Добавить в корзинуПозвонить
Найти в Дзене
Забавный случай

Как врач-рентгенолог нашёл на снимке пациентки очень странные надписи и сделал клизму во время снимка

1. Доктор смотрит на снимки грудной клетки пациентки. Видит, около лёгочных полей тени. Неужели туберкулёз у такой молодой красивой девушки? Странно как-то. И тут доктор наблюдает такую странность. Если снимок отвести подальше от глаз, то тени начинают превращаться в подозрительные буквы. Ну мистика какая, ей Богу. И тут он понимает, что буквы превращаются в единое слово. GUCCI. Выяснилось, что пациентка постеснялась снять майку на бретелях перед лаборанткой. А на бретелях как раз и была та сама надпись GUCCI. Получился очень "модный" снимок! 2. Как и у всех врачей, у рентгенологов есть очень неприятная процедура, которая называется ирригоскопия. Это когда в задний проход вставляют шланг, а пациенту дают грушу, с помощью которой он накачивает в толстую кишку контрастное вещество. Кишка наполнилась- делают снимки со всех сторон. Так выявляют особо опасные для кишечника болезни. Очередь в кабинет. Пациенту Иванову надо делать такую процедуру. Медсестра выходит из кабинета и зовёт Ива
Оглавление

1.

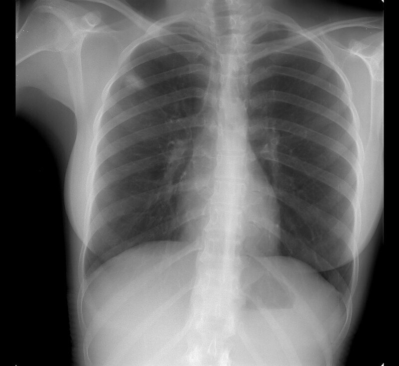
Доктор смотрит на снимки грудной клетки пациентки. Видит, около лёгочных полей тени. Неужели туберкулёз у такой молодой красивой девушки? Странно как-то.

И тут доктор наблюдает такую странность. Если снимок отвести подальше от глаз, то тени начинают превращаться в подозрительные буквы. Ну мистика какая, ей Богу. И тут он понимает, что буквы превращаются в единое слово. GUCCI.

Выяснилось, что пациентка постеснялась снять майку на бретелях перед лаборанткой. А на бретелях как раз и была та сама надпись GUCCI. Получился очень "модный" снимок!

-2

2.

Как и у всех врачей, у рентгенологов есть очень неприятная процедура, которая называется ирригоскопия. Это когда в задний проход вставляют шланг, а пациенту дают грушу, с помощью которой он накачивает в толстую кишку контрастное вещество. Кишка наполнилась- делают снимки со всех сторон. Так выявляют особо опасные для кишечника болезни.

-3

Очередь в кабинет. Пациенту Иванову надо делать такую процедуру. Медсестра выходит из кабинета и зовёт Иванова. Первый раз не откликается, второй раз тоже. На третий откликнулись. Щупленький старичок заходит в кабинет.

Всё делают по стандарту: шланг, груша, накачали. Медсестра могучими руками переворачивает пациента чтобы сделать снимки.

Смотрю на снимки Иванова и начинаю злиться: "Почему пациент не готов к процедуре? ". На минуточку, перед ирригоскопией дают слабительное чтобы всё было чисто.

-4

Старичок лежит испуганный и отвечает: "Так я ж не знал."

-Как это не знали? Вам ничего не сказали, что надо делать?

-Нет. Я не знал, что перед флюорографией надо клизму делать...

-В смысле флюорография. Вам не ирригоскопия нужна?

-Нет

Я завис. В карточке внятно написано, что Иванову нужна ирригоскопия.

Стучатся в дверь кабинета, заходит мужчина и жалобно говорит:

-Ну скоро там? А то я уже давно жду...

-А кто вы?

-Я Иванов.

Тут я окончательно завис. Смотрю на старичка и спрашиваю:

-Ну а вы кто?

-Я Сидоров.

Оказывается, настоящий Иванов отлучился в туалет, а дедушка решил пролезть вне очереди.

-Да сколько можно ждать. При такой очереди на любую фамилию начнёшь отзываться.

И старичок вылетел пулей из кабинета...

Выводы делайте сами :)