Найти в Дзене
Нейроновости

Не мое будущее? Как эгоизм приближает социальные катастрофы

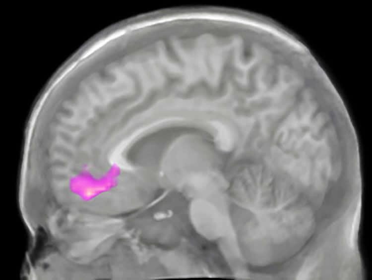
Откуда в людях берутся «неравнодушность» и «равнодушие»? Почему одни убирают за своими животными в парках, покупают бумажные пакеты вместо пластиковых, сортируют отходы, а другие часами льют воду из крана, оставляют после пикника на природе горы мусора и совершенно не заботятся об экологии? Исследователи из Женевского университета попробовали разобраться в этом и выяснили, что многое зависит от активности части коры мозга, отвечающей за «проекции будущего». Об этом они рассказали в статье журнала Cognitive, Affective & Behavioural Neuroscience. Медиальная префронтальная кора лобной доли. Credit: public domain Как пробудить в человеке ответственность за свое будущее и будущее своих потомков? Показывать социально направленные фильмы? Читать лекции? Устраивать демонстрации и запускать на подписи интернет-петиции? Исследователи отвечают, что если зона мозга, отвечающая за проецирование будущего на свою текущую жизнь, «молчит», то человека все эти методы будут волновать мало. И помогут в т

Откуда в людях берутся «неравнодушность» и «равнодушие»? Почему одни убирают за своими животными в парках, покупают бумажные пакеты вместо пластиковых, сортируют отходы, а другие часами льют воду из крана, оставляют после пикника на природе горы мусора и совершенно не заботятся об экологии? Исследователи из Женевского университета попробовали разобраться в этом и выяснили, что многое зависит от активности части коры мозга, отвечающей за «проекции будущего». Об этом они рассказали в статье журнала Cognitive, Affective & Behavioural Neuroscience.

Медиальная префронтальная кора лобной доли. Credit: public domain

Как пробудить в человеке ответственность за свое будущее и будущее своих потомков? Показывать социально направленные фильмы? Читать лекции? Устраивать демонстрации и запускать на подписи интернет-петиции? Исследователи отвечают, что если зона мозга, отвечающая за проецирование будущего на свою текущую жизнь, «молчит», то человека все эти методы будут волновать мало. И помогут в таких случаях специально разработанные упражнения.

В некоторых исследованиях уже показывали, что у более альтруистичных и эмпатичных людей, которые способны задумываться, как их действия могут повлиять на окружение, выявляется высокая активность дорсомедиальной префронтальной коры, участок коры на стыке теменной и височной долей и предклинье. За моделирование будущего же, как выяснилось, отвечают вентромедиальная префронтальная кора, медиальная височная кора и задние медиальные области. Авторы нынешней работы решили выяснить, как система личных ценностей может влиять на восприятие событий в ближайшем и отделанном будущем и как, зная зоны специфические активации мозга, можно эту систему немного изменить, чтобы сделать людей более осознанными.

За основу своего исследования ученые взяли объединенный доклад об изменении климата 2014 года Межправительственной комиссии по климатическим изменениям (Intergovernmental Panel On Climate Change). Основные прогнозы доклада касались сокращения объема питьевой воды, увеличения пограничных конфликтов и всплесков стихийных бедствий. Каждому из происшествий ученые назначили условный год в диапазоне от 2030 (ближайшее будущее) до 2080 (отдаленное будущее).

Затем команда набрала группу из 36 добровольцев от 19 до 37 лет, которые за 3 месяца до проведения фМРТ заполнили стандартизированный вопросник, которые позволяет выяснить иерархию ценностей, обозначая эгоистичные или альтруистические тенденции каждого человека. Во время сканирования добровольцам в течение 10 секунд выводились на экран разные датированные последствия изменения климата, а потом они отвечали на два вопроса по шкале от 8 до 1: «Насколько это серьезно?», «Насколько это волнует вас?»

Исследователи обнаружили, что у тех, кто в результате опроса оказался более эгоистичным, ближайшее будущее вызывало большую тревогу, нежели отдаленное. Более альтруистичные же люди воспринимали все последствия одинаково серьезно.

Далее нейропсихологи сосредоточились на активности в вентромедиальной префронтальной коре и выяснили, что у более альтруистичных участников она активировалась сильнее, когда они сталкивались с далеким будущим по сравнению с ближайшим. Напротив, у эгоистичных добровольцев во всех случаях эта область активировалась одинаково.

Авторы пришли к выводу, что результаты нейровизуализации говорят о меньшей заинтересованности более эгоистичных людей в том, что они оставят после себя, то есть последствия их жизни не проецируются в их мозге на будущее. Однако, как переломить этот «эгоизм»? Нужно ли и как нужно таким людям менять образ мышления?

Исследователи считают, что это необходимо, так как деятельность каждого индивида сильно влияет на долгосрочные последствия, на что обращалось внимание в докладе об изменении климата. Они отмечают, что полученные результаты можно ретранслировать и на другие социальные проблемы, где важно задумываться о других для общего блага, а не только на изменение климата.

«Мы могли бы проработать программу психологической подготовки, которая будет работать на этой областью мозга с помощью проекционных упражнений. В частности, использовать виртуальную реальность, которая бы показала мир завтрашнего дня, приближая людей к последствиям их действий», — говорят ученые.

Текст: Анна Хоружая

Not my future? Core values and the neural representation of future events” by Tobias Brosch, Yoann Stussi, Olivier Desrichard, and David Sander in Cognitive, Affective, & Behavioral Neuroscience. Published March 2018.

doi:10.3758/s13415-018-0581-9

Читайте материалы нашего сайта в FacebookВКонтакте и канале в Telegram, а также следите за новыми картинками дня в Instagram.