Добавить в корзинуПозвонить
Найти в Дзене
-7DEY-

Чем опасны ушибы и травмы в молодости?

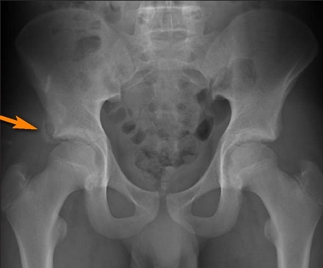
Травмы бывают разные от ушибов до переломов поскольку большинство травм мы получаем в юношестве они являются самыми опасными в это время нас не заботит как они отразятся на нашем состоянии потом, через много лет. А зря, например мальчик, играя во дворе упал и ушиб ягодицу. Пришёл домой и вроде ничего, но она начинает сильно болеть и ломить мальчик просит родителей посмотреть что это может быть соответственно Мама, и Папа повезли его на приём к травматологу. Диагноз-трещина тазовой кости. Накладывают гипс, мальчик лежит в больнице. Он выздоравливает как по часам, но напутствие врача не должно остаться неуслышанным. "мальчик, ты должен быть аккуратным, у тебя очень серьёзная травма. Воздержись от падений. В очень нескором будущем, она будет тебе напоминать, о том, что нельзя быть таким невнимательным и рассеянным. Тем временем мальчик повзрослел и уже его организм, помимо детской травмы, перенес не малое количество ушибав переломов и трещин. Поскольку молодого человека это не заботит,

Травмы бывают разные от ушибов до переломов поскольку большинство травм мы получаем в юношестве они являются самыми опасными в это время нас не заботит как они отразятся на нашем состоянии потом, через много лет. А зря, например мальчик, играя во дворе упал и ушиб ягодицу. Пришёл домой и вроде ничего, но она начинает сильно болеть и ломить мальчик просит родителей посмотреть что это может быть соответственно Мама, и Папа повезли его на приём к травматологу. Диагноз-трещина тазовой кости. Накладывают гипс, мальчик лежит в больнице. Он выздоравливает как по часам, но напутствие врача не должно остаться неуслышанным. "мальчик, ты должен быть аккуратным, у тебя очень серьёзная травма. Воздержись от падений. В очень нескором будущем, она будет тебе напоминать, о том, что нельзя быть таким невнимательным и рассеянным. Тем временем мальчик повзрослел и уже его организм, помимо детской травмы, перенес не малое количество ушибав переломов и трещин. Поскольку молодого человека это не заботит, он продолжает небрежно относится к своему здоровью, не думая о последствиях. Будучи пожилым человеком, его больные суставы и кости, будут ему напоминать на сколько он был невнимателен даже имея такую продвинутую медицину в наше время нельзя избавится от боли которую мы заработали в юношестве.