Найти в Дзене
Med62.ru

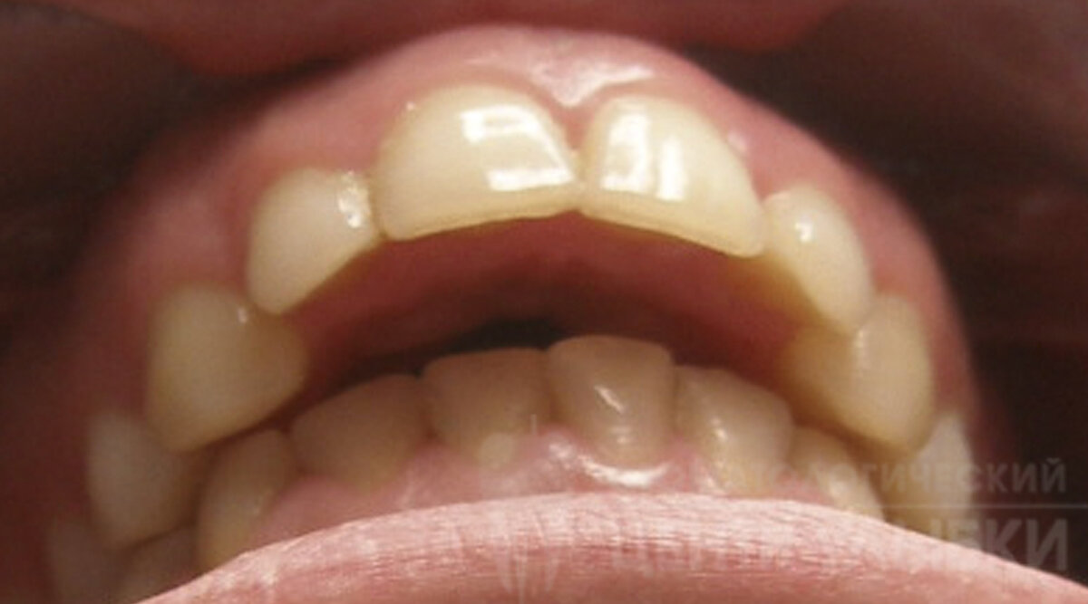
Дистальный прикус: методы лечения

Какие существуют методы лечения дистального прикуса у детей? Предотвращение формирования дистального прикуса диктует необходимость грудного вскармливания ребенка, своевременного перевода малыша на твердую пищу, отучение его отвредных привычек, проведение профилактики рахита, воспалительных заболеваний носоглотки и нарушений осанки. Исправление дистального прикуса должно начинаться еще до смены временных зубов постоянными. В этот период показано лечение, направленное на сдерживание роста верхней и стимуляцию развития нижней челюсти, которое осуществляется с помощью съемной ортодонтической аппаратуры. Комплекс лечебных мероприятий может включать в себя миогимнастику, избирательное пришлифовывание зубов, удаление сверхкомплектных зубов на верхней челюсти, устранение вредных привычек, нормализацию носового дыхания и пр. После завершения роста челюстных костей лечение дистального прикуса может проводиться с использованием брекет-систем, иногда в сочетании с аппаратурным методом. Для иск

Какие существуют методы лечения дистального прикуса у детей?

Предотвращение формирования дистального прикуса диктует необходимость грудного вскармливания ребенка, своевременного перевода малыша на твердую пищу, отучение его отвредных привычек, проведение профилактики рахита, воспалительных заболеваний носоглотки и нарушений осанки.

Исправление дистального прикуса должно начинаться еще до смены временных зубов постоянными. В этот период показано лечение, направленное на сдерживание роста верхней и стимуляцию развития нижней челюсти, которое осуществляется с помощью съемной ортодонтической аппаратуры. Комплекс лечебных мероприятий может включать в себя миогимнастику, избирательное пришлифовывание зубов, удаление сверхкомплектных зубов на верхней челюсти, устранение вредных привычек, нормализацию носового дыхания и пр.

После завершения роста челюстных костей лечение дистального прикуса может проводиться с использованием брекет-систем, иногда в сочетании с аппаратурным методом. Для исключения рецидива дистального прикуса после курса активной терапии длительностью 3-4 года показано ношение ретенционных аппаратов (съемных или несъемных ретейнеров) в течение 1,5-2 сроков основного лечения.

Для устранения сопутствующих дистальному прикусу нарушений может возникнуть потребность в комплексном лечении с привлечением других врачей-специалистов:

- стоматолога-терапевта – важное значение имеет качественное лечение временных зубов и своевременное их возмещение в случае ранней утраты;

- стоматолога-хирурга – при некоторых формах дистального прикуса предварительно требуется проведение хирургического лечения (удаление нескольких зубов, компактостеотомия);

- врача-педиатра – профилактика рахита в зависимости от стадии заболевания (назначение профилактической или лечебной дозы витамина D);

- логопеда – заключается в раннем логопедическом обучении;

- отоларинголога – консультация и лечение при наличии заболеваний органов дыхания;

- консультация специалиста ЛФК и назначение комплекса дыхательных упражнений, назначение массажа крыльев носа, изготовление головной шапочки и поддерживающей нижнечелюстной повязки для пользования в ночное время при наличии привычки спать с открытым ртом.

Соблюдение всех рекомендаций ортодонта и других специалистов в процессе лечения дистального прикуса у детей и подростков позволяет рассчитывать на благоприятный эстетический и функциональный результат. Во взрослом возрасте коррекция дистального прикуса представляет большие сложности и занимает более длительное время.

ЧИТАТЬ СТАТЬЮ НА САЙТЕ www.med62.ru

Имеются противопоказания, ознакомьтесь с инструкцией по применению или проконсультируйтесь со специалистом.