Добавить в корзинуПозвонить
Найти в Дзене

Т2 ВИ или FLAIR? Разбираемся в режимах МРТ

Если мне нужно сделать фотографию, я достаю из кармана мобильник, выбираю фотоприложение, навожу объектив на понравившийся объект и... щёлк! В 99% случаев я получаю снимок, который сносно отображает необходимый фрагмент реальности. А ведь ещё несколько десятилетий назад фотографы вручную выставляли выдержку и диафрагму, выбирали фотоплёнку, устраивали проявочную лабораторию в ванной комнате. А снимки получались... ну, такие себе. Магнитно резонансная томография - потрясающая методика. Для врача, который осознанно управляет параметрами сканирования, она предоставляет огромные возможности в визуализации тканей человеческого организма и патологических процессов. В зависимости от настроек, одни и те же ткани могут совершенно по разному выглядеть на МР томограммах. Для относительной простоты интерпретации существует несколько более-менее стандартных "режимов" сканирования. Это сделано для того, чтобы МРТ, из категории методик, которыми владеют только одиночки-энтузиасты, пришла в широкую

Если мне нужно сделать фотографию, я достаю из кармана мобильник, выбираю фотоприложение, навожу объектив на понравившийся объект и... щёлк! В 99% случаев я получаю снимок, который сносно отображает необходимый фрагмент реальности.

А ведь ещё несколько десятилетий назад фотографы вручную выставляли выдержку и диафрагму, выбирали фотоплёнку, устраивали проявочную лабораторию в ванной комнате. А снимки получались... ну, такие себе.

Магнитно резонансная томография - потрясающая методика. Для врача, который осознанно управляет параметрами сканирования, она предоставляет огромные возможности в визуализации тканей человеческого организма и патологических процессов.

В зависимости от настроек, одни и те же ткани могут совершенно по разному выглядеть на МР томограммах. Для относительной простоты интерпретации существует несколько более-менее стандартных "режимов" сканирования. Это сделано для того, чтобы МРТ, из категории методик, которыми владеют только одиночки-энтузиасты, пришла в широкую медицинскую практику. Как методика фотографии, которая упростилась настолько, что не только стала доступна каждому, но и порядком успела многим надоесть ;)

Здесь я расскажу о нескольких наиболее часто использующихся режимах сканирования. Поехали!

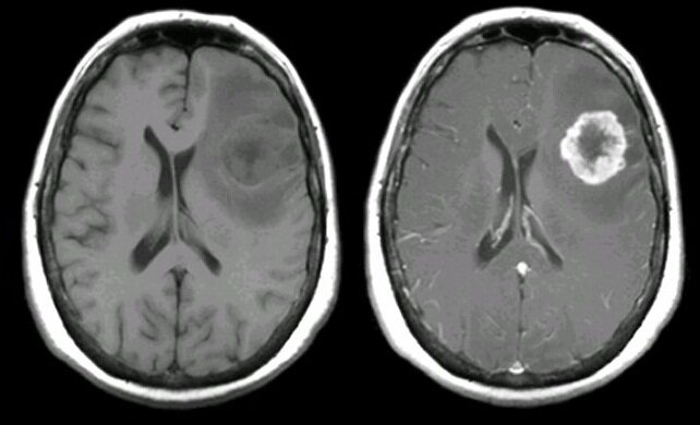
Т1 ВИ (читается "тэ один вэ и") - режим сканирования, который используется всегда и везде. Свободная безбелковая жидкость (например ликвор в желудочках мозга) на таких изображениях выглядит тёмной, мягкие ткани имеют различные по яркости оттенки серого, а вот жир ярок настолько, что кажется белым. Также на Т1 ВИ очень яркими выглядят парамагнитные контрастные вещества, что и позволяет использовать их для визуализации различных патологических процессов.

Слева - Т1 ВИ, а справа - Т1 ВИ после введения контраста. Опухоль накопила парамагнитный контраст. Просто и красиво!
Слева - Т1 ВИ, а справа - Т1 ВИ после введения контраста. Опухоль накопила парамагнитный контраст. Просто и красиво!

А ещё на Т1 яркой будет выглядеть гематома на определённых стадиях деградации гемаглобина.

В МРТ "яркий" обозначается термином "гиперинтенсивный",а "тёмный" - термином "гипоинтенсивный".

Т2 ВИ (читается "тэ два вэ и") - также используется повсеместно. Этот режим наиболее чувствителен к регистрации патологических процессов. Это значит, что большинство патологических очагов, например в головном мозге, будут гиперинтенсивными на Т2 ВИ. А вот определение какой именно патологический процесс мы видим требует применения других режимов сканирования. Помимо патологических процессов и тканей, яркой на Т2 будет свободная жидкость (тот же ликвор в желудочках).

Т2 ВИ - классика в визуализации головного мозга. И вообще, любимая картинка всех МРТшников.
Т2 ВИ - классика в визуализации головного мозга. И вообще, любимая картинка всех МРТшников.
Аббревиатура "ВИ" расшифровывается как "взвешенные изображения". Но боюсь, мне не удастся объяснить смысл этого заклинания без углубления в физику метода.

Pd ВИ (читается "пэ дэ вэ и") - изображения взвешенные по протонной плотности. Что-то среднее между Т1 и Т2 ВИ. Применяется достаточно редко, в связи с появлением более прогрессивных режимов сканирования. Контрастность между разными тканями и жидкостями на таких изображениях довольно низкая. Однако, при исследовании суставов этот режим продолжает пользоваться популярностью, особенно в комплексе с жироподавлением, о котором разговор отдельный.

Слева - Pd ВИ, справа - Т2 ВИ. Одному мне понятно, почему Pd теперь редко используют ?
Слева - Pd ВИ, справа - Т2 ВИ. Одному мне понятно, почему Pd теперь редко используют ?
Словосочетание "режим сканирования" конечно можно использовать, но правильнее использовать словосочетание "импульсная последовательность". Речь про набор радиочастотных и градиентных импульсов, которые используются во время сканирования.

FLAIR (произносится как "флаир" или "флэир") - это Т2 ВИ с ослаблением сигнала от свободной жидкости, например, спинномозговой жидкости. Очень полезная импульсная последовательность, применяется в основном при сканировании головного мозга. На таких изображениях многие патологические очаги видны лучше чем на Т2 ВИ, особенно если они прилежат к пространствам, которые содержат ликвор.

Здесь FLAIR - крайняя картинка справа. Именно на ней лучше всего видны патологические очаги, которые прилежат к желудочкам мозга и субарахноидальному пространству.
Здесь FLAIR - крайняя картинка справа. Именно на ней лучше всего видны патологические очаги, которые прилежат к желудочкам мозга и субарахноидальному пространству.

Это режимы сканирования или импульсные последовательности, которые наиболее часто используются в ежедневной практике. Но есть ещё много других, которые применяются реже и дают более специфическую информацию.

P.S. Если вам интересно узнать, что такое жиродав и каим он бывает - обязательно поставьте лайк статье, подпишитесь на мой канал в ЯндексДзен или в telegram - так я буду знать, что вы требуете продолжения ;)