Добавить в корзинуПозвонить
Найти в Дзене
У ФЛЕБОЛОГА РУ

Ангиография сосудов сердца – правда о коронарах

В статье будет рассказано о такой методике визуализации проходимости венечных артерий сердца, как коронарография. Рассмотрим показания к применению данной методики, самой процедуре для понимания чего стоит ожидать, оказавшись в роли пациента, какие противопоказания к ее проведению могут быть, и какую же выгоду мы получаем от проведения подобного исследования. Что такое ангиография сосудов сердца как диагностический инструмент в оценке состояния сердечной функции путем определения кровоснабжения миокарда, начала свое развитие еще с первой половины XX века. В середине этого же столетия начали появляться научные труды врачей, которые вплотную занялись развитием данного вида обследования. На сегодняшний день коронарография поставлена на поток в большинстве кардиологических отделений. Что такое коронарография Коронарография представляет собой инвазивную методику визуализации проходимости венечных артерий сердца. Цель, поставленная перед данным методом, – это обследование ко

 Коронарография – картина йодом.
Коронарография – картина йодом.

В статье будет рассказано о такой методике визуализации проходимости венечных артерий сердца, как коронарография. Рассмотрим показания к применению данной методики, самой процедуре для понимания чего стоит ожидать, оказавшись в роли пациента, какие противопоказания к ее проведению могут быть, и какую же выгоду мы получаем от проведения подобного исследования.

Что такое ангиография сосудов сердца как диагностический инструмент в оценке состояния сердечной функции путем определения кровоснабжения миокарда, начала свое развитие еще с первой половины XX века. В середине этого же столетия начали появляться научные труды врачей, которые вплотную занялись развитием данного вида обследования. На сегодняшний день коронарография поставлена на поток в большинстве кардиологических отделений.

Что такое коронарография

Коронарография представляет собой инвазивную методику визуализации проходимости венечных артерий сердца. Цель, поставленная перед данным методом, – это обследование коронарного дерева (сосудов, питающих сердечную мышцу), а также любых установленных ранее стентов и шунтов.

Проводится это для оценки анатомической и функциональной патологии (закупорка сосудов, наличие атеросклеротических бляшек, тромбов, врожденных аномалий и т.д.), наличия межкоронарных и внутрикоронарных коллатеральных сообщений, что может повлиять на распределение крови и питание ею миокарда.

 Процедура сопровождается рентген-визуализацией в режиме реального времени.
Процедура сопровождается рентген-визуализацией в режиме реального времени.

Длительность процедуры занимает в среднем 30 минут, во время которых с использованием рентгенконтрастного вещества (обычно йодсодержащего) и под локальной анестезией производится серия снимков при помощи рентгенологического аппарата с высокой резолюцией. Это позволяет рассмотреть все сегменты коронарного артериального кровообращения вплоть до сосудов с диаметром 0.3 мм.

 Ангиография коронарных артерий с сужением просвета сосудов со снимками с разных ракурсов.
Ангиография коронарных артерий с сужением просвета сосудов со снимками с разных ракурсов.

Важно! Значительным плюсом в диагностике является отсутствие каких-либо артефактов за счет наложения теней сосудов друг на друга, или неправильного ракурса, так как всегда есть возможность изменить угол обзора.

Кроме диагностической стороны данного обследования важную роль в лечении каждого пациента с кардиологической симптоматикой играет возможность переключиться от простого обследования коронарного кровотока к непосредственному лечению патологии венечных сосудов.

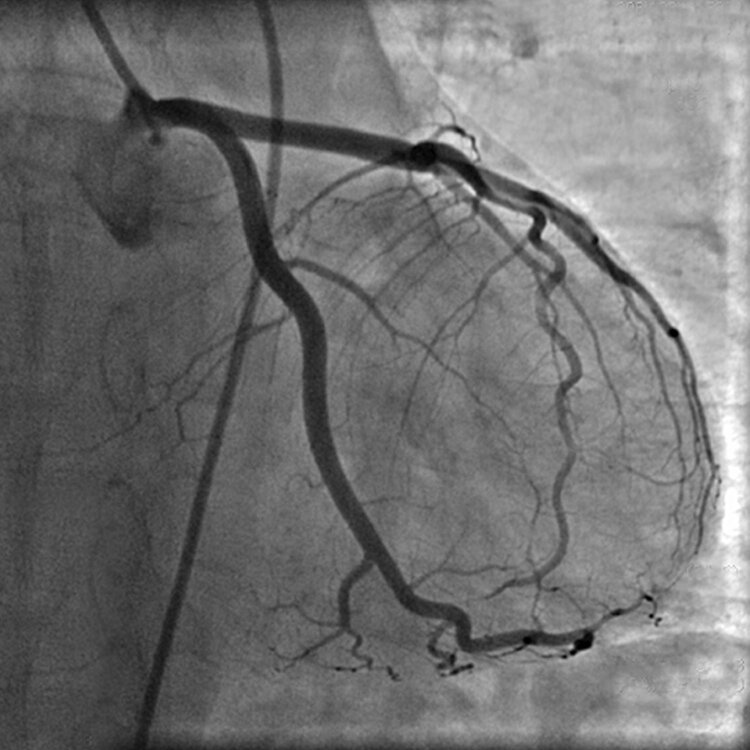
 На фото представлены основные сосуды, питающие сердечную мышцу.
На фото представлены основные сосуды, питающие сердечную мышцу.

На сегодняшний день значительно возросли качество и резолюция таких неинвазивных методик осмотра коронарного кровотока, как магнитно-резонансная ангиография и мультидетекторная компьютерная томография. Они могут быть успешно использованы в роли скрининговых методов. Однако у пациента с наличием ишемических симптомов поражения миокарда большее применение имеет именно ангиография сердечных сосудов.

Внимание! Не смотря на ряд ограничений к своему применению, селективная коронарная ангиография считается золотым стандартом для оценки анатомии венечных артерий.

Показания для назначения данного исследования

Коронарная ангиография показана тогда, когда возникает проблема, разрешение которой требует визуализации и оценки венечного кровотока, с учетом возможных рисков и преимуществ у каждого пациента индивидуально.

 Схема коронарного дерева, питающего миокард.
Схема коронарного дерева, питающего миокард.
  • Инфаркт миокарда. Атеросклероз – патология, широко распространенная среди населения, имеет прямую причинно-следственную связь с сердечной ишемической симптоматикой. Тогда когда диагноз инфаркта миокарда почти точный, и предполагается лечение при помощи чрезкожной коронарной интервенции (англ., PCI/percutaneous coronary intervention), возникает необходимость визуализировать сосуды при помощи ангиографии.Что означает диагноз почти точный? Это значит, что вероятность наличия ишемии как причины возникнувшей у пациента давящей боли за грудиной и всего спектра симптомов, возникающих при инфаркте миокарда, высока. Оценка анатомии сердечных сосудов у таких пациентов является первоочередной в их ведении, и предоставляет важную информацию о подходе в их терапии. О клинических проявлениях ишемии сердца рассказано в видео в этой статье.
  • Бессимптомные пациенты. Пациенты, у которых отсутствует симптоматика, однако присутствуют другие неинвазивные проявления ишемии сердечной мышцы, также имеют преимущества от реваскуляризации венечных артерий, а потому являются идеальными кандидатами для проведения их ангиографии.
  • Прогрессия патологии. Приступ нестабильной стенокардии, если верить статистике, происходит у трети пациентов, которые уже принимают соответствующую терапию для лечения имеющейся у них стабильной стенокардии. При отсутствии эффективности проводимого медикаментозного лечения назначается ангиография коронаров.
  • Неинфарктная боль за грудиной. К данной группе показаний относится ряд больных, поступающих с изолированной болью за грудиной и сомнительными результатами лабораторных исследований на маркеры некроза миокарда, а также те, у кого в случайном порядке была выявлена сердечная аритмия, возникновение которой не имеет известной пациенту и врачу истории (например, блокада левой ножки пучка Гиса). В таком случае важно исключить опасную патологию – инфаркт миокарда, для чего и проводится коронарография.
  • Предоперационное обследование. К данной группе относятся пациенты с известной ранее врожденной или приобретенной клапанной патологией сердца, для которой запланировано хирургическое вмешательство. Ангиография венечных артерий поможет определить степень риска операции и произвести полную оценку деятельности миокарда, исходя из данных о его кровоснабжении.Примером может служить хирургическая коррекция тетрады Фалло, пациенты с которой имеют высокий шанс наличия аномалий в распределении коронарного кровотока, что может повлиять не только на проведение самой операции, но и на реабилитацию больного после нее.
    Важно! Если пациенту назначена плановая абдоминальная, торакальная или ортопедическая операция, и имеются данные о высоком риске для ишемической болезни сердца – требуется коронарография, так как функция сердца влияет не только на ход самой операции, но и на ответ используемой при этом анестезии, тем самым определяя исход оперативного вмешательства.

Особенности коронарографии

 Механизм визуализации имеющихся стенозов в венечных артериях.
Механизм визуализации имеющихся стенозов в венечных артериях.

Контрастирование сосудов производится с йодсодержащим контрастом, введение которого для визуализации коронарных артерий производится непосредственно в синусы Вальсальвы, находящиеся вблизи створок аортального клапана. Для удобства используются специальные катетеры, с которыми можно войти в устье правой и левой коронарной артерии.

Доступ для этого используют обычно через бедренную или лучевую артерию. Выбор основывается на анатомических особенностях артериального русла каждого пациента, а также предпочтениях врача.

Анестезия используется локальная в месте прокола артерии. Для общего успокоения пациента при тревожных состояниях может быть использован легкий анксиолитик (например, Диазепам), но его применение не широко распространено.

Важно! Процедура безболезненна, исключением является болезненные ощущения в области выбранного доступа.

Если говорить о плановых ангиографиях, то пациента обычно принято госпитализировать на после процедуры на одну ночь. При отсутствии осложнений и только после оценки врача пациент может быть выписан через день после проведения коронарографии. В некоторых медицинских учреждений принято оставлять на ночь пред процедурой для более пристального внимания за пациентом и оценки его состояния.

Как и к большинству инвазивных медицинских вмешательств в данном случае требуется подготовка больного. Инструкция, которой должен придерживаться пациент, обычно включает в себя не кушать минимум за 6-8 часов до процедуры, ограничить прием жидкости внутрь (медикаментозные препараты и малое количество бесцветной жидкости – исключение из данного списка), а также максимально подготовиться психологически к вмешательству.

 Даже малоинвазивное вмешательство несет за собой возможные риски и осложнения.
Даже малоинвазивное вмешательство несет за собой возможные риски и осложнения.

Оценка необходимости проведения реваскуляризации коронарных артерий производится на месте, сразу после определения кровотока по правой и левой коронарным артериям. Если состояние сосудов позволяет провести ангиопластику – она проводится сразу во время процедуры. Это позволяет сэкономить время пребывания человека в стационаре и одновременно улучшить его качество жизни.

 Стеноз в ветви левой коронарной артерии.
Стеноз в ветви левой коронарной артерии.

В том случае, если пациент не подходит для проведения стентирования, однако реваскуляризация нужна, врач решает, когда может быть проведено шунтирование. Отсрочивание хирургического вмешательства зависит от степени пораженности коронарного русла – от 24-48 часов после проведенной ангиографии и до нескольких недель.

Внимание! Если решается вопрос о назначении шунтирования пациенту, обычно проводится оценка проходимости внутренних грудных артерий, которые могут быть использованы в виде шунта во время операции.

Возможные риски процедуры

Не смотря на малоинвазивность процедуры, любое вмешательство в организм влечет за собой возможные последствия.

В данном случае риск очень низкий (менее 1%), однако, варианты осложнений важно рассмотреть.

 Врач-кардиолог принимает решение о направлении пациента на коронарографию.
Врач-кардиолог принимает решение о направлении пациента на коронарографию.

кратковременная нестабильность гемодинамики со снижением системного давления;

обратимое и короткое изменение сердечного ритма в виде удлинения PQ, QRS, ST;

развитие тяжелых аритмий (желудочковая тахикардия/фибрилляция, асистолия;

ишемия миокарда из-за временной закупорки кровотока в коронарах;

аллергические реакции;

нефротоксичность.

Наименее желаемым негативным влиянием, которое может оказать на организм ангиография, является ишемия миокарда. Она возникает или из-за кратковременной закупорки артерии катетером, или за счет эффекта коронарного «обкрадывания». Выход из данной ситуации наступает обычно быстро после удаления катетера из сосудистого русла пациента.

 Загрудинная боль – основной симптом тревоги.
Загрудинная боль – основной симптом тревоги.

В заключении стоит обратить внимание людей, на то, что цена здорового сердца высока, и для снижения частоты его патологии необходимо следить за собой и своим способом жизни – вести ежедневные оптимальные физические нагрузки, ограничивать прием вредной пищи и напитков.

Вопросы врачу

Аллергия

Добрый день, меня зовут Андрей, 48 лет. В последнее время было два сильных приступа боли за грудиной, с отдачей боли в левую лопатку и плечо. Ежедневно принимаю препараты, предписанные мне кардиологом из-за ишемической болезни сердца. Когда я пожаловался ему на приступы – он назначил мне ангиографию сердечных сосудов. Прочел в интернете, что это не больно, но вводят контраст на йоде. Что делать если у меня аллергия на йод?

Здравствуйте, Андрей, благодарим за Ваш вопрос. Действительно при проведении коронарографии используется йодсодержащий контраст, и его применение может вызвать затруднения для пациентов с реакцией гиперчувствительности к основному его компоненту – йоду. Однако это не противопоказание к проведению процедуры. Несомненно, реакция бывает различной, потому требуется консультация врача и оценка рисков и преимуществ в Вашем конкретном случае.

Если преимущества перевесят чашу весов – используется схема десенсибилизации организма к йоду. Это не исключает вероятности возникновения реакция гиперчувствительности, однако снижает ее риск.

Почки

Здравствуйте, меня зовут Ольга. Кардиолог дал направление на коронарографию, но сказал, что еще нужно проконсультироваться со специалистом, занимающимся данной процедурой, так как его смущает функция моих почек (уже два месяца нахожусь на гемодиализе из-за хронической почечной недостаточности). Подскажите, может ли это помешать процедуре, и какие у меня есть варианты.

Добрый день, Ольга. Действительно, используемое при коронарографии йодсодержащее контрастное вещество обладает нефротоксическими свойствами. Наличие предшествующей патологии данного органа может значительно усугубить заболевание.

Выбор стоит за врачом-кардиологом, занимающимся ангиографией венечных артерий.Оценивается почечная функция и решается вопрос о рисках и преимуществах данной процедуры. Как альтернатива существуют неинвазивные методы визуализации коронарного кровотока, о которых Вам стоит проконсультироваться со своим лечащим врачом.

Читать далее...