Найти в Дзене

Все о том как делают МРТ печени

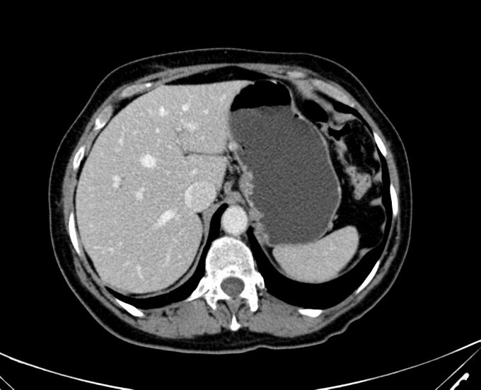
МРТ печени - это томографическое, то есть послойное, обследование данного органа внешней секреции. Услугу магнитно-резонансного обследования печени оказывают в медицинских центрах Санкт-Петербурга по нескольким протоколам:
МРТ печени в ходе МРТ органов брюшной полости;
МРТ печени с контрастным усилением;
МРТ печени с исследованием желчных протоков (МР-холангиопанкреатография).
Оглавление

МРТ печени - это томографическое, то есть послойное, обследование данного органа внешней секреции. Услугу магнитно-резонансного обследования печени оказывают в медицинских центрах Санкт-Петербурга по нескольким протоколам:

МРТ печени в рамках комплексного обследования органов брюшной полости помогает врачам своевременно выявить многие заболевания и патологии, проконтролировать ход назначенного лечения, определить четкие границы травмированных участков или опухолей, увидеть общее состояние органа и окружающих его тканей. Послойное сканирование в рамках МР-холангиографии дает специалистам информацию о работе печени и желчевыводящих протоков. Оно служит основанием для выдачи врачебного заключения и рекомендаций по дальнейшим действиям пациента при заболеваниях желчевыводящих путей. Магнитно-резонансная томография печени с контрастом делает изображение печени более ярким и четким, поэтому часто применяется для определения границ опухоли, стадирования рака и выявления мест локализации метастаз. Решение о правильном способе сканирования данного органа обычно принимает лечащий врач, исходя из целей диагностики и первичного диагноза. Если пациент сам принял решение пройти томографию печени в качестве профилактики, начинать свой диагностический путь лучше с базовой МРТ брюшной полости без контраста.

-2

Что показывает МРТ печени?

Популярность данного метода обследования вызвана многими факторами: безвредностью процедуры, возможностью многократного прохождения без вреда для организма, безболезненностью (дискомфорт может создавать только замкнутое пространство томографа), высокой степенью информативности (особенно у МРТ с контрастом). Обычно томографию печени назначает врач-гепатолог при следующих показаниях:

  • болезненные ощущения в области ребер справа;
  • травма органа;
  • увеличение печени, определенное пальпацией;
  • печеночные пробы, превышающие норму;
  • перед операцией на органах брюшной полости.

С помощью томограмм у специалистов есть возможность провести дифференциальную диагностику:

  • цирроза и фиброза печени;
  • опухолей добро- и злокачественного генеза, включая печеночные кисты, гранулемы печени, гемангиомы, первичный или метастатический рак печени;
  • холестаза и закупорки желчевыводящих путей;
  • печеночной недостаточности.

Цена на МРТ печени в первую очередь будет зависеть от мощности применяемого томографа: чем она выше, тем дороже будет стоить исследование. Самой дорогой является томография печени с помощью сверхвысокопольного аппарата с мощностью магнита 3 Тесла. Хорошим сочетанием цены и качества будет диагностика на высокопольном МРТ 1,5 Тесла. Другим фактором, влияющим на ценообразование магнитно-резонансной томографии, является тип исследования – с контрастом или без него. При использовании контрастирования к стоимости МРТ добавляется цена контрастного препарата. Его финальная стоимость зависит от веса пациента и рассчитывается индивидуально.

Пройти томографию печени на выгодных условиях позволят либо проведение ее в ночное время суток, когда круглосуточные клиники Санкт-Петербурга предлагают сниженные цены, либо в период действия скидок на данный вид обследования. Чаще всего это сезон отпусков, каникул и праздников. Для льготных категорий граждан (инвалидов, пенсионеров, учащихся, детей) в медицинских центрах действуют льготные предложения, которые также позволяют сэкономить бюджет.

-3

Как записаться на магнитно-резонансную томографию в клиниках Санкт-Петербурга?

Чтобы магнитно-резонансная томография печени была качественной и информативной, она должна выполняться на современном томографе с мощностью магнита не менее 1,5 Тесла. Шаг сканирования на таком оборудовании очень мелкий - до 1 мм, и специалист на полученных информативных изображениях не пропустит ни одной патологии. Чтобы сделать МРТ печени недорого, можно воспользоваться услугами Общегородского центра записи по СПб и Лен. области. Звонок или визит онлайн на сайт позволит решить сразу несколько вопросов: узнать о том, кто делает нужную томографию в Санкт-Петербурге, сколько стоит томография, как правильно подготовиться к диагностике и записаться на исследование в удобное время.