Тяжелые травмы головы переносятся некоторыми людьми с необъяснимой легкостью
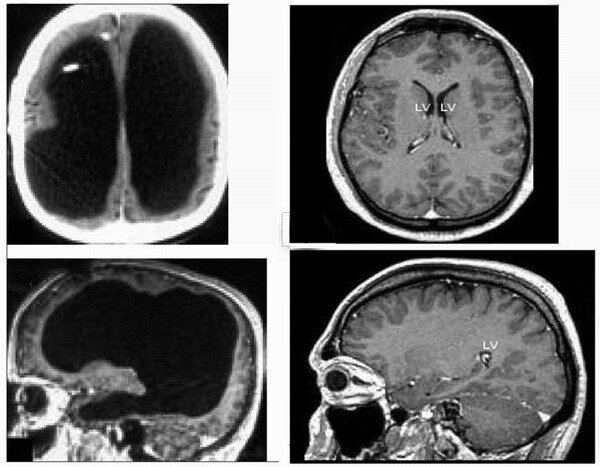
Совсем недавно, в июле 2007 года, в авторитетнейшем медицинском научном журнале «Lancet» была опубликована небольшая статья «Мозг клерка». В ней рассказывалось о поразительном случае гидроцефалии у одного 44-летнего французского государственного служащего. Однажды этот человек обратился в госпиталь Марселя с жалобами на слабость своей левой ноги, однако, когда ему сделали томографию мозга, то врачи, увидевшие снимки, были шокированы. Оказалось, что желудочки мозга этого клерка были так расширены, что занимали практически всю полость черепа. Тем не менее, хотя почти три четверти головного мозга отсутствовали, этот человек жил (да и сейчас живёт) вполне нормальной жизнью: работа, семья, дети...
Удивительно, не правда ли? Ещё более удивительно, что подобное уже случалось.
Удивительные гидроцефалы
Как известно, даже малейшие нарушения работы мозга могут проявляться в виде сильных психических расстройств. Так, участок поражения размером в несколько миллиметров способен, в зависимости от своего местоположения, привести к нарушениям речи, памяти, сознания, восприятия и пр. Однако наш «безмозглый» клерк из Марселя никаких особых проблем с психикой, как ни странно, не испытывал. Хотя он и был, честно говоря, несколько глуповат — его средний коэффициент интеллекта (IQ) составлял всего 75 при норме от 80 до 114. Однако некоторые виды его интеллекта были развиты лучше. Так, например, его вербальный IQ был уже равен 84, что вполне сравнимо, к примеру, с IQ президента США Дж. Буша младшего, у которого он, как говорят, равен 91. Клерк жил обычной жизнью: исправно ходил на службу, был женат и имел двоих детей. Если бы у него не возникли проблемы с ногой, то, возможно, никто бы и не узнал, что в его голове большую часть «жилой площади» занимает не мозг, а спинномозговая жидкость (ликвор).
Нечто подобное уже было описано в 1980 году в журнале «Science». Роджер Левин (Roger David Lewin) опубликовал там свою статью «Действительно ли вам нужен мозг?» (Is your brain really necessary?), в которой описал несколько случаев гидроцефалии из практики профессора педиатрии Шеффилдского университета Джона Лорбера (John Lorber, 1915–1996). В их числе и случай студента, который в середине 1960-х обратился к врачу с жалобой на незначительное недомогание. Врач отметил, что размер головы молодого человека немного превосходил норму и для более детального обследования отправил его к своему знакомому — профессору Лорберу. Сканирование показало, что всё пространство черепной коробки студента занимали желудочки, заполненные ликвором. Нервная ткань его мозга представляла лишь тонкий слой в несколько миллиметров вокруг них. Тем не менее, этот студент не страдал какими-либо отклонениями в психике (его IQ был даже несколько выше нормы и составлял 126). Он успешно учился (особенно преуспевал в математике) и даже смог с отличием окончить университет.
Тот же Левин описал ещё один подобный случай из практики Лорбера. В 1970 году житель Нью-Йорка скончался в возрасте тридцати пяти лет. Когда для определения причины его преждевременной смерти было произведено вскрытие, было также обнаружено практически полное отсутствие мозга. Этот человек работал консьержем и пользовался популярностью в своем окружении. Жители дома, в котором он работал, рассказывали, что он обычно проводил свое время за рутинными занятиями: следил за паровым котлом, читал газеты.
Объяснить, как же такое возможно, непросто, но я всё-таки попробую. Можно предположить, что гидроцефалия у этих людей была врождённой (увы, данных мало, но, по крайней мере, у французского клерка она точно была таковой). Соответственно, можно предположить, что размер головы у них был несколько больше среднего. А раз так, то и внутренняя поверхность черепа у них была больше среднестатистической и, следовательно, тонкий слой нервной ткани занимал большую площадь. Таким образом, объём их атрофированного мозга мог быть больше, чем кажется на первый взгляд. Второе объяснение заключается в том, что желудочки увеличивались в объёме очень медленно, и мозг, благодаря своей пластичности, успевал постепенно перестроиться. И наконец третье объяснение состоит в том, что желудочки, увеличиваясь, сминали белое вещество головного мозга и смещали подкорковые структуры, но серое вещество коры, отвечающей за высшие когнитивные функции, у них было поражено в меньшей степени. Понимаю, что эти объяснения довольно шатки и построены на недостаточных данных, и потому не буду настаивать на них, когда кто-нибудь сможет дать другое.
Дыры в голове
К сожалению, высказанные выше гипотезы могут объяснить сохранение психики лишь при желудочковой гидроцефалии. А ведь в литературе описано множество случаев, когда психика полностью сохранялась при массивных поражениях мозга, полученных в результате острой травмы или ранения. В этом случае нельзя сказать, что голова была большая, кора сохранилась, а изменения в мозге происходили слишком медленно. Чтобы было понятно, расскажем о самых известных таких случаях.
Начнём с классического случая, который упоминается в огромном количестве монографий по нейрофизиологии. В 1848 году Финеас Гейдж (Phineas Gage), старший мастер бригады рабочих, строивших железную дорогу неподалёку от города Кавендиш (Вермонт, США), заложил пороховой заряд в отверстие, пробитое в скале, подготавливая очередной взрыв. Затем по технике безопасности требовалось засыпать порох сверху песком и утрамбовать, однако песок почему-то насыпан не был. Из-за этого, когда Финеас Гейдж, желая утрамбовать заряд, опустил в отверстие тяжелую трамбовку (железную палку длиной около метра и диаметром 3 см), она, ударившись о скалу, высекла искру, воспламенила порох и как снаряд устремилась вверх. На своем пути эта палка насквозь пронзила головной мозг Гейджа, войдя через его левую щеку и выйдя около темени.
Другой человек после такой травмы мгновенно бы умер, однако здесь произошло чудо, благодаря которому этот рабочий вошёл в историю. Меньше чем через час после травмы Гейдж пришёл в себя, а затем сразу смог с помощью сопровождавших его людей пойти к хирургу и по дороге спокойно и невозмутимо рассуждал о дыре в своей голове. В конце концов он оправился от инфекции, развившейся в ране, и прожил ещё 12 лет.
Гейдж умер в 1860 году в Сан-Франциско, где ученые-медики, вскрыв его тело, смогли проверить эту историю путем прямого исследования поврежденного мозга. Выяснилось, что не только левая лобная доля подверглась тяжелому повреждению, но травма распространялась и на правую лобную долю.
Как ни удивителен тот факт, что Гейдж выжил после такой травмы, но ещё более удивительны оказались её последствия. Странно, но каких-либо серьёзных и изменений психики у Гейджа не произошло. Он по-прежнемуоставался дееспособной личностью: у него не нарушилась память, речь, восприятие. Пожалуй, у него только изменился характер (он стал более раздражительным) и он потерял склонность к труду. Бросив работу на железной дороге, он предпочел странствовать, зарабатывая на жизнь тем, что показывал себя и свою трамбовку.
Споры, почему психика у Гейджа нарушилась так незначительно, не затихают уже почти 160 лет. В основном критика сводится к тому, что о психике Гейджа до травмы ничего практически неизвестно. Вполне возможно, что психика сильно изменилась, но врачи, тестировавшие Гейджа, этого не заметили, так как не знали, каким он был раньше. Также в последнее время появляются статьи, где при помощи трёхмерного компьютерного моделирования черепа Гейджа доказывается, что у него была поражена только левая лобная доля, а правая осталась неповреждённой. Кроме того, ряд сообщений об изменениях психики Гейджа появился через много лет после его смерти и несколько противоречит прижизненным исследованиям психики этого человека. Возможно, что сама эта история за полтора века её обсуждения обросла многими дополнительными подробностями, никогда не существовавшими в действительности. Но похожие экстраординарные травмы мозга наблюдались и совсем недавно.
В апреле 1998 года на 41-летнего американца по имени Майкл Хилл было совершено нападение, в результате чего ему в голову, пронзив череп, вонзился огромный армейский нож длиной в 20 см. После нападения Майкл смог самостоятельно пройти по улице до дома своего друга, который довёз его до больницы. Через четыре часа после нападения нож был извлечён из головы Майкла. Однако интересно то, что, после извлечения этого «инородного предмета» из головы, вокруг раны не возникло инфекционного заражения, и уже через неделю после операции Майкл самостоятельно покинул больницу. Ранение практически никак не отразилось на психике Майкла. Хотя у него первое время были головные боли и некоторые нарушения памяти, но к выходу из больницы они уже прекратились. Никаких других нарушений психики врачи выявить у Майкла Хилла не смогли. Трудно сказать, в чём причина подобной живучести. Единственное рациональное объяснение, как мне кажется, заключается в том, что при ударе сверху нож вошел в пространство между полушариями, соответственно повредив меньшее количество мозговой ткани, чем если бы удар был нанесён сбоку или сзади.
В том же 1998 году в научном журнале Arquivos de Neuro-Psiquiatria описан случай 39-летнего человека, который решил покончить жизнь самоубийством и забил себе в середину головы два (!) огромных гвоздя. Как ни странно, но этот человек выжил. Хотя гвозди и задели моторную кору, никаких двигательных нарушений врачам у него выявить не удалось. Что касается психики, то об этом не сообщается. Сам способ самоубийства свидетельствует, что с ней у него было не совсем хорошо.
Одному 29-летнему человеку в голову попал гарпун. Он ловил рыбу на одном из водохранилищ и его напарник, стреляя из гарпуна в рыбу, попал ему в голову. Гарпун прошёл над левым глазом сквозь мозг и вышел, пробив череп, через макушку. После операции, в ходе которой гарпун был извлечён, этот молодой человек сообщил, что чувствует себя нормально и собирается вернуться к своему любимому занятию — подводной охоте. Как сообщает журнал Surgical neurology, где в 1983 году был описан этот случай, нейрологические нарушения у этого человека до и после операции были минимальны.
В 1888 году в журнале «Medical press of New York» была опубликована история об удивительном случае, произошедшем с матросом речного буксира. Как-то раз этот матрос забрался на ящики, которые перевозила баржа, чтобы проверить, не ослабло ли их крепление. Занимаясь ящиками, он не заметил, что баржа начала проходить под аркой низкого моста, и, в результате, острая балка мостового пролёта срезала ему череп на уровне пяти сантиметров выше правого глаза. Заливаясь кровью, матрос упал, и все, кто видели это, сочли, что он скоро умрёт. Однако когда через пару часов его доставили в больницу, он ещё был жив. Мало того, как только врачи начали обрабатывать его рану, он вдруг открыл глаза и спросил, что с ним случилось. Когда же доктора забинтовали ему голову, уменьшившуюся на четверть, матрос неожиданно слез с операционного стола, потребовал свою робу, заявив, что хочет домой. Всего через два месяца он вернулся на судно. Никаких проблем с психикой, кроме изредка появляющихся головокружений, этот матрос не испытывал, во всём остальном он также был вполне здоровым человеком. Лишь спустя 26 лет после этого случая у него частично парализовало левую руку и ногу.
Трудно сказать, насколько правдива эта история матроса — всё-таки она произошла слишком давно. Однако известна ещё одна хорошо документированная история, произошедшая относительно недавно.
В 1987 году 14-летний американский мальчик по имени Ахад Исрафил подрабатывал в оружейном магазине. Однажды его начальник нечаянно ударил прикладом заряженного ружья об пол и произошёл выстрел. Пуля попала Ахаду в правую часть головы и разрушила часть его черепа. Правое полушарие его мозга настолько сильно пострадало, что врачами пришлось его практически полностью удалить.
Ахад жив до сих пор. Хотя он и передвигается в инвалидном кресле, его психика, по словам врачей и его родителей, не пострадала. Он способен разговаривать, как разумный человек. Мало того, если до несчастного случая Ахад не любил читать, то после ранения у него возникла жажда знаний — он стал читать книги всё свободное время. Он успешно окончил школу, и в настоящее время периодически выступает в телевизионных шоу, рассказывая свою историю.
Заключение
Если покопаться в медицинских журналах, то можно обнаружить ещё несколько десятков подобных удивительных историй. Почему же столь жесточайшие травмы не оказали сильного влияния на психику этих людей? Что-то объяснить с большими натяжками, конечно, можно, но, увы, не всё. Давайте посмотрим, что же объединяло всех этих людей.
Первое, что бросается в глаза, это то, что большинство описанных случаев приключались с мужчинами. Хотя, конечно, это совпадение можно объяснить тем, что мужчины ведут более рискованный образ жизни и травмы головы они получают, как правило, чаще, чем женщины.
Нечто другое, что могло объединять всех этих людей, не так очевидно. Судя по всему, все эти рабочие, строители, матросы, консьержи, рыбаки и др. вели такой образ жизни, где им редко требовалось использовать свой мозг «на все сто», так как подавляющее большинство из них занималось монотонным и/или не особо интеллектуальным трудом. Можно предположить, что именно поэтому столь сильные поражения мозга не особо сказались на них.
Если это предположение верно, то у меня для вас плохая новость. Так как вы смогли дочитать эту статью до конца, да ещё поняли, что тут написано, то у вас значительно меньше шансов пережить без потерь для психики травму мозга. А, к примеру, человеку, который предпочитает в жизни использовать хамство и грубую силу, а не свой мозг, такие травмы, вероятно, менее страшны. Хотя, конечно, кто его знает.
Станислав Козловский
Читайте также:
Загадка дофамина 1. Открытие "центров удовольствия"
Загадка дофамина 2. Эксперименты доктора Хита
Загадка дофамина 3. Явление дофамина
