Найти в Дзене
bezzubov.su

Болит десна, чем полоскать и лечить самостоятельно

Воспаление пародонта встречается практически у каждого в любом возрасте. При появлении характерных признаков обычно используют народные отвары и растворы. Однако если болит десна, чем полоскать первыми попавшимися под руку средствами, лучше посетить стоматолога и выявить причину проблемы. Он поможет правильно подобрать методы лечения, которые вполне можно использовать в домашних условиях. Причины, способствующие воспалению пародонта Негативных факторов достаточно много. Прежде всего, огромное влияние имеет плохой уход и неправильное применение средств гигиены ротовой полости. Такое халатное отношение способно привести не только к воспалительным процессам, но и атрофии всего альвеолярного отростка, что в итоге спровоцирует расшатывание и выпадение зубов. К другим причинам относится следующее: Кроме этого негативные явления наблюдаются при авитаминозах, профессиональных вредностях, неправильном питании, тяжелых климатических условиях, загрязнении окружающей среды. Выявить все факторы п
Оглавление

Воспаление пародонта встречается практически у каждого в любом возрасте. При появлении характерных признаков обычно используют народные отвары и растворы.

Однако если болит десна, чем полоскать первыми попавшимися под руку средствами, лучше посетить стоматолога и выявить причину проблемы. Он поможет правильно подобрать методы лечения, которые вполне можно использовать в домашних условиях.

 Неприятные ощущения в деснах, первый признак формирования патологии
Неприятные ощущения в деснах, первый признак формирования патологии

Причины, способствующие воспалению пародонта

Негативных факторов достаточно много. Прежде всего, огромное влияние имеет плохой уход и неправильное применение средств гигиены ротовой полости.

Такое халатное отношение способно привести не только к воспалительным процессам, но и атрофии всего альвеолярного отростка, что в итоге спровоцирует расшатывание и выпадение зубов.

К другим причинам относится следующее:

  • Снижение иммунологического статуса. В этом случае проблемы возникают даже при незначительной травме слизистой оболочки. Патогенные микроорганизмы легко проникают и вызывают болезненные ощущения.
  • Зубной камень. Нередко его скопление является результатом небрежного отношения к гигиене полости рта. Твердые отложения вызывают постоянное давление на сосуды пародонта, нарушая их эластичность. Как результат, появляется кровоточивость, что свидетельствует о начале развития заболевания.
  • Системные патологии. Они способствую снижению защитных свойств организма, провоцируя множество проблем.
  • Гормональные изменения. Такое очень часто наблюдается в подростковом возрасте, во время беременности, постменструальном периоде, а также у лиц пожилого и старческого возраста.
  • Наличие вредных привычек. Особое негативное влияние оказывает курение и хронический алкоголизм. Все это нарушает местный иммунитет и приводит к дисбактериозу.
  • Аномалии ротовой полости. К ним относится как анатомические, так и гистологические особенности строения.
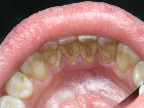
 Зубной камень и налет во фронтальном участке
Зубной камень и налет во фронтальном участке

Кроме этого негативные явления наблюдаются при авитаминозах, профессиональных вредностях, неправильном питании, тяжелых климатических условиях, загрязнении окружающей среды. Выявить все факторы поможет врач. Возможно, для этого понадобятся дополнительные методы исследования.

Симптомы, свидетельствующие о воспалении ротовой полости

Даже самые первые признаки развития патологии, не должны быть проигнорированы. Ранняя диагностика позволит быстро избавиться от заболеваний и предупредить осложнения. Чем полоскать рот, если болит десна, будет зависеть от формы поражения пародонта.

Таблица №1. Симптомы некоторых патологий:

Вид заболеванияОсновное проявлениеДифференциальная диагностика

 Гингивит
Гингивит

Отечность и кровоточивость мягких тканей, белесоватый или темный налет, наличие изъязвлений.Афтозный, герпетический стоматит, механическая хроническая травма.

 Пародонтит
Пародонтит

Наличие пародонтальных карманов, обильные зубные отложения, неприятный запах изо рта, выраженное воспаление и кровоточивость, подвижность зубов (подробней читайте тут)Гингивит, гистиоцитоз, пародонтомы, поздние стадии пародонтоза.

 Пародонтоз
Пародонтоз

Уменьшения объема пародонтальных тканей по высоте, оголение корней, высокая чувствительность зубов.Пародонтит, атрофический гингивит.

 Краевой или маргинарный периодонтит
Краевой или маргинарный периодонтит

Отечность и наличие воспаления десны возле одного максимум 2-х зубов. Болезненность при горизонтальной перкуссии и пережевывании пищи.Отечная форма гингивита, периостит.

Применение медикаментозных средств

Сегодня существует огромное количество препаратов для лечения патологий ротовой полости. Их выпускают в виде гелей, мазей и таблеток. Если болят десна, чем полоскать рот?

Наиболее популярными являются антисептические растворы. Они используются в чистом или в разведенном виде.

Это такие средства как:

  • Мирамистин. Во время применения необходимо следить за тем, чтобы препарат попадал на все участки пародонта. Допускается к использованию с 12 летнего возраста. Для однократной обработки достаточно 15 мл раствора. Терапевтический курс составляет 10 дней.
  • Хлоргексидин. Стоит учесть, что если у препарата концентрация более 0,5%, его надо разводить в теплой кипяченой воде. Препарат обладает выраженным антисептическим действием, а доступная цена делает его еще более популярным. Однако в связи с этим курс лечения не должен составлять более 5-6 дней. Для обработки берут 1 ст. ложку антисептика и проводят полоскание около 5 мин. После нельзя потреблять пищу и пить жидкость 1-1,5 часа.
  • Перекись водорода. Подходит при начальных стадиях поражения десен. Перекись водорода обязательно разводят перед использованием, путем растворения 1 ч.л. средства в 120 мл. воды. Этого объема хватает на 1 процедуру. В сутки требуется 3-х разовое полоскание, на 10 дней.
  • Фурацилин. Препарат выпускается в готовом виде и таблетированной форме. Чтобы приготовить средство таблетку растворяют в воде объемом 200 мл. Раствор получается желтого цвета с горьким привкусом. Положительный эффект наблюдается уже на 2 сутки. Длительность лечения 1 неделя.
 На фото антисептики с выраженным терапевтическим действием
На фото антисептики с выраженным терапевтическим действием

Воздействие лекарственными травами

Нередко появляется вопрос, чем полоскать, если болит десна после удаления зуба?

Здесь очень важно понимать, что неприятные ощущения могут, является лишь результатом оперативных вмешательств. Поэтому проводить данную методику следует только на следующий день и то очень осторожно, для профилактики повреждения кровяного сгустка в лунке.

Чтобы снять воспаление отлично подойдут отвары, свежевыжатый сок или настойки из лекарственных трав, а также других растений. Единственное условие это необходимость соблюдения способов приготовления смеси.

Для наилучшего эффекта все препараты и отвары можно наносить при помощи стоматологического ирригатора. Как это правильно сделать покажет видео в этой статье.

Из этих средств выраженным терапевтическим действием обладают следующее:

  • Алоэ и Калонхоэ. Сок данных растений обладает противовоспалительным и успокаивающим свойством. Его можно применять не только для полосканий, но и аппликаций. В упрощенном виде листья растений допускается просто периодически в течение дня тщательно жевать и выплевывать образовавшуюся жидкость.
  • Подорожник. 2 ст.л. растения заваривают в 400 мл. кипятка. Настоять следует полчаса. За это время отвар остынет и будет готов к применению.
  • Ромашка. Когда появляются разногласия чем полоскать, когда болят десна, то это является самым популярным средством. Ромашка безопасна даже для лиц с аллергией. Использовать ее можно достаточно часто в течение суток. Отвар показан до тех пор, пока не исчезнут все выраженные симптомы. Готовят его классическим способом из расчета 1 ст.л. на стакан кипятка.
  • Семена кориандра. На стакан кипятка необходимо добавить 2 чайные ложки компонента. Полученный отвар используют несколько раз в сутки.
  • Цветы бузины. Обработку таким средством ротовой полости следует проводить лишь 1 раз в день.
  • Календула. Для приготовления отвара необходимы именно соцветия. На стакан кипятка добавляют 20гр средства. Перед использованием следует разбавлять водой 1:2. Курс лечения до полного выздоровления.
  • Листья брусники. Лекарство готовиться немного сложнее, чем обычно. Листья в объеме 1 ст.л. заливают стаканом кипятка в эмалированной посуде. Посуду ставят на огонь и выдерживают еще 15-20 мин. Затем полученный отвар нужно остудить. Обработка рекомендована с частотой 1 раз в 2 часа.
  • Зверобой. Сухую траву в объеме 2 ст.л. следует залить полулитрами горячей воды и прокипятить еще 5 мин. Полученную смесь делят на 6 порций, которые применяются в течение 1 одного дня.
  • Листья трехцветной фиалки. На 200 мл. кипяченой воды добавляют 1 ст.л. измельченного растения. На небольшом огне выдержать 15 мин. применять отвар необходимо в теплом виде несколько раз в день.
 Ромашка - самое безопасное и эффективное средство при воспалении десен
Ромашка - самое безопасное и эффективное средство при воспалении десен

Эти лекарственные травы весьма эффективны даже при отсутствии традиционного воздействия. Они помогают дезинфицировать и снижать вероятность повторного воспаления. Важно чтобы сохранялась инструкция по использованию и приготовлению отваров.

Применение домашних средств

Все нетрадиционные методы лечения нередко дают хороший положительный результат. Нередко их рекомендуют даже стоматологи, как дополнительное воздействие при начальных формах заболевания.

Если десна болят, чем полоскать еще:

  • Подсолнечное масло. Полоскание осуществляют 3-4 раза в день. Для одного сеанса достаточно 2ст.л. масла. Главное его действие это регенерация ран.
  • Морская соль. Она разводится в воде 1:10. Применять можно каждый час. Рекомендуется даже при сильном воспалительном процессе.
  • Пищевая сода. Понадобится 1 ч.л. ингредиента и 250 мл воды. Частота использования, как и у раствора морской соли.
  • Корень имбиря. Его тщательно измельчают и заваривают кипятком, выдерживают 15 мин. Готовым отваром полощут ротовую полость 2 раза в день.
  • Настойка хрена. Требуется именно корень растения, который следует залить 0,5 л. крутого кипятка. После остывания используют 2 раза утром и вечером, на протяжении 14 дней.

Таблица №2. Иные методы лечения заболеваний десен:

Название средстваСпособ приготовленияДействие

 Прополисная мазь
Прополисная мазь

100 гр животного жира, смешать с 10гр чистого прополиса.Противовоспалительное, ранозаживляющее.

 Корень лопуха
Корень лопуха

Очищенное растение можно жевать в чистом виде или протертую массу прикладывать к проблемному участку.Снимает воспаление и ускоряет регенерацию.

 Протертый репчатый лук с молоком
Протертый репчатый лук с молоком

Смешать 2 средства в соотношении 1:3.Хорошо устраняет гнойные выделения, снимает воспаление и боль.

 Масло мяты перечной
Масло мяты перечной

Используется в чистом виде для аппликаций.Регенерирующее, обезболивающее.

 Чеснок
Чеснок

Очищенный зубчик чеснока положить в поваренную соль на 2 мин. Затем разместить на воспаленную десну.Обезболивающие, частично антисептическое.

 Соленое сало
Соленое сало

Небольшим плоским кусочком свиного сала сделать аппликацию проблемной зоны пародонта на 30 мин.Способствует расщеплению гнойного экссудата, обезболивающее действие.

 Чистый прополис
Чистый прополис

Кусочек средства необходимо разогреть путем интенсивного разминания.Снимает боль, оказывает антисептическое действие.

 Морковный сок
Морковный сок

Использовать следует только свежевыжатый сок, в виде аппликаций или ротовых ванночек.Противовоспалительное.

Профилактические меры

 Чистить зубы 2 раза в день вечером перед сном и утром после приема пищи
Чистить зубы 2 раза в день вечером перед сном и утром после приема пищи

Чтобы не появлялось вопросов, в случае если болят десна, чем полоскать и как быстро избавиться от проблемы, следует самостоятельно позаботиться о предупреждении стоматологических заболеваний.

Важно отметить, что такие меры достаточно просты и доступны каждому:

  • посещать врача 2-3 раза в год для профилактического осмотра и устранения всех стоматологических патологий;
  • устранить такую вредную привычку как ковыряние в межзубных промежутков сторонними предметами;
  • обратить внимание на сбалансированное и полноценное питание;
  • отказаться или снизить влияние вредных привычек (курение табака, потребления алкоголя, наркотиков);
  • тщательно ухаживать за зубами и всей ротовой полостью;
  • правильно подбирать щетку и пасту;
  • устранить негативное влияние профессиональных вредностей.

Эти правили необходимо соблюдать постоянно. Только так можно надолго сохранить здоровье зубов и всех органов ротовой полости.

Стоит помнить, что даже незначительный воспалительный процесс без лечения, способен вызвать осложнения не только стоматологического характера, но и распространиться по всему организму.

Читать далее...