Найти в Дзене
Блогеры пишут

Я бросил курить через 20 лет и теперь совершенно здоров.

Вчера была встреча одноклассников. Столкнулись с пятью пацанами у входа в ресторан, обнялись, то да се, закурили… и тут все уставились на меня. - А ты что, Вань? - А я бросил. -ТЫ? БРОСИЛ? И давно? - Три года назад. Я увидел в глазах парней… уважение! Тут же начались вопросы… "Как? сложно ли было?" Не поверите, полчаса разговор шел только об этом. Мне 33. Курить я начал самым первым в классе. Когда пацаны еще только пробовали затягиваться, у меня уже стабильно уходило по полпачки в день. К концу универа эта цифра была ближе к двум пачкам. В студенческую молодость мои последние деньги всегда уходили на курево. О здоровье я начал задумываться когда потихоньку появился лишний вес, одышка… девушки начали обходить меня стороной. Я пошел в спортзал, пробовал играть в футбол, но из этого мало что получалось. Я все время задыхался. Тогда я впервые для себя бросил курить, но хватило силы воли до первой пятницы - потом опять поход в бар, пиво, рука сама тянется к пачке. Занятия спортом не принос

Вчера была встреча одноклассников. Столкнулись с пятью пацанами у входа в ресторан, обнялись, то да се, закурили… и тут все уставились на меня.

- А ты что, Вань?

- А я бросил.

-ТЫ? БРОСИЛ? И давно?

- Три года назад.

Я увидел в глазах парней… уважение! Тут же начались вопросы… "Как? сложно ли было?" Не поверите, полчаса разговор шел только об этом.

Мне 33. Курить я начал самым первым в классе. Когда пацаны еще только пробовали затягиваться, у меня уже стабильно уходило по полпачки в день. К концу универа эта цифра была ближе к двум пачкам. В студенческую молодость мои последние деньги всегда уходили на курево.

О здоровье я начал задумываться когда потихоньку появился лишний вес, одышка… девушки начали обходить меня стороной. Я пошел в спортзал, пробовал играть в футбол, но из этого мало что получалось. Я все время задыхался. Тогда я впервые для себя бросил курить, но хватило силы воли до первой пятницы - потом опять поход в бар, пиво, рука сама тянется к пачке.

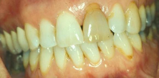
Занятия спортом не приносили желаемого прогресса да и чувствовал я себя все так же паршиво. Начались проблемы с зубами… и без того желтые после двадцати лет курения без остановки (специальные и отбеливающие пасты в таких случаях что мертвому припарка), они начали болеть, крошиться, один за другим. Врач только руками разводил. Закончилось все счетом на 170 тысяч “деревянных за новые зубы” - нехило, а?

Я подумал - сегодня зубы, а завтра что? Сердце, легкие … но их-то новые не вставишь! Вообщем, на этот раз я бросил основательно. То есть, аж на два месяца. Вам смешно, а для меня это стало рекордом. И худшими 60 днями жизни.
Я подумал - сегодня зубы, а завтра что? Сердце, легкие … но их-то новые не вставишь! Вообщем, на этот раз я бросил основательно. То есть, аж на два месяца. Вам смешно, а для меня это стало рекордом. И худшими 60 днями жизни.

Вы не представляете что такое для курильщика с большим стажем - попытаться резко полностью отказаться от сигарет. На работе я потерял концентрацию, потому что все время думал о том, что хочу курить. Даже ночью я просыпался от этого желания. При запахе табака у меня сводило в животе и начинали трястись руки.

Я начал "заедать" стресс и от этого еще больше набрал в весе. Я ждал что со временем мой организм забудет о зависимости, но этого не происходило. Как-то после стрессовой ситуации на работе (которую во много провоцировало мое нервозное состояние) я вышел из офиса, стрельнул у прохожего сигареты и затянулся раньше, чем успел сообразить, что я делаю. И снова понеслось…

Стало понятно: сам я не справлюсь. Я прошерстил весь интернет, прочитал все что нашел о "вспомогательных" средствах и, полный энтузиазма, начал пробовать все подряд.

Итак, я пытался завязать уже больше года. Надо мной шутили друзья, знакомые, коллеги. Я читал все, что мог на российских и иностранных сайтах, пробовал то одно то другое и... не поверите, мне все же улыбнулась удача.

Я нашел именно то, что начал лечение и уже через несколько недель я забыл, что такое сигареты и стал вести здоровый образ жизни.

Больше отзывов читайте в группах социальных сетей и не попадайтесь на обман!

Поставь лайк на канал, чтобы как можно больше людей бросило такую пагубную привычку!