Найти в Дзене
www.travm.info

Диафизарные переломы бедра: симптомы, виды, причины, особенности первой помощи и лечения

Локализация и виды Переломами диафиза бедра считаются повреждения костной ткани на участке от подвертельной сверху и до надмыщелковой зоны снизу. По сути, это тело бедра, его прямой участок. Переломы диафиза бедренной кости классифицируются на такие виды: верхней, средней и нижней трети; поперечные, косые, винтообразные; открытые и закрытые; оскольчатые; двойные; клинообразные, сегментарные, мультифрагментарные; неполные; простые и сложные; сочетанные травмы; со смещение и без. Чаще всего отломки бедренной кости подвергаются смещению, что может спровоцировать сопутствующие повреждения тканей. Определить точное расположение и тип перелома, а также степень его тяжести и стратегию дальнейшего лечения может только врач. В любом случае необходимо как можно скорее обратиться за профессиональной медицинской помощью. Причины и последствия Переломы диафиза бедра чаще всего встречаются у пациентов младшей возрастной категории: дети, подростки и молодые люди. Причинами таких повреждений

 Диафизарный перелом бедренной кости – сложная и опасная травма.
Диафизарный перелом бедренной кости – сложная и опасная травма.

Локализация и виды

Переломами диафиза бедра считаются повреждения костной ткани на участке от подвертельной сверху и до надмыщелковой зоны снизу. По сути, это тело бедра, его прямой участок.

 Диафизальным переломомом бедра считается перелом кости от подвертельной зоны сверху и до надмыщелковой снизу.
Диафизальным переломомом бедра считается перелом кости от подвертельной зоны сверху и до надмыщелковой снизу.

Переломы диафиза бедренной кости классифицируются на такие виды:

верхней, средней и нижней трети;

поперечные, косые, винтообразные;

открытые и закрытые;

оскольчатые;

двойные;

клинообразные, сегментарные, мультифрагментарные;

неполные;

простые и сложные;

сочетанные травмы;

со смещение и без.

Чаще всего отломки бедренной кости подвергаются смещению, что может спровоцировать сопутствующие повреждения тканей. Определить точное расположение и тип перелома, а также степень его тяжести и стратегию дальнейшего лечения может только врач. В любом случае необходимо как можно скорее обратиться за профессиональной медицинской помощью.

Причины и последствия

Переломы диафиза бедра чаще всего встречаются у пациентов младшей возрастной категории: дети, подростки и молодые люди.

Причинами таких повреждений могут стать:

прямой или непрямой удар;

падение;

сдавление;

неестественная ротация конечности;

сгибание кости;

огнестрельное ранение;

авария;

спортивная травма.

Подобные переломы опасны своими последствиями, так как цена многих из них затрагивает жизнь человека. В результате повреждения бедра могут затрагиваться нервные пучки, крупные кровеносные сосуды, мышечные связки.

Наиболее опасными последствиями являются:

изменение длины и формы конечности, и, как результат, хромота;

значительная потеря крови;

травматический шок;

нарушение чувствительности конечности;

нарушение двигательной способности;

жировая эмболия;

застойная пневмония.

Как видим, при переломах бедра не исключается наступление инвалидности и даже летального исхода.

Симптомы

Для того чтобы определить наличие повреждения бедра при подобной локализации, человеку необязательно владеть профессиональными знаниями и навыками. Диагностировать диафизарный перелом бедренной кости достаточно просто благодаря проявлению специфических признаков.

Основными симптомами травмы являются:

сильная боль в ноге;

выраженная отечность в месте перелома;

кровоподтеки;

при наличии раны – сильное кровотечение;

нарушение двигательной способности;

неспособность двигать конечностью;

при напряжении мышц возникает сильная боль;

аномальная подвижность бедра;

костная крепитация;

достаточно выраженная деформация ноги, ее укорочение;

ротация конечности, стопа чаще всего смотрит наружу;

побледнение кожных покровов;

нарушение чувствительности на участке, расположенным ниже поврежденной области.

Сильнейшие боли и интенсивная кровопотеря могут привести к потере сознания и развитию у пострадавшего травматического шока, что является непосредственной угрозой для его жизни.

Характер смещения отломков

Отдельно следует отметить, что диафизарные переломы бедра практически всегда сопровождаются выраженным смещением костных фрагментов. Это обусловлено тем, что на этом участке ноги хорошо развиты мышцы, а они, в свою очередь, крепятся к бедренной кости.

При образовании перелома мышечные пучки оттягивают костные отломки в определенном направлении. По характеру смещения в определенной степени можно судить о локализации травмы.

Рассмотрим особенности смещения кости, в зависимости от расположения точки разлома:

  • Верхняя треть. Верхний отломок подвергается воздействию ягодичных и подвздошно-поясничной мышц, что смещает его наружу и вперед. В свою очередь нижний конец диафиза оттягивается приводящими мышцами бедра и смещается во внутреннем направлении.
  • Средняя треть. Ягодичные мышцы оттягивают верхний фрагмент кнаружи и кпереди, но не столь выраженно, как при переломах верхней трети. Нижний отломок тянется назад к середине. Таким образом, происходит смещение костей по длине.
  • Нижняя треть. Приводящие мышцы удерживают верхнюю часть кости и провоцируют внутреннее смещение. Нижний фрагмент подвергается воздействию икроножных мышц, что способствует его натяжению и смещению в направлении кзади.

Первая помощь

Так как перелом диафиза бедра является опасной травмой, особое значение приобретает правильность и своевременность оказания первой помощи. Грамотные действия способны спасти жизнь пострадавшему.

Инструкция по оказанию первой доврачебной помощи представлена в таблице ниже:

Действие и фотоКраткое описание

Остановить кровотечение

 Чтобы остановить кровотечения выше места травмы накладывается жгут или его аналог из подручных средств.
Чтобы остановить кровотечения выше места травмы накладывается жгут или его аналог из подручных средств.

Выше места ранения накладывается жгут, обязательно указывается точное время его наложения, рана закрывается бинтом или тканью. Можно использовать в качестве жгута ремень, отрезок ткани, шнур и т. д.

Дать обезболивающее

 Чтобы не было болевого шока, пострадавшему дают (или колят) обезболивающее.
Чтобы не было болевого шока, пострадавшему дают (или колят) обезболивающее.

Для предотвращения болевого шока обязательно дайте пострадавшему любой обезболивающий препарат.

Приложить лед

 Если есть возможность, то к травмированной конечности стоит приложить холод.
Если есть возможность, то к травмированной конечности стоит приложить холод.

Холод поможет снизить болевые ощущения, отечность и частично сократить кровопотери за счет сужения сосудов.

Помочь занять удобное положение

 Перед или для транспортировки больного необходимо уложить в наиболее удобное положение при травме бедра.
Перед или для транспортировки больного необходимо уложить в наиболее удобное положение при травме бедра.

Лучше всего уложить больного на спину, а под колено подложить валик из одежды или подушку.

Зафиксировать поврежденную конечность

 Травмированную конечность необходимо зафиксировать.
Травмированную конечность необходимо зафиксировать.

На ногу накладывается шина. Можно использовать любые подручные материалы, обеспечивающие жесткость фиксации для голеностопа, колена и тазобедренного сустава. В крайнем случае, примотайте поврежденную ногу к здоровой, стараясь не спровоцировать смещение кости.

Реанимирующие мероприятия

 При необходимости проводят реанимационные мероприятия.
При необходимости проводят реанимационные мероприятия.

Если человек начинает терять сознание, а его жизненные показатели ухудшаются, необходимо произвести реанимирующие мероприятия: освободить дыхательные пути и сделать искусственное дыхание, а также непрямой массаж сердца.

Вызвать «скорую помощь»

 К травмированному человеку как можно скорее необходимо вызвать «скорую».
К травмированному человеку как можно скорее необходимо вызвать «скорую».

Врачи скорой помощи обеспечат пострадавшему необходимую транспортную иммобилизацию и доставят его в медучреждение. При необходимости медики вводят более сильное обезболивающее, производят переливание крови и искусственную вентиляцию легких.

Оказание психологической поддержки

 Пострадавшего надо поддерживать морально.
Пострадавшего надо поддерживать морально.

Больного необходимо поддерживать морально, отвлекать от болевых ощущений и стрессового напряжения, с помощью разговора предотвращать потерю сознания.

Особенности лечения

Для предотвращения негативных последствий необходимо как можно скорее доставить пострадавшего в больницу. Диагностика производится травматологом посредством осмотра и прощупывания поврежденной конечности. Для более точного определения типа и степени сложности перелома назначается рентгенологическое обследование, а в некоторых случаях – и томография.

Любые диафизарные переломы бедренной кости требуют продолжительного комплексного лечения. Консервативная терапия применяется в тех случаях, когда состояние здоровья пациента не позволяет производить хирургические вмешательства либо при несложных повреждениях.

На первых этапах лечения при отсутствии смещения, например, при неполном переломе, накладывается гипсовая повязка. Если имеется смещение, для восстановления правильной формы и длины конечности требуется скелетное вытяжение.

Его суть заключается в фиксации специальными спицами отломка бедра, чаще в области над мыщелком и бугристости большеберцовой кости. Конечность укладывается на шину Белера, а к фиксаторам подводятся утяжелители. В среднем их вес составляет 8 - 12 кг.

По мере сращивания кости можно сокращать силу противодействия для мышц конечности, уменьшая вес груза. Через несколько недель пациента переводят на кожное вытяжение и надевают на ногу ортез или гипсовую повязку.

Также на протяжении курса лечения пациенту назначается прием обезболивающих и противовоспалительных препаратов, антибиотиков и витаминов. Точный перечень медикаментов назначается лечащим врачом.

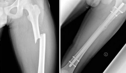
Хирургические методы

Так как перелом диафиза в бедренной кости часто сопровождается осложнениями и смещениями, может потребоваться проведение операции. Целью хирургического вмешательства является остеосинтез с параллельным восстановлением целостности сосудов и мягких тканей.

Для соединения диафизарных фрагментов могут применяться костные фиксаторы (штифт, пластины, гвозди и винты), а также наружные приспособления. Довольно часто применяется интрамедуллярный ретроградный метод остеосинтеза с внутрикостным введением штифта, который остается навсегда в конечности пациента. Его вбивают в заранее подготовленное отверстие в костномозговом канале, а конец со стороны введения в вертельную ямку фиксируется винтами.

После завершения репозиции и остеосинтеза рану зашивают, соединяя послойно мягкие ткани и сосуды. Дополнительно устанавливается дренаж, минимум на 1 сутки. Дальнейшее лечение производится в стационаре, пока состояние пациента не стабилизируется.

Реабилитация и прогноз

Реабилитационный период длится около полугода. На начальном этапе необходимо принимать антибиотики и НПВС с обезболивающими. Рана ежедневно обрабатывается антисептиками. Находясь в постели. Больной должен выполнять дыхательные упражнения для профилактики пневмонии.

Когда скелетное вытяжение будет завершено, а перелом консолидируется, можно приступать к простым физическим упражнениям и понемногу вставать с постели. Дополнительно рекомендуются физиопроцедуры и массаж.

При успешном лечении и восстановлении нога полностью восстановит свои функции. Больше информации о диафизарных переломах бедра вы можете получить, посмотрев видео в этой статье.

Читать далее...