Найти в Дзене
StopTubik.ru

Первые признаки открытой формы туберкулеза, как обнаружить и как вылечиться?

Одной из самых распространенных инфекций в современном нам мире является туберкулез. Возбудителем этой патологии является палочка Коха. Ее опасность заключается в том, что заразиться можно воздушно-капельным путем, то есть при обычном контакте с человеком. Больной человек особенно опасен для других, если патология протекает в открытой форме, так как вместе с его мокротой выделяется большое количество микобактерий. Особенно опасна открытая форма туберкулеза для людей с низким иммунитетом. Туберкулез, при котором происходит постоянное выделение микобактерий во внешнюю среду, называется открытый. Передается данная форма заболевания после контакта с инфицированным человеком всего за несколько минут. Поэтому больные  с бактериовыделением подлежат немедленной госпитализации. Бактериовыделение - это подтвержденное в  процессе бактериологического исследования мокроты выделение больным в окружающую среду микобактерии туберкулеза. Лечение больных открытой формой туберкулеза проходит строго в с
Оглавление

Одной из самых распространенных инфекций в современном нам мире является туберкулез. Возбудителем этой патологии является палочка Коха. Ее опасность заключается в том, что заразиться можно воздушно-капельным путем, то есть при обычном контакте с человеком. Больной человек особенно опасен для других, если патология протекает в открытой форме, так как вместе с его мокротой выделяется большое количество микобактерий. Особенно опасна открытая форма туберкулеза для людей с низким иммунитетом.

Понятие открытого туберкулеза
Понятие открытого туберкулеза

Туберкулез, при котором происходит постоянное выделение микобактерий во внешнюю среду, называется открытый. Передается данная форма заболевания после контакта с инфицированным человеком всего за несколько минут. Поэтому больные  с бактериовыделением подлежат немедленной госпитализации. Бактериовыделение - это подтвержденное в  процессе бактериологического исследования мокроты выделение больным в окружающую среду микобактерии туберкулеза.

Лечение больных открытой формой туберкулеза проходит строго в стационаре - туберкулезном диспансере, так как бактерии без особого труда распространяются, когда человек кашляет.

Главная опасность открытого туберкулеза

Главная особенность и опасность заключается в том, что при открытой форме микобактерии постоянно выделяются и, соответственно, постоянно происходит заражение других людей. Инкубационный период туберкулеза длится 2-3 месяц. Только по прошествии этого времени начинают проявляться первые симптомы открытой формы болезни.

Почему возможно удлинение инкубационного периода

Но может быть и другая ситуация, когда инкубационный период длится намного больше. Человек может быть зараженным палочкой Коха на протяжении нескольких лет, и при этом никаких признаков болезни не будет, но при контакте с инфицированным человеком проявится туберкулезная интоксикация. После этого начнется открытая форма туберкулеза легких.

Открытый туберкулез первичный и вторичный

Открытую форму туберкулеза легких делят на 2 типа:

  • первичный;
  • вторичный.

Первичный тип проявляется у людей, которые не контактировали с зараженным человеком. При этом будет воспаление легких, которое протекает слабо выражено, и потом образуется очаг, который перерождается в казеозный узел с наличием и фиброзной ткани.
Вторичный тип - еще называют
милиарным. Он характерен для людей, которые уже болели этим недугом. При этом у человека уже есть первичный очаг, который зарубцевался, но при воздействии определенных факторов он снова воспаляется и прорывается, и микобактерии начинают циркулировать по всему организму. Легкие при вторичном туберкулезе приобретают структуру похожую на зерна проса (отсюда и название «милиарный»), на рентгене это хорошо видно.

Симптомы открытого туберкулеза

Симптомы открытой и закрытой формы заболевания существенно отличаются.

Важно! Открытая форма туберкулеза и ее симптомы первое время вовсе не проявляются.

Первым признаком является всегда проявление кашля сухого типа, потом он меняется на влажный. Такой кашель продолжается у человека на протяжении 3 недель и более. Именно влажный кашель наиболее опасен, так как при этом происходит выделение мокроты, в которой есть микобактерии.
Постепенно, со временем человек может заметить в мокроте примеси крови, что уже является тревожным симптомом. Еще дополнительно есть и другие общие признаки открытой формы туберкулеза, например, стремительная потеря в весе, расстройства аппетита, снижение работоспособности и общая слабость.

Кроме того, для открытой формы характерно регулярное повышение температуры тела, особенно по вечерам.
Если у человека прогрессирует вторичный открытый туберкулез, то регистрируются высокие показатели температуры тела – до 39 градусов. Также частыми симптомами открытой формы туберкулеза являются повышенное потоотделение по ночам, также есть:

  • болевые ощущения в суставах;
  • бледность кожных покровов;
  • кашель активизируется по утрам и ночью.

Тубинтоксикация

Туберкулезная интоксикация проявляется общим недомоганием, вялостью, умеренным поднятием температуры тела и болезненностью в суставах. Если в организме человека есть палочка Коха, то интоксикация проявится после стресса или вследствие других факторов ослабляющих иммунитет. Возникает туберкулезная интоксикация как аллергическая реакция на возбудителя.

В процессе развития заболевания появляются расстройства других органов и систем. Наиболее часто наблюдается поражение желудочно-кишечного тракта.

Заражение

Микобактерии, попадая в воздух, оседают на разных предметах и поверхностях, могут очень долго сохранять свою жизнестойкость в неблагоприятных условиях, и уже после этого способны вновь попадать в организм и патологически развиваться, поэтому открытая форма туберкулеза является очень агрессивной.

От человека человеку

Ни для кого не секрет, что открытый туберкулез чаще всего передается непосредственно при контакте человека с человеком. Можно сделать вывод, что, если человек с открытой формой патологии долго находился в помещении, то воздух и предметы, находящиеся там заражены и опасны для других.

Заражение может произойти через посуду, например, в местах общественного питания. А также бактерии могут находиться в местах, где есть постоянный поток людей – общественный транспорт, вокзалы, торговые центры, больницы и поликлиники и т.д.

Еще один путь заражения - это повреждения кожи: порезы и раны, через них бактерии попадают в организм.

От животного человеку

Очень редко происходит инфицирование человека от крупного рогатого скота. Как передается туберкулез в этом случае? Через молоко. Такое инфицирование может проявиться для человека как открытой, так и закрытой формами заболевания, при этом инкубационный период туберкулеза будет короче.

Врачи отмечают, что с большой вероятностью заразиться можно после длительного близкого контакта с больным, а если встречи регулярные, но не долгие, то это не так опасно.

Инфицированию больше других  подвержены

  • люди с аутоиммунными заболеваниями (например, ВИЧ инфекция);
  • люди пожилого возраста и дети;
  • пациенты со сниженным иммунитетом;
  • население, которое проживает в плохих социально-бытовых условиях;
  • пациенты, которые регулярно принимают гормональную терапию;
  • люди с язвенной болезнью.

Риск заражения также есть у медицинских работников, которые постоянно контактируют с инфицированными пациентами, особенно у врачей-фтизиатров.

Диагностика

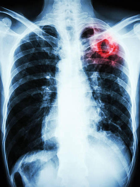
Симптомы открытой формы туберкулеза не только ярко выражены клинически, но также имеет лабораторные и рентгенологические признаки.

Традиционные методы

Основным методом диагностики является рентген. Это быстрое и доступное исследование. При этом будет виден очаг, который на снимке затемнен, еще будут каверны разных размеров и усиление рисунка легочной ткани.
К исследованиям, проводимым непосредтсвенно на человеке относится проба Манту, при которой подкожно вводится туберкулин. Если папула после введения увеличивается на 0,5 см, то это означает, что произошло инфицирование. Однако, это верно при условии, что год назад проба Манту показала отрицательный результат.
Основным методом диагностики является рентген. Это быстрое и доступное исследование. При этом будет виден очаг, который на снимке затемнен, еще будут каверны разных размеров и усиление рисунка легочной ткани. К исследованиям, проводимым непосредтсвенно на человеке относится проба Манту, при которой подкожно вводится туберкулин. Если папула после введения увеличивается на 0,5 см, то это означает, что произошло инфицирование. Однако, это верно при условии, что год назад проба Манту показала отрицательный результат.
Важно! Сегодня доказано, что такое исследование часто дает ложные результаты.

Современные методы диагностики туберкулеза

Современным методом будет ПЦР диагностика – это анализ мокроты или крови. Этот метод значительно точнее.
Иногда больному назначают компьютерную томографию, для точного подтверждения диагноза.
Врачи-фтизиатры рекомендуют обратиться за медицинской помощью, если человек длительное время контактировал с больным. Также регулярно обследоваться должны те, у кого близкие родственники инфицированы, это обусловлено также и генетической предрасположенностью. Человек должен обследоваться, если у него вследствие различных заболеваний снижен иммунитет. Немедленно необходимо обратиться к врачу, если с больным человеком контактировал ребенок или подросток.

Лечение открытого туберкулеза

Открытая форма туберкулеза – это опасное заболевание, поэтому лечение обязательно должно проходить в условиях стационара. Туберкулез лечится, но при этом для каждого больного подбирается индивидуальная терапия. В нее всегда входят антибактериальные препараты. Обычно антибактериальная терапия включает 4 компонента. Это важно, так как палочка Коха часто проявляет устойчивость к препаратам. Лечение продолжается на протяжении 3-6 месяцев.
После правильно подобранного лечения заболевание переходит в закрытую форму, и человек уже не заразен.

Как продлить ремиссию

Чтобы ремиссия продолжалась, нужно тщательно исполнять предписания врача и принимать препараты, которые подбираются и комбинируются только врачом. Дополнительно нужно регулярно сдавать анализы, контролируя свое состояние.
Кроме того пациенту нужна поддерживающая терапия, так как длительный прием антибиотиков негативно отражается на организме. А после основной терапии больной еще долго восстанавливается. При лечении у взрослых с открытой формой туберкулеза назначают сорбенты, которые помогают повысить сопротивляемость организма и другие препараты.  Нужно использовать противовоспалительные средства,
народные средства и санаторно-курортное лечение, если у взрослых уже видны первые признаки болезни при комплексной терапии.
Обязательно нужно принимать поливитамины. Это важно, как для прошедших лечение от открытого туберкулеза, так и другим людям для профилактики.

Прогноз при открытом туберкулезе

При туберкулезе в открытой форме врачи дают положительные прогнозы, но только в случае, если диагностика проведена вовремя и назначена правильная терапия. Люди с такой формой заболеванием живут долго, если ведут правильный образ жизни, правильно питаются. Обязательно регулярно принимать прописанные лекарства. Смертность среди больных туберкулезом обусловлена именно несоблюдением этих условий.
Статистика показывает, что если не лечить туберкулез, то человек проживет не более 5-6 лет.

Также читайте на нашем сайте: https://stoptubik.ru/klinicheskie-formy/otkrytii-tuberkulez/