Найти в Дзене
Нейроновости

Насекомое, у которого растворяются ядра нейронов

Сотрудник биологического факультета МГУ имени М.В.Ломоносова изучил наружное и внутреннее строение одного из самых маленьких насекомых в мире — наездника-яйцееда Megaphragma. Результаты работы были опубликованы в журнале PLOS ONE. У насекомого оказалась очень необычная нервная система. Илл: Алексей Полилов Наездник-яйцеед Megaphragma из семейства Trichogrammatidae — это паразитическое насекомое размером всего 200 микрометров. Ученый впервые исследовал его строение и провел анализ структурных особенностей, связанных с миниатюризацией. «Несмотря на предельно малые размеры тела, эти насекомые сохраняют сложность организации. Строение многих систем органов Megaphragmaпрактически не отличается от строения крупных представителей родственных групп насекомых. К этим системам относятся скелет, мускулатура, пищеварительная, выделительная и половая системы. Особенно интересна мускулатура, так как у этих насекомых сохраняются сотни мышц, характерных для крупных насекомых», — рассказал автор стать

Сотрудник биологического факультета МГУ имени М.В.Ломоносова изучил наружное и внутреннее строение одного из самых маленьких насекомых в мире — наездника-яйцееда Megaphragma. Результаты работы были опубликованы в журнале PLOS ONE. У насекомого оказалась очень необычная нервная система.

Илл: Алексей Полилов

Наездник-яйцеед Megaphragma из семейства Trichogrammatidae — это паразитическое насекомое размером всего 200 микрометров. Ученый впервые исследовал его строение и провел анализ структурных особенностей, связанных с миниатюризацией.

«Несмотря на предельно малые размеры тела, эти насекомые сохраняют сложность организации. Строение многих систем органов Megaphragmaпрактически не отличается от строения крупных представителей родственных групп насекомых. К этим системам относятся скелет, мускулатура, пищеварительная, выделительная и половая системы. Особенно интересна мускулатура, так как у этих насекомых сохраняются сотни мышц, характерных для крупных насекомых», — рассказал автор статьи Алексей Полилов, заведующий кафедрой энтомологии биологического факультета МГУ.

Другие системы органов, напротив, демонстрируют значительные уникальные перестройки, связанные с уменьшением размеров тела. У Megaphragma отсутствует сердце и почти вся гемолимфа — вещество, выполняющее те же функции, что кровь и лимфа у животных с замкнутой системой кровообращения, — вытеснена жировым телом, поэтому основной транспорт питательных веществ осуществляется за счет их впитывания в ткани (диффузии).

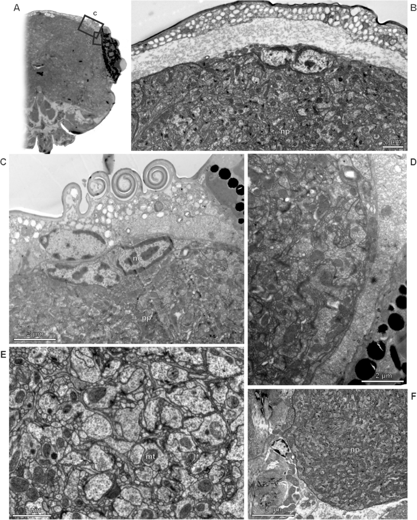
«Еще более интересные изменения происходят в нервной системе. После формирования центральной нервной системы на куколочной стадии происходит массовое растворение тел и ядер нейронов, в результате которого у имаго — взрослых насекомых — большинство нейронов становятся безъядерными и представленными только отростками, а ядра остаются только в примерно 5% нейронов», — прокомментировал ученый.
-2

Микроструктура мозга Megaphragma

В работе автор использовал как классические методики морфологических исследований, так и современные методы электронной микроскопии, матричной томографии и трехмерного компьютерного моделирования.

Исследование миниатюризации животных становится все более и более актуальным направлением биологии, особенно в XXI веке, когда производители техники и электроники стремятся к миниатюризации техники и электроники. Исследователь надеется, что открытые им закономерности миниатюризации насекомых будут востребованы в микроробототехнике.

«Описанное уникальное явление безъядерных нейронов ставит много вопросов о фундаментальных принципах работы нервной системы животных, поэтому необходимо разностороннее изучение этого объекта. Мы планируем провести этологические эксперименты для определения возможностей к обучению и формированию памяти у насекомых с безъядерными нейронами, изучить развитие их нервной системы, изучить другие виды рода Megaphragma и близкие рода», — заключил ученый.

Текст: пресс-служба МГУ

Anatomy of adult Megaphragma (Hymenoptera: Trichogrammatidae), one of the smallest insects, and new insight into insect miniaturization. 

Alexey A. Polilov 

PLOS One

https://doi.org/10.1371/journal.pone.0175566

Читайте материалы нашего сайта в FacebookВКонтакте и канале в Telegram, а также следите за новыми картинками дня в Instagram.