Добавить в корзинуПозвонить
Найти в Дзене

Чем опасно изменение цвета зубов?

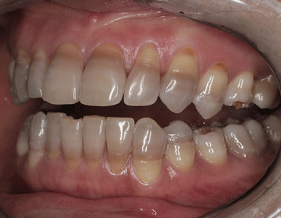
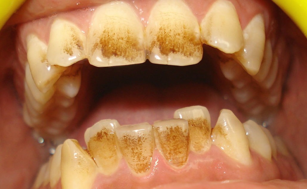
Даже незначительно измененный в цвете зуб значительно портит улыбку, мешая непринужденному общению. Причины окрашивания тканей зуба могут быть внешними или внутренними. · Любое интенсивно окрашенное растительное вещество может окрашивать зубы, так как молекулы пигмента связываются с поверхностным слоем эмали. Жевание или курение табака вызывает значительное пожелтение эмали. Темные и кислые напитки, такие как кофе, чай или газировки, наносят двойной удар так как кислота делает зубы более пористыми и они легче впитывают пигмент. В зависимости от причины, цвет может быть оранжевым или даже зеленым.Хорошая новость об этом типе пятен заключается в том, что его можно удалить с помощью хорошей гигиены полости рта и отбеливающей зубной пасты. При длительном употреблениии таких продуктов сделать это бывает очень сложно. · Некоторые антибактериальные средства, например, хлоргексидин тоже окрашивает зубы и пломбы. Это явление является временным. · Некоторые антигистаминные препараты, антипсих

Даже незначительно измененный в цвете зуб значительно портит улыбку, мешая непринужденному общению. Причины окрашивания тканей зуба могут быть внешними или внутренними.

· Любое интенсивно окрашенное растительное вещество может окрашивать зубы, так как молекулы пигмента связываются с поверхностным слоем эмали. Жевание или курение табака вызывает значительное пожелтение эмали. Темные и кислые напитки, такие как кофе, чай или газировки, наносят двойной удар так как кислота делает зубы более пористыми и они легче впитывают пигмент. В зависимости от причины, цвет может быть оранжевым или даже зеленым.Хорошая новость об этом типе пятен заключается в том, что его можно удалить с помощью хорошей гигиены полости рта и отбеливающей зубной пасты. При длительном употреблениии таких продуктов сделать это бывает очень сложно.

· Некоторые антибактериальные средства, например, хлоргексидин тоже окрашивает зубы и пломбы. Это явление является временным.

· Некоторые антигистаминные препараты, антипсихотические препараты и антигипертензивные препараты также могут вызывать изменение цвета зубов.

· Антибиотики тетрациклин и доксициклин вызывают постоянное окрашивание зубов, если принимаются ребенком до 10 лет. Беременным женщинам не рекомендуется принимать эти антибиотики, потому что они влияют на развитие зубов плода. Зубы не только потемнеют, но и станут более хрупкими из-за изменения химического состава. Отбеливание не решит этой проблемы.

-2

· Химиотерапия и радиация могут изменить цвет эмали, придав ей коричневатый оттенок.

· Пожелтение является частью процесса естественного старения, поскольку зубная эмаль становится тоньше, а естественный желтоватый цвет поднелеченые вовремя зубылежащего слоя дентина становится более заметным. Это физиологическая стираемость.

· Имеется большая тенденция к внешнему окрашиванию, если ваш поток слюноотделения ниже нормы. Слюна помогает очистить рот от остатков пищи после еды; когда слюны слишком мало, больше частиц пищи остаются во рту дольше, увеличивая потенциальный эффект окрашивания зубов их пигментами.

· Генетические особенности строения зубов.

· Нелеченые зубы: кариес и его осложнения. При отмирании пульпы появляется потемнение тканей зуба из-за пропитывания их продуктами распада. Профилактикой является своевременное лечение кариозных зубов и регулярное посещение стоматолога.

-3

· Травма может влиять на цвет зубов как у взрослых, так и у детей. У сильно поврежденного могут быть черные пятна, подобно тому, как синяк становится темным под кожей.

-4

· Некоторые стоматологические материалы, применяемые ранее для лечения зубов. Сейчас их применение ограничено. Это и всем известные амальгамовые пломбы. Они вызывают значительное потемнение тканей зуба.

-5
Если вас беспокоят пятнистые зубы, обязательно посетите своего стоматолога, он определит верные причины изменения цвета зуба, выберет правильный путь лечения, а также избавит вас от возможного разочарования и ненужных расходов. Для профилактики нужно отказаться от вредных привычек, улучшить гигиену полости рта, вовремя лечить зубы.

Продолжение на нашем канале! Подписывайтесь на наш канал, чтобы ничего не пропустить!