Добавить в корзинуПозвонить
Найти в Дзене
www.travm.info

Первая помощь при переломе плеча, техника иммобилизации

Очень часто наши верхние конечности подвергаются различным травмам, ушибам и переломам. Одним из таких видов повреждений является перелом плеча. Неудачное падение на руку сразу может привести к такой проблеме. Понять, что произошел перелом не сложно, об этом свидетельствуют особые признаки, которые выражаются в виде сильной боли в месте ушиба, а при малейшей попытке движения рукой боль усиливается. Немного анатомии Переломы плеча относятся к ряду одних из самых сложных травм, имеющих много особенностей, что обуславливается анатомической структурой плечевой кости. Таблица №1. Структура плечевой кости: Участок плечевой костиАнатомическое описание Этот участок находится в верхнем отделе кости, покрыт хрящом, примыкающим к суставу. Ниже вдоль кости идет сужение, которое называется анатомическая шейка. Еще ниже располагаются бугорки (малый и большой), к ним соединяются плечевые мышцы. Под бугорками расположено второе сужение, имеющее название хирургическая шейка. Это средний

 При переломе плеча важно правильно оказать первую помощь пострадавшему.
При переломе плеча важно правильно оказать первую помощь пострадавшему.

Очень часто наши верхние конечности подвергаются различным травмам, ушибам и переломам. Одним из таких видов повреждений является перелом плеча. Неудачное падение на руку сразу может привести к такой проблеме. Понять, что произошел перелом не сложно, об этом свидетельствуют особые признаки, которые выражаются в виде сильной боли в месте ушиба, а при малейшей попытке движения рукой боль усиливается.

Немного анатомии

Переломы плеча относятся к ряду одних из самых сложных травм, имеющих много особенностей, что обуславливается анатомической структурой плечевой кости.

Таблица №1. Структура плечевой кости:

Участок плечевой костиАнатомическое описание

 Проксимальный.
Проксимальный.

Этот участок находится в верхнем отделе кости, покрыт хрящом, примыкающим к суставу. Ниже вдоль кости идет сужение, которое называется анатомическая шейка. Еще ниже располагаются бугорки (малый и большой), к ним соединяются плечевые мышцы. Под бугорками расположено второе сужение, имеющее название хирургическая шейка.

 Диафиз.
Диафиз.

Это средний участок кости плеча, самый продолжительный участок имеющий трубчатую структуру.

 Дистальный.
Дистальный.

Нижний участок кости, получивший название мыщелковый отдел, он плавно переходит в два сустава. Состоит из головки мыщелка, примыкающей к лучевой кости, и сустава, соединенного с локтевой костью.

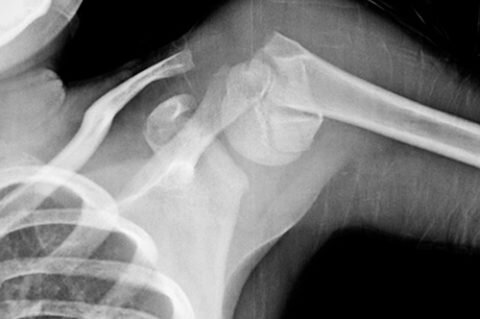
Травма плеча может образоваться на любом участке плечевой кости, но в частых случаях их локализация отмечается в проксимальном отделе. При этом повреждается целостность структуры хирургической шейки или суставной головки.

Интересно. Переломы плеча в проксимальном отделе часто образуются у лиц в пожилом возрасте. Обуславливается это тем, что после 40 лет может развиться остеопороз или признаки сахарных костей. Как следствие при наличии таких показателей при падении вместо обычного ушиба повреждаются суставы и кость.

Общие правила оказания неотложной помощи

Существует множество вариантов травмы плеча, влекущей за собой повреждения костной ткани.

Это:

внутрисуставные переломы;

повреждения хирургической шейки;

повреждения малого и большого бугорка;

перелом диафиза;

повреждения нижнего участка кости плеча;

перелом головчатого возвышения.

 Инъекция обезболивающего эффективно снимет болевые ощущения.
Инъекция обезболивающего эффективно снимет болевые ощущения.

Но независимо от того, какая ситуация произошла оказание первой помощи при переломе плеча имеет общие принципы.

Три основных правила, которые включает в себя неотложная помощь при переломе плеча:

  • Обезболивание. Если есть возможность пострадавшему лучше ввести любой анальгетик внутримышечно, но если рядом нет человека, способного ввести лекарство, то подойдет любое обезболивающее в таблетках.
  • Прием успокоительного. При получении тяжелых травм пострадавший часто впадает в шоковое состояние, чтобы вывести его из него следует принять любое успокоительное и затем начать действовать дальше.
  • Остановка кровотечения. При открытых переломах это основной симптом, который в обязательном порядке следует устранить. Для этого нужно обработать края раны и наложить стерильную бинтовую повязку.
  • Фиксация конечности. До приезда скорой помощи важно обездвижить поврежденную конечность, так как любое неправильное движение может усугубить ситуацию. Например, появляется риск надрыва сосудов и нервов, а также мышц и артерии.

Внимание. Оказание первой помощи при переломе плечевой кости проводится с особой аккуратностью и внимательностью к пострадавшему. В медицинской практике случались ситуации, когда перелом принимали за обычный вывих и делали попытки самостоятельно вправить плечо. Как результат костные осколки повреждают сосуды и нервы, что приводит к внутреннему кровотечению с последующей ампутацией конечности.

Техника иммобилизации

Понятие иммобилизации подразумевает под собой фиксацию одновременно плечевого и локтевого суставов. Делается это для того, чтобы пострадавший не смог сделать каких-нибудь неправильных движений, тем самым, подвергая себя риску серьезных осложнений.

Иммобилизация проводится при помощи таких материалов:

лестничная шина (шина Крамера);

пластиковая шина;

подручные средства.

 Иммобилизация пострадавшей конечности является неотъемлемой частью оказания первой помощи.
Иммобилизация пострадавшей конечности является неотъемлемой частью оказания первой помощи.

При фиксации поврежденной конечности захватывается 3 сустава:

плечевой;

локтевой;

лучезапястный.

Важно. Шина нельзя накладывать на оголенное тело, если руки не закрыты одеждой, их следует обмотать простой тканью.

Иммобилизация лестничной шиной

Чтобы читатели могли представить, как выглядит лестничная шина (шина Крамера), предлагаем ознакомиться с представленным фото:

 Лестничная шина поможет правильно зафиксировать поврежденную конечность.
Лестничная шина поможет правильно зафиксировать поврежденную конечность.

Правильно оказанная первая медицинская помощь при переломе плеча дает положительный прогноз для полного восстановления функций поврежденной верхней конечности. Поэтому фиксация является неотъемлемой частью помощи пострадавшему.

Инструкция наложения лестничной шины следующая:

  • Берется лестничная шина длиной 120 см. По краям шины приматывается бинт или марлевый отрез. Длина бинтовой или марлевой повязки – 80 см. Шина оборачивается ватой и по всей длине оборачивается бинтом.
  • По здоровой конечности делается макет. В области локтя шина сгибается под прямым углом.
  • Получившийся угол шины прикладывается к локтю поврежденной руки, а верхний конец шины сгибается к спине.
  • Пострадавший должен сделать движения корпусом из стороны в сторону, чтобы придать шине необходимую конфигурацию, в зависимости от изгиба плеча и спины.
  • В подмышечную впадину кладется ватный валик.
  • Примотанные к краям бинты привязываются к здоровому плечу с обеих сторон, а затем к предплечью поврежденной руки сверху шины.
  • Между большим пальцем и четырьмя другими прокладывается ватный тампон.
  • Шина фиксируется на руке при помощи бинта.
  • Для исключения давления на пострадавшую руку она подвешивается на косынке или любом другом тряпичном отрезе.
 Иммобилизация плеча при помощи шины Крамера.
Иммобилизация плеча при помощи шины Крамера.

Иммобилизация пластиковой шиной

Пластиковая шина представляет собой специальную конструкцию, предназначенную для иммобилизации конечностей при переломе. Техника наложения такой шины аналогична технике наложения шины Крамера. Конструкция моделируется в области локтя и плеча, закрепляется при помощи имеющихся шнуров.

Иммобилизация подручными средствами

Зачастую сильные травмы нас подстерегают там, где мы их совсем не ожидаем. Да и кто может предположить, что именно его ждет неприятность с переломом плеча? Поэтому под рукой не находится специальных конструкций для фиксации конечностей, для этого используются подручные материалы.

Конечно, если рядом есть аптека, где можно купить специальную шину, то лучше ей воспользоваться. Несмотря на то, что цена лестничной или пластиковой шины может быть высока, проводить фиксацию ими более безопасно, чем простыми подручными материалами.

В качестве подручных шин используют:

доски;

держаки с лопат и граблей;

крепкие палки;

лыжи и т.д.

 Фиксация верхней конечности при помощи подручных материалов.
Фиксация верхней конечности при помощи подручных материалов.

Фиксация проводится по аналогичному принципу, также по здоровой руке (локтю и плечу) моделируется будущая шина и приматывается к пострадавшей конечности. Если нет возможности найти твердый материал, который подойдет для применения в качестве шины, то руку следует подвесить к здоровому плечу на косынку, либо прибинтовать к туловищу.

Первая медицинская помощь при переломе плечевой кости на этом этапе заканчивается, все остальные мероприятия осуществляет только врач. По результатам рентген снимков в двух проекциях и наличия сопутствующей симптоматики ставиться точный диагноз, после чего назначается лечение.

Помощь при открытом переломе

Открытый перелом осложняется наличием кровоточащей раны, поэтому первая помощь при открытом переломе плечевой кости будет немного иной. Сквозь рану наружу могут проходить костные отломки, может быть разорвана мышечная ткань, присутствовать сильное кровотечение, все эти симптомы очень опасны и требуют правильного подхода для их устранения.

Внимание. Если через открытую рану видны отломки кости, нельзя ни в коем случае их самостоятельно ставить на место. Этот поступок может грозить смертью пострадавшего, ведь от болевого шока может наступить остановка сердца. Эти манипуляции проводятся врачом-травматологом, а пострадавшему обязательно вводится анестезия.

Первая помощь при открытом переломе плеча проводится в несколько этапов:

  • Самым первым, что нужно сделать – это вызвать скорую помощь!
  • Затем пострадавшему необходимо дать обезболивающий препарат. Лучше, если это будет инъекция.
  • Принять успокоительное средство. Чтобы снизить панику и шоковое состояние нужно обязательно дать человеку выпить любое успокоительное, например, капли валерианы, пиона или пустырника. Очень хорошо, если есть возможность принять сердечные капли.
  • Поверхность раны обработать раствором Перекиси водорода или любым другим антисептическим средством.
  • Кожу вокруг раны следует хорошо осушить стерильной марлевой салфеткой.
  • Область раны обматывается стерильным бинтом, но при этом нужно следить, чтобы повязка не была тугой.
 Чтобы снять страх и беспокойство у пострадавшего следует ему дать успокоительное.
Чтобы снять страх и беспокойство у пострадавшего следует ему дать успокоительное.

Нужно отметить, что при различных сильных травмах первая помощь при закрытом переломе плечевой кости, так же, как и при открытом может осложниться травматическим шоком больного. Это состояние характеризуется острой реакцией организма на полученную травму, оно имеет несколько фаз.

Таблица №2. Фазы травматического шока:

ФазаОписание состояния больногоПервая

Отмечается повышенная двигательная активность, быстрая, но несвязная речь, слова отрывистые, а голос глуховатый. Человек ощущает повышенную чувствительность к боли, у него может присутствовать беглый взгляд. В некоторых случаях повышается артериальное давление.

Все эти признаки продолжаются в течение 5 минут, после чего наступает вторая фаза состояния.

ВтораяПри второй стадии у человека бледнеют кожные покровы, расширяются зрачки, учащается пульс и сердечный ритм.ТретьяЭто самая тяжелая стадия, требующая незамедлительных действий. У пострадавшего отмечается поверхностное дыхание, одышка, учащается пульс. По внешнему виду кажется полное равнодушие к происходящему. В некоторых особо тяжелых случаях появляются конвульсии, возможен обморок.

Если человек, оказывающий первую помощь, наблюдает один из вышеперечисленных симптомов, то он не должен потерять бдительность, и, если это потребуется, должен быть готов к проведению сердечно-легочной реанимации.

Для обеспечения доступа воздуха следует расстегнуть всю одежду пострадавшего и освободить грудь. Открыть все окна и двери, если это происходит в закрытом пространстве. Обязательно дать сильное обезболивающее и успокоительное.

 При травматическом шоке может случиться обморок.
При травматическом шоке может случиться обморок.

Правильно оказанная первая помощь при переломе плечевой кости снижает риск осложнений, дает благоприятный прогноз к полному восстановлению движений конечностью. Но при этом немаловажную роль играет, какой вид перелома случился у человека.

Ведь на практике бывают ситуации, когда при сильном ударе повреждаются сосуды, нервный пучок, мышечная ткань, сухожилия или артерия, тогда полностью восстановить двигательную функцию практически невозможно. Видео в этой статье даст подробное описание техники наложения шины при переломе плеча.

Читать далее...