Найти в Дзене
Ваш Стоматолог 🦷

Чем же опасен скрежет зубами?

Скрежет зубами или же бруксизм довольное опасное заболевание, которое может привести к серьезным последствиям, поэтому нужно вовремя выявить и излечить пациента.
Бруксизм обусловлен непроизвольным сокращением жевательных мышц во время сна, изредка в дневное время. Приступ может длиться от пары секунд до нескольких минут.
ОЧЕНЬ часто страдают  дети и подростки и даже можно сказать, что это норма

Скрежет зубами или же бруксизм довольное опасное заболевание, которое может привести к серьезным последствиям, поэтому нужно вовремя выявить и излечить пациента.

стираемость зубов при бруксизме
стираемость зубов при бруксизме
-2

Бруксизм обусловлен непроизвольным сокращением жевательных мышц во время сна, изредка в дневное время. Приступ может длиться от пары секунд до нескольких минут.  

ОЧЕНЬ часто страдают  дети и подростки и даже можно сказать, что это норма для них, но не для взрослых.

Разберём причину взрослого бруксизма.

Ранее виновниками заболевания были глисты, но за столь долгое изучение проблемы не нашлось НИ ОДНОГО медицинского доказательства этого предположения!!!

 

В настоящее время выделяют следующие причины:

  1. стресс
  2. депрессия 
  3. эмоциональная нестабильность 
  4. неправильный прикус
  5. плохо подобранные брекеты или протезы
  6. некачественное лечение зубов 
  7. заболевания височно-нижнечелюстного сустава 

В большинстве больные не знают  о своей проблеме, сообщают им домочадцы.

Помимо скрежета возможны:

  1. головные боли
  2. боли в челюстях
  3. боль в суставе, шее и спине 
  4. звон в ушах
  5. плохой сон
  6. просыпание истощенным 
-3

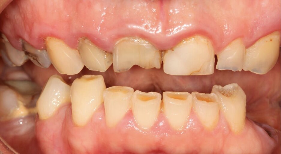
Со стоматологической точки зрения бруксизм может привести к стиранию коронки !!! 

Зубы потеряют эстетичный вид, станут более чувствительные. Возможно расшатывание и выпадение!

стирание коронок и обнажение дентина
стирание коронок и обнажение дентина

Таким пациентам могут отказать в протезировании, установке брекетов и даже коронок. 

Что же можно посоветовать такому больному ?

  1. изготовление  ночной каппы в стоматологии
  2. консультация у психотерапевта или невропатолога 
  3. больше отдыха, прогулок и меньше стресса и работы
  4. вкалывание ботокса в жевательные мышцы
каппа стоматологическая
каппа стоматологическая

ботокс в жевательные мышцы
ботокс в жевательные мышцы
-7

Будьте здоровы!!!!!