Добавить в корзину
Позвонить
Найти в Дзене
Войти
Группа клиник "Диадент"
9 подписчиков
Подписаться
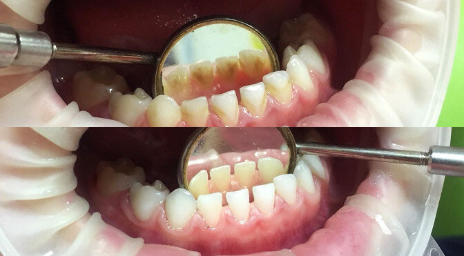
Результат работы Никитиной Т.Б.
27 августа 2018
27 авг 2018
2
~1 мин
Профессинальная чистка зубов - прекрасный способ обрести красивую улыбку за короткий срок!
Профессинальная чистка зубов - прекрасный способ обрести красивую улыбку за короткий срок!
...
Читать далее
Профессинальная чистка зубов - прекрасный способ обрести красивую улыбку за короткий срок!
1275130734.937.1778246141293.21834