Найти в Дзене
Med62.ru

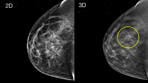
Что дает маммография?, Рак молочных желез

Что такое маммография и для чего она нужна? Рак молочных желез занимает первое место среди злокачественных заболеваний женщин. К настоящему времени разработано множество диагностических методов, один из которых - цифровая рентгеновская маммография. Это рентгенологическое исследование молочных желез для выявления опухолей или кист. Его информативность составляет 75-99 %. А всем известно, что чем раньше выявлено заболевание, тем легче его лечить. В возрасте около 40 лет каждой женщине рекомендуется сделать первую маммограмму. Между 40 и 50 годами женщины должны проходить маммографию каждые год-два. После 50 лет все женщины проходят маммографию ежегодно. Женщины с высоким риском рака молочных желез должны проходить маммографию ежегодно, начиная с 35 лет.

Что такое маммография и для чего она нужна?

Рак молочных желез занимает первое место среди злокачественных заболеваний женщин. К настоящему времени разработано множество диагностических методов, один из которых - цифровая рентгеновская маммография. Это рентгенологическое исследование молочных желез для выявления опухолей или кист. Его информативность составляет 75-99 %. А всем известно, что чем раньше выявлено заболевание, тем легче его лечить.

В возрасте около 40 лет каждой женщине рекомендуется сделать первую маммограмму. Между 40 и 50 годами женщины должны проходить маммографию каждые год-два. После 50 лет все женщины проходят маммографию ежегодно. Женщины с высоким риском рака молочных желез должны проходить маммографию ежегодно, начиная с 35 лет.