Добавить в корзинуПозвонить
Найти в Дзене
Все о КТ и МРТ

МРТ ДИАГНОСТИКА АНОМАЛИИ АРНОЛЬДА КИАРИ

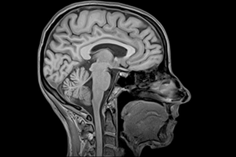
МРТ краниовертебрального перехода позволяет безошибочно диагностировать достаточно редкий порок развития - синдром Арнольда - Киари (альтернативное название - мальформации Киари, аномалия Арнольда - Киари, болезнь Киари). В медицине стандартной классификации этого заболевания нет по сегодняшний день.   Общепринятым пониманием является определение, что мальформации Арнольда -Киари - это
Оглавление

МРТ краниовертебрального перехода позволяет безошибочно диагностировать достаточно редкий порок развития - синдром Арнольда - Киари (альтернативное название - мальформации Киари, аномалия Арнольда - Киари, болезнь Киари). В медицине стандартной классификации этого заболевания нет по сегодняшний день.   Общепринятым пониманием является определение, что мальформации Арнольда -Киари - это патологические изменения в зоне задней черепной ямки и костных структур краниовертебрального перехода. В результате данной аномалии миндалины мозжечка спускаются в большое затылочное отверстие, сдавливают спинной мозг, нарушают ликвороциркуляцию, приводя к развитию сирингомиелии. Считается, что это врожденная патология, однако болезнь может манифестировать после 40 лет.

Мальформации Киари в зависимости от выраженности подразделяются на 4 типа. В большинстве ситуаций неврологам приходится иметь дело с 1 и 2 типом синдрома Арнольда - Киари.

  • Мальформация Киари 1 типа - это первичное смещение или аномальное расположение мозжечка, при котором происходит эффект вклинивания миндалин ниже большого затылочного отверстия.
  • Сидром Арнольда-Киари 2 типа - это дислокация цервико-медуллярного сочленения, моста, четвертого желудочка и продолговатого мозга.
  • Аномалия Арнольда-Киари 3 типа - это сползание структур задней черепной ямки с проникновением мозжечковых структур в шейный канал.
  • Мальформация Киари 4 типа - это аномальное недоразвитие мозжечка без проявления смещения.
-2

ПРИЗНАКИ АНОМАЛИИ АРНОЛЬДА- КИАРИ НА МРТ

-3

Первичным шагом в обследовании больных с синдромом Арнольда - Киари является прием невролога, который дает направление на МРТ головного мозга и МРТ краниовертебрального перехода. Признаками синдрома Арнольда Киари на МРТ снимках будет:

  •  заметное вклинивание миндалин мозжечка ниже большого затылочного отверстия на 5 мм и более;
  • вентральная компрессия ствола мозга;
  • сирингомиелия;
  • наличие признаков внутричерепной гипертензии в виде нарушенной проходимости в путях циркуляции жидкости;
  • нарастание ликвородинамических нарушений.

СИМПТОМЫ

При аномалии Арнольда-Киари пациенты обращаются к невропатологу в основном с тремя жалобами:

  • на кашлевые головные боли в затылочной области
  • головокружения
  • боли в шее.

Однако, в зависимости от стадии развития, другие клинические проявления данного заболевания крайне полиморфны. Недуг может манифестировать себя:

  • шаткостью при ходьбе;
  • затруднением при глотании;
  • обмороками;
  • ощущением давления в ушах;
  • проблемами со зрительными функциями;
  • онемением лица;
  • тошнотой, рвотными позывами;
  • ошибочным произнесением звуков;
  • постепенно нарастающей атрофией в мышцах рук;
  • бессонницей.

Дифференциация диагностика аномалии Арнольда-Киари представляет определенную сложность. Она локализуется в узкой зоне организма, где проходят проводящие пути, кровеносные сосуды и ликвороциркуляция, поэтому может давать очень разнообразную симптоматику. Поставить точный диагноз без МРТ исследования головного мозга и краниовертебрального перехода невозможно. Сделать МРТ при подозрении на синдром Арнольда Киари нужно на высокопольном томографе мощностью не менее 1,5 Тесла. В ходе томографии врачи могут отличить данное заболевание от схожих по проявлением:

  • опухолей области краниовертебрального перехода;
  • наследственной атаксии;
  • сосудистых патологий;
  • демиелинизирующих заболеваний.

Результаты магнито-резонансного обследования потребуются для проведения оперативного лечения. По данным томографии нейрохирург сможет выстроить план операции по декомпрессии задней черепной ямки с коагуляцией миндалин мозжечка и пластикой твердой мозговой оболочки.

СИРИНГОМИЕЛИЯ НА МРТ

-4

Сирингомиелия, хроническое прогрессирующее заболевание с образованием продольных полостей в спинном мозге, характеризуется распространенностью от 7 до 130 случаев на 100 ООО населения. Это патологический процесс, когда в спинном мозге или продолговатой части головного мозга образуются кисты, сдавливают его и нарушают неврологическую чувствительность. Сирингомиелия может возникать как спорадически, так и быть наследственно-обусловленной. Данная болезнь носит хронический характер и является следствием избыточного роста глиальной ткани. Патологически разросшиеся клетки умирают, и в сером веществе возникают пустоты. Клетки начинают пропускать мозговую жидкость, и она начинает накапливаться, образуя кисту. Киста от продолжающегося притока жидкости продолжает увеличиваться и начинает сдавливать нервные проводящие пути, в первую очередь нарушая проводники болевой и температурной чувствительности. Из-за этого человек при сирингомиелии перестает чувствовать боль и различать холод или тепло руками.

Нередко сирингомиелия сопровождается возникновением патологий в краниовертебральном переходе, в частности Арнольда - Киари, и воспалительные процессы в спинно-мозговых оболочках (Благодаря MPT-исследованиям стало известно, что в основе большинства случаев спорадической сирингомиелии лежат ликвородинамические нарушения, обусловленные мальформацией Арнольда-Киари I типа). Диагностика  этого недуга  осуществляется неврологом на основании сбора анамнеза и аппаратном обследовании. На сегодняшний день оптимальным методом диагностики сирингомиелии, позволяющим визуализировать морфологическую основу заболевания, является магнитно-резонансная томография. Для того, чтобы понять причину сирингомиелии, врачу нужно сделать МРТ краниовертебрального перехода и МРТ спинного мозга.

Данное заболевание может носить семейно-наследственный характер. Такая форма наблюдается чаще всего у женщин, формируется в среднем возрасте и характеризуется образованием полостей в шейно-грудном регионе и различной степенью изменений области кранио-вертебрального региона.

Семейно-наследственная сирингомиелия представлена двумя нейровизуальными вариантами: ассоциированным (у 90% больных) и неассоциированным с мальформацией Арнольда-Киари I типа (10% больных). У членов семей больных семейно-наследственной сирингомиелией широко распространены невральные и костные аномалии кранио-вертебрального региона типа:

  • синдром Арнольда-Киари I типа;
  • базилярная инвагинация.
  • гипоплазия задней черепной ямки из-за недоразвития костных структур ямки.

В случае подозрения на наследственную форму, врачи рекомендую проводить МРТ обследований головного мозга и шейного отдела у всех членов семьи.

КАК ПРОХОДИТ ТОМОГРАФИЯ

В медицинских центрах магнито-резонансное исследование осуществляют по предварительной записи. Сделать это можно бесплатно через Городскую службу записи на МРТ и КТ. Особой подготовки данное обследование не требует. В МРТ кабинет лучше всего прийти за 10-15 минут до назначенного часа, чтобы оформить все документы. Одеться лучше всего в удобную для лежания одежду, на которой не должно быть металлических элементов. В ходе сканирования пациента попросят лечь на томографический стол, на зону скрининга наденут специальную МРТ катушку, передвинут стол внутрь томографа и попросят не двигаться на протяжении диагностики.

Сеанс сканирования в зависимости от модели аппарата МРТ может длиться от 15 до 20 минут. Сама процедура сопровождается достаточно шумной работой установки. Если эти звуки мешают пациенту предлагают надеть специальные наушники для подавления шума. По окончании исследования в большинстве МРТ центров СПб клиент, подождав 30-40 минут, получает МРТ снимки, записанные на электронный носитель, экспертное заключение врача и рекомендации по дальнейшим действиям.