Ко вторым – заболевания сердца, ЛОР-органов. Согласно исследованиям, существует взаимосвязь между воспалительными заболеваниями полости рта и патологиями сердечно-сосудистой системы. Хроническое воспаление, спровоцированное большим количеством не удаляемых отложений, может активизировать системные воспалительные реакции, участвующие в развитии атеросклероза. Кроме того, возможно возникновение других генерализованных осложнений: сепсис, системная воспалительная реакция, обструкция дыхательных путей, медиастенит, снусит, менингоцефалит и др..

Способы лечения зубного камня

Фактически, термин «лечение» в данном случае не совсем правомочен, так как речь идет, скорее, о снятии (удалении). Рекомендуется проводить эту процедуру 1-2 раза в год. Существует несколько методик:

Ручное снятие или скейлинг. Может проводиться под местной анестезией или без нее. Используются металлические инструменты: скалеры (снимают наддесневые камни), экскаваторы (для больших образований), долота (разбивают образовавшиеся «мосты»), рашпили (для отложений на поверхности зуба), кюреты (зонды, для поддесневых камней). Основные минусы – риск повреждения эмали и десен.
Ручное снятие или скейлинг. Может проводиться под местной анестезией или без нее. Используются металлические инструменты: скалеры (снимают наддесневые камни), экскаваторы (для больших образований), долота (разбивают образовавшиеся «мосты»), рашпили (для отложений на поверхности зуба), кюреты (зонды, для поддесневых камней). Основные минусы – риск повреждения эмали и десен.
  • Ультразвук. Зубы покрываются специальным гелем, после чего ультразвуковой аппарат – скейлер – генерирует вибрации, разрушающие отложения. Как правило, пациент не испытывает дискомфорта (вибрации не чувствуются человеком), но при повышенной чувствительности или снятии поддесневого налета может быть сделана местная анестезия. Процедура занимает около часа, она абсолютно безопасна и гарантирует очищение не только поверхности, но и пародонтальных каналов. Однако есть и противопоказания: аритмия, острые респираторные заболевания, наличие имплантов, гиперчувствительность зубов, первый триместр беременности и др..
  • Ультразвук с химическим протравливанием. При наличии каменных мостов, плотно сцепленных с поверхностью зуба, сначала производится покрытие кислотными и щелочными растворами, размягчающими отложения.

После чистки производится шлифовка с использованием микроабразивных паст (устраняют шероховатости), полировка (делает зубы максимально гладкими, благодаря чему микроорганизмам сложнее на них закрепляться) и покрытие фторсодержащим лаком (для защиты зубов и предотвращения повышения чувствительности).

Народные средства избавления от зубного камня – эффективно ли?

Интернет пестрит советами по самостоятельному избавлению от любых проблем в домашних условиях. Рекомендуют чистить зубы пищевой содой, делать примочки с перекисью водорода, полоскать рот различными отварами и даже принимать их внутрь. К сожалению, большинство этих способов эффективно в борьбе не только с зубным камнем, но и с эмалью. При использовании жестких абразивов (сода, соль) и растворов, обладающих высокой химической активностью, повреждается поверхность зуба, что влечет за собой увеличение чувствительности и создание еще более благотворной среды для развития бактерий. Принимая же внутрь отвары, вы можете спровоцировать непредсказуемый ответ организма (реакция со стороны желудочно-кишечного тракта, активизация хронических заболеваний).

Профилактика зубного камня в домашних условиях

 Основа профилактики – правильная и своевременная гигиена полости рта. Главный инструмент – качественная зубная щетка. При ее выборе можно посоветоваться с врачом-стоматологом, однако существуют общие принципы выбора:
Основа профилактики – правильная и своевременная гигиена полости рта. Главный инструмент – качественная зубная щетка. При ее выборе можно посоветоваться с врачом-стоматологом, однако существуют общие принципы выбора:
  • Обычные щетки (мануальные). Для детей и людей с повышенной чувствительностью подойдут щетки с мягкой щетиной. Подросткам от 12 лет и взрослым лучше выбрать щетку с щетиной средней жесткости.
  • Электрические щетки. Удобное и эффективное средство, щетинки совершают от 5 до 30 тысяч движений в минуту. Сменные насадки различаются назначением, жесткостью щетины, формой и размерами.
  • Ультразвуковые. Производят ультразвук, очищающий поверхность зубов. Противопоказанием к их применению является наличие виниров или коронок.

Щетку (или насадку) нужно менять раз в 3-4 месяца.

Советы по выбору зубной пасты и чистке зубов

При выборе пасты желательно посоветоваться со стоматологом. Если имеет место быстрое появление отложений, назначаются профилактические зубные пасты, содержащие пирофосфаты. Не рекомендуется частое использование отбеливающих паст, так как имеющиеся в их составе микроабразивы или активные химические реагенты могут повреждать эмаль зуба. В нашем интернет-магазине вы можете выбрать подходящую зубную щетку. Следует уделять особое внимание технике чистки зубов. Эффективной и нетравматичной считается техника Bass:

  • Наиболее эффективна будет последовательная чистка: сначала все внешние поверхности, затем внутренние и жевательные.
  • Начинать лучше с дальних зубов.
  • Щетку расположить под углом 45⁰ к поверхности зуба, немного придавливая (нажим должен быть очень небольшим!) к эмали и десневым сосочкам, в этом положении осуществлять круговые движения (15-20 на участок) с небольшой амплитудой.
  • Для чистки внутренних поверхностей резцов щетку нужно повернуть вертикально.

Кроме щетки и пасты, существуют дополнительные средства:

  • Нити и флоссы – для ухода за боковыми поверхностями зубов, соприкасающихся с соседними зубами.
  • Межзубные ершики – для чистки межзубных промежутков.
  • Ирригатор – для удаления при помощи струи воды налета, остатков пищи.
  • Ополаскиватели для полости рта – для очищения полости рта, борьбы с бактериями.