Найти в Дзене
Мистер У обо всём!

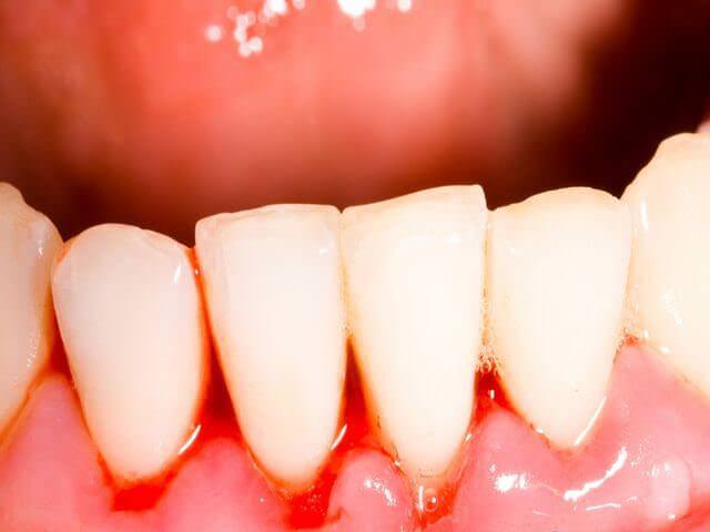
Бюджетный способ против кровоточивости и воспаления десён

Средство против кровоточивости и воспаления в домашних условиях
Оглавление

Нам необходимо приготовить раствор

На 200 мл. тёплой воды добавляем

чайную ложку соды

чайную ложку соли

2-3 капли йода

Перемешиваем до полной растворимости всех составляющих

Этим раствором необходимо полоскать рот после вечерней чистки зубов!

Этот раствор помогает сохранить дёсны, чтобы они не болели и не кровоточили, а также когда уже всё произошло

Этот раствор применяется либо когда нет возможности посетить стоматолога, либо когда нет средств.