Добавить в корзинуПозвонить
Найти в Дзене

МРТ с контрастом: не дайте себя обмануть

На этот раз поговорим об МРТ с контрастированием. МР контрастный препарат – это вещество, которое выглядит ярким на снимках, в определенных режимах сканирования. Препарат вводится внутривенно и может накапливаться патологическими тканями, такими как опухоли и очаги воспаления. Это позволяет отличать одну патологию от другой, судить об активности воспалительного процесса, оценивать эффективность лечения и много чего ещё. Контраст вводят только в некоторых случаях. О необходимости контрастирования вам могут сообщить прямо во время исследования. Часто пациент с уже выставленным диагнозом знает, что контрастирование ему понадобится. Возникает вопрос – есть ли разница, где сделать такое исследование? Оказывается, есть. Я не буду перечислять все доступные контрасты для МР томографии, оговорюсь лишь, что концентрация активного вещества у большинства препаратов составляет 0,5ммоль/мл. Есть один препарат с концентрацией 1,0ммоль/мл. Режим дозировки зависит от патологии и вида исследования.

На этот раз поговорим об МРТ с контрастированием.

МР контрастный препарат – это вещество, которое выглядит ярким на снимках, в определенных режимах сканирования.

Препарат вводится внутривенно и может накапливаться патологическими тканями, такими как опухоли и очаги воспаления. Это позволяет отличать одну патологию от другой, судить об активности воспалительного процесса, оценивать эффективность лечения и много чего ещё.

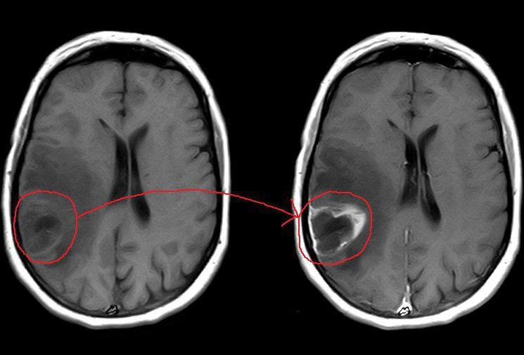
Немного наглядного материала: опухоль после введения контраста видна гораздо лучше. Теперь можно оценить её истинные размеры на фоне зоны отека
Немного наглядного материала: опухоль после введения контраста видна гораздо лучше. Теперь можно оценить её истинные размеры на фоне зоны отека

Контраст вводят только в некоторых случаях. О необходимости контрастирования вам могут сообщить прямо во время исследования. Часто пациент с уже выставленным диагнозом знает, что контрастирование ему понадобится.

Возникает вопрос – есть ли разница, где сделать такое исследование? Оказывается, есть.

Я не буду перечислять все доступные контрасты для МР томографии, оговорюсь лишь, что концентрация активного вещества у большинства препаратов составляет 0,5ммоль/мл. Есть один препарат с концентрацией 1,0ммоль/мл.

Режим дозировки зависит от патологии и вида исследования. По рекомендациям производителей необходимо вводить 0,1-0,3ммоль на кг массы тела пациента. Это значит, что в случае с полумолярным контрастом, человеку весом 75 кг нужно вводить минимум 15мл контраста (2мл на 10кг), или 7,5мл одномолярного контрастного препарата (1мл на 10кг).

Для чего вам всё это знать? Дело в том, что контраст стоит довольно дорого.

В некоторых МРТ центрах вводят меньший объем контраста, что позволяет больше зарабатывать на таких исследованиях. Иногда цена указывается за объем контраста, например за 10мл. Если нужно больше – придётся доплатить. А в соседнем центре пациенту за эти же деньги введут необходимые при его весе 15-20мл.

От правильности дозировки зависит качество изображения. От качества изображения зависит точность диагностики. От точности диагностики зависит жизнь и здоровье пациента.

Если вам назначили МРТ с контрастированием, уточняйте, какой препарат будет вводиться и настаивайте на соблюдении рекомендованной дозы.

Это статья о том, где сделать МРТ. На эту тему также читайте:

- Где сделать МРТ: выбираем томограф.

- Где сделать МРТ: выбираем врача.

Читайте обо мне здесь, подписывайтесь на мой канал в telegram.