Добавить в корзинуПозвонить
Найти в Дзене
www.travm.info

Боль в области ребер после ушиба

Вопрос: Беспокоит ушиб ребра уже 3-й месяц. Болит и в ночное время и днем при ходьбе. Стоит ли пройти компьютерную томографию, т.к.  рентген, сделанный сразу после травмы, показал ушиб. Я вся измучилась ожиданиями, когда же он, наконец, пройдет... Спасибо за ответ!! Ответ Здравствуйте. Если рентген показал ушиб, то уже можно рассмотреть на ребрах какие-либо повреждения костной ткани: трещину, перелом без смещения или даже со смещением.  Кроме этого, мышечные ткани, что покрывают ребра, еще больше страдают: они сильно растягиваются и надрываются. Это приводит к спазму (сильному сокращению), поэтому боль может яркой и присутствовать продолжительное время. Вместе с этим при сильном ушибе разрываются мелкие сосуды, поэтому появляются гематомы. При травмировании сухожилий и соединительной ткани, мышц, сосудов и нервов начинается длительный воспалительный процесс, а он приводит к воспалению легких. Но и это еще не все. При сильном ушибе могут пострадать органы под ребрами. О
Оглавление

Вопрос: Беспокоит ушиб ребра уже 3-й месяц. Болит и в ночное время и днем при ходьбе. Стоит ли пройти компьютерную томографию, т.к.  рентген, сделанный сразу после травмы, показал ушиб. Я вся измучилась ожиданиями, когда же он, наконец, пройдет... Спасибо за ответ!!
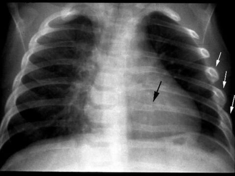
 Повреждение ребер после ушиба
Повреждение ребер после ушиба

Ответ

Здравствуйте. Если рентген показал ушиб, то уже можно рассмотреть на ребрах какие-либо повреждения костной ткани: трещину, перелом без смещения или даже со смещением.  Кроме этого, мышечные ткани, что покрывают ребра, еще больше страдают: они сильно растягиваются и надрываются. Это приводит к спазму (сильному сокращению), поэтому боль может яркой и присутствовать продолжительное время. Вместе с этим при сильном ушибе разрываются мелкие сосуды, поэтому появляются гематомы. При травмировании сухожилий и соединительной ткани, мышц, сосудов и нервов начинается длительный воспалительный процесс, а он приводит к воспалению легких. Но и это еще не все. При сильном ушибе могут пострадать органы под ребрами.

Осложнения ушиба ребер

Затяжной болевой синдром, как в вашем случае, дает основание подозревать на наличие гипоксии, поскольку дыхание становится поверхностным и хронически не хватает воздуха. Если ребра повреждены на уровне легких, может развиваться пневмония, пневмоторакс (скопление воздуха в плевральной полости) и гидроторакс (скопление жидкости в плевральной полости). Может начаться длительный стресс.

Диагностика и лечение

Нельзя пассивно ждать момента, когда же наконец-то заживет костные и мягкие ткани после ушиба.

Если вам не было назначено лечение, то нужно провести повторную диагностику помощью рентгена КТ, МРТ и адекватное лечение по результатам исследования.

Врач может назначить антибиотики при наличии воспаления или пневмонии и обезболивающие средства, как Ибупрофен, Диклофенак или Напроксен, процедуры: УВЧ, амплипульс, электрофорез. Дома можно использовать электрическую грелку и синюю лампу – по 40-60 мину в день. Если обнаружат жидкость или воздух в плевральной  полости, то под анестезией выполняют пункцию по их удалению.

 Тейпы (ленты) для тейпирования
Тейпы (ленты) для тейпирования

Чтобы снизить боль во время движений, нужно носить полужесткий корсет или делать тейпирование. Эластичный бинт не рекомендуется применять, поскольку при наличии перелома без смещения отломки могут сдвинуться внутрь, а дыхание станет еще более поверхностным от боли. Повязка должна быть жесткой и накладывают ее при выдохе.

Рекомендации

Нужно приготовить в домашних условиях:

  • Настойку из корней цикория на спирту (настаивать 2 недели 100 г в 0,5 л спирта) или использовать спиртовую аптечную настойку прополиса, календулы, шалфея или ментоловую. На ночь втирать настойку массажными движениями в область ушиба.
  • Прикладывать компрессы из отвара герани кроваво-красной: на 2 ст. кипятка понадобится 1 ст. л. цветков. Кипятить 15 мин на слабом огне.
  • Прикладывать припарки из отвара шалфея: гущу использовать, как припарку (выкладывают на марлю в горячем виде и прикладывают к ребрам), а отвар – для компресса на ночь, выдерживать 20 мин.
  • Настой из цветков календулы (1 ст. л. на 2 ст. кипятка, настаивать 2 часа) принимать по половине стакана х 4 раза/сутки.
  • Для ускорения процесса регенерации тканей помогут аппликации из смеси алоэ с медом. В блендере смешайте лист алоэ и 1 ч. л. меда, затем на марле приложите к больному ребру. Выдерживайте 1-2 часа, затем удалите состав влажной тканью.

Щадящий режим при ушибе ребер постепенно нужно разбавлять физическими упражнениями, чтобы восстановить утерянные функции грудной клетки. Их нужно оговорить с лечащим врачом, поскольку резкие движения делать нельзя. Можно начинать с медленных наклонов и поворотов.

Читать далее...