Добавить в корзинуПозвонить
Найти в Дзене
MedMedia Channel

Разработан ИИ для анализа результатов 3D-сканирования пациентов, который может помочь врачам во время операций

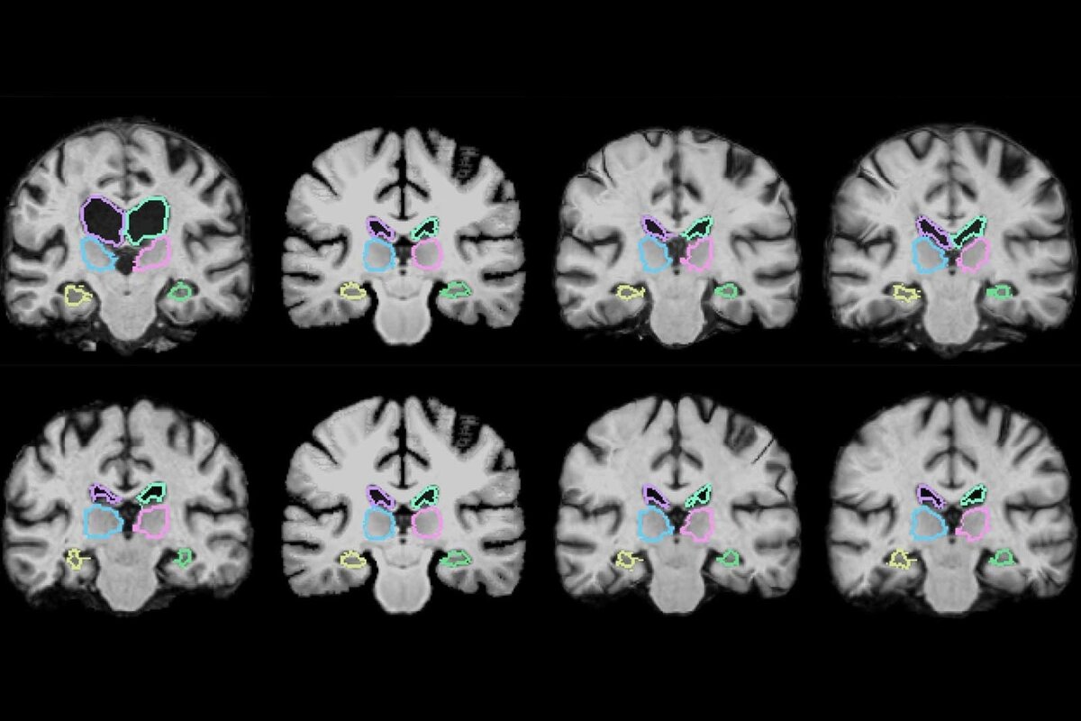
Наш телеграм канал Разработан ИИ для анализа результатов 3D-сканирования пациентов, который может помочь врачам во время операций На текущий момент сравнение трёхмерных медицинских результатов сканирования пациентов представляет собой определённую проблему для докторов. Чтобы выявить изменения, может потребоваться 2 часа или даже больше времени. В результате, хирургам иногда приходится возвращать пациентов в операционную, если удаление опухоли не увенчалось полным успехом во время первой операции. Решить эту проблему при помощи технологий искусственного интеллекта предлагают исследователи из MIT. Они разработали алгоритм машинного обучения, который может анализировать результаты 3D-сканирования в 1000 раз быстрее, чем раньше. Благодаря этому можно изучать изменения почти в режиме реального времени, обработка занимает менее секунды на ПК с быстрой графической картой. На начальном этапе такой подход требует обучения алгоритма «тысячам» пар изображений, при этом алгоритм учится сопо

Наш телеграм канал

Разработан ИИ для анализа результатов 3D-сканирования пациентов, который может помочь врачам во время операций

На текущий момент сравнение трёхмерных медицинских результатов сканирования пациентов представляет собой определённую проблему для докторов. Чтобы выявить изменения, может потребоваться 2 часа или даже больше времени. В результате, хирургам иногда приходится возвращать пациентов в операционную, если удаление опухоли не увенчалось полным успехом во время первой операции.

Решить эту проблему при помощи технологий искусственного интеллекта предлагают исследователи из MIT. Они разработали алгоритм машинного обучения, который может анализировать результаты 3D-сканирования в 1000 раз быстрее, чем раньше. Благодаря этому можно изучать изменения почти в режиме реального времени, обработка занимает менее секунды на ПК с быстрой графической картой.

На начальном этапе такой подход требует обучения алгоритма «тысячам» пар изображений, при этом алгоритм учится сопоставлять изображения и выявлять значимые сравнения. После этого он может одновременно фиксировать каждый 3D-пиксель результатов обоих сканирований. Существующие системы начинают изучение заново с каждым новым изображением, забывая всё, что они узнали о местоположении объектов с предыдущего раза.

Благодаря такой системе хирурги могут оценивать эффективность операции ещё в процессе её проведения. На текущий момент исследователи из MIT сосредоточились на сканировании мозга, но эта же технология может использоваться и для анализа результатов сканирования лёгких или любого другого органа, где быстрый анализ может облегчить жизнь как врачам, так и пациентам.

Источник