Найти в Дзене

В горле белый налет

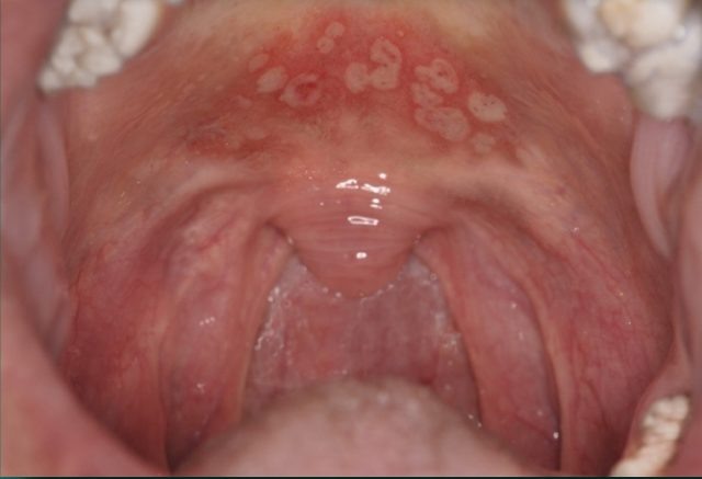
Здоровая слизистая горла имеет розоватый оттенок. Появление в горле белого налета не является нормой. В первую очередь это является признаком инфекционной болезни. Белый налет на горле нуждается в незамедлительном анализе причины возникшей аномалии. Не менее важно предпринять подходящие профилактические меры. Причины появления налета Чаще всего белые пятна образовываются на миндалинах. Процесс их возникновения состоит в том, что при проникании патогенных бактерий на слизистые срабатывает восприимчивость организма. Иммунные функции организма откликаются на появившуюся опасность и уничтожают наступление бактерий, итогом чего выступает белый налет на задней стенке горла. Важно вовремя понять первопричины возникающей инфекции для получения эффективного лечения. В этом случае можно избежать последующего попадания инфекции в бронхи и легкие. Причины могут быть следующие: 1.       Ангина. В случае этого недуга белые пятна возникают на начальном этапе развития болезни. Появляющиеся пятнышки
Оглавление

Здоровая слизистая горла имеет розоватый оттенок. Появление в горле белого налета не является нормой. В первую очередь это является признаком инфекционной болезни. Белый налет на горле нуждается в незамедлительном анализе причины возникшей аномалии. Не менее важно предпринять подходящие профилактические меры.

Причины появления налета

Чаще всего белые пятна образовываются на миндалинах. Процесс их возникновения состоит в том, что при проникании патогенных бактерий на слизистые срабатывает восприимчивость организма. Иммунные функции организма откликаются на появившуюся опасность и уничтожают наступление бактерий, итогом чего выступает белый налет на задней стенке горла.

Важно вовремя понять первопричины возникающей инфекции для получения эффективного лечения. В этом случае можно избежать последующего попадания инфекции в бронхи и легкие.

Причины могут быть следующие:

1.       Ангина. В случае этого недуга белые пятна возникают на начальном этапе развития болезни. Появляющиеся пятнышки могут быть желтого оттенка.

2.       Гигиенические причины. Пленка белесого оттенка может появиться вследствие несоблюдения гигиенических правил содержания ротовой полости. После еды обязательно нужно прополаскивать ротовую полость и чистить зубы.

3.       Дифтерия. С болезнью столкнуться можно не так часто, но исключать его не стоит. При этой болезни у больного красное горло с белым налетом. Налет достаточно трудно отходит, поэтому возможно выделение кровяных сгустков. При недуге наблюдается повышение температуры у взрослого, набухание миндалин, боли в голове.

4.       Лейкоплакия. Этот тип налета встречается у табакокурящих особей. Заметны белые точки в горле. Температура не повышается. Пятнышки образуются отмирающими клетками слизистой. Точный диагноз может поставить только специалист. Причины могут быть совершенно другие.

5.       Кандидоз. Дети могут иметь данное заболевание в связи с ослабленным иммунитетом. Такой вид покрывает полностью ротовую полость. Появляется в горле белый налет и на миндалинах, но он совершенно не беспокоит ребенка.

6.       Сифилис. Встретить можно очень редко, но совсем исключать недуг не стоит. На задней стенке глотки возникают белесые пятнышки. Такой симптом возникает уже в случае тяжелой стадии болезни.

7.       Скарлатина. При этом недуге на гортани появляется белая пленка, но это не самый неприятный признак. Скарлатина сопутствуется лихорадкой, болями в голове и горле. При своевременном определении этой причины можно быстро справиться с размножающимися бактериями.

8.       Стоматит. Белый налет на языке возникает без увеличения температуры тела. Белый налет в горле у ребенка появляется с более тяжелыми симптомами. Наблюдается значительное повышение температуры тела.

9.       Фарингит. Появляется белый налет в горле без температуры. Могут возникать болезненные ощущения. Часто наблюдаются боли при глотании пищи.

Заболеваний, вследствие которых могут появляться белесые пятна, есть множество. Но главной причиной является пониженный иммунитет человека.

Без увеличенной температуры симптом может возникнуть по следующим причинам:

·         после ожога или травмы;

·         наряду с личными характерными чертами организма;

·         при грибковой инфекции;

·         на начальной стадии развития какой-либо инфекции.

Локализация и специфика

Где чаще всего можно наблюдать сосредоточения налета? Наиболее излюбленным местами расположения белого налета становятся углубления миндалин. Именно в таких складках скапливаются остатки пищи и патогенные микроорганизмы. Размножение таких микроорганизмов приводит к развитию гнойных процессов и появлению белого налета.
Где чаще всего можно наблюдать сосредоточения налета? Наиболее излюбленным местами расположения белого налета становятся углубления миндалин. Именно в таких складках скапливаются остатки пищи и патогенные микроорганизмы. Размножение таких микроорганизмов приводит к развитию гнойных процессов и появлению белого налета.

Налет может появляться и на самих миндалинах в виде творожистой массы. Если этот налет можно без проблем устранить при помощи ватной палочки, то причиной является жизнедеятельность грибка.

В случае белесого налета на задней стенке горла проблемой выступает фарингит. При прогрессировании заболевания инфицированию подвергается вся поверхность ротоглотки. Если налет в виде белесой сеточки, то это говорит об аутоиммунном процессе.

Лечение и профилактика

Горло должно быть розоватого окраса. Поэтому при образовании белесых пятен нужна консультация специалиста для получения консультации. Только врач сможет поставить диагноз и назначить терапию своему пациенту. Излечение должно быть незамедлительным.

Прописываемое лечение напрямую зависит от развивающегося недуга. При размножении бактерий в гортани больному прописываются антибиотики. Если в организме человека паразитирует вирус, то в этом случае прописывается Амизон. Его действие является комплексным. Препарат не просто помогает справиться с белыми пятнами, но и избавляет от жара и вялости.

Если появляется белый налет в горле у взрослого специалистом обязательно прописываются полоскания. Обычно рекомендуются следующие средства:
Если появляется белый налет в горле у взрослого специалистом обязательно прописываются полоскания. Обычно рекомендуются следующие средства:

·         раствор фурацилина;

·         смесь соды с солью и йодом;

·         отвар из ромашки.

Полоскание должно быть не менее 4 раз в сутки. Для скорейшего выздоровления рекомендуется проводить процедуры каждый час. В этом случае можно предотвратить размножение бактерий и их распространение в легкие и бронхи. После проведения таких процедур рекомендовано использовать спрей Пропосол.

В случае ангины или фарингита прописываются препараты с обезболивающим действием. Такие медикаменты помогают справиться с болевыми и иными неприятными ощущениями.

Важно! Стоит отметить, что ангина очень опасна своими осложнениями, поэтому при появлении белых пятен нужно срочно обращаться за помощью к специалисту.

При возникновении признаков употребляют также противовоспалительные спреи:

·         Стопангин;

·         Йокс;

·         Каметон;

·         Камфомен;

·         Люголь.

Такие медикаменты помогают вымывать остатки налета. Спреи усиливают противовоспалительный эффект.

При возникновении такого налета излечить нужно само заболевание, на фоне которого он начал образовываться. Усиливают иммунитет такие медикаменты:

1.       Витаминные комплексы с добавлением минералов.

2.       Препараты, которые разработаны на основе растительных вытяжек.

3.       Ферментные медикаменты Имудон, Рибомунил.

4.       Арбидол, Виферон.

5.       Биологические стимуляторы.

6.       Медицинские банки на спину.

7.       Вытяжка из тимуса. Тималин.

8.       Деринат.

Воспользоваться можно и народными рецептами здоровья. Эффективными методами выступают:

1.       На протяжении дня рассасывать время от времени по 1 чайной ложке меда. Этот нектар обладает антибактериальным действием. Рекомендовано употреблять сладость раз в час.
1.       На протяжении дня рассасывать время от времени по 1 чайной ложке меда. Этот нектар обладает антибактериальным действием. Рекомендовано употреблять сладость раз в час.

2.       Употреблять в пищу чеснок. При его разжевывании выделяется сок, который способен уничтожить вредоносные бактерии.

3.       Лимон поможет избавиться от возникающих пятен. Цитрус снимает болевые ощущения и борется с бактериями.

4.       Ослабить проявление болезни помогут и луковые ингаляции. Делать процедуры рекомендуется трижды в сутки. Лук измельчить при помощи блендера. Над полученной массой делать глубокие вдохи. Продолжительность процедур около 5 минут.

При фарингите избавляться от пятен следует при помощи спреев и полосканий. Помогут отвары из трав. Если заболевание протекает без температуры, то отлично справится с задачей отвар из шалфея. Нужно отметить, что пользоваться рецептами народной медицины можно после предварительной консультации с врачом.

После излечения белых пятен необходимо постоянно предпринимать профилактические меры. Следует заняться укреплением своего иммунитета, воспользоваться витаминными комплексами, устранять симптомы всех возникающих заболеваний уже на первых стадиях. Важно не запускать развитие, чтобы заболевания не приняли хроническую форму. Налет на горле является первым признаком того, что произошел сбой в работе организма. Не нужно игнорировать все проявляющиеся симптомы.