Добавить в корзинуПозвонить
Найти в Дзене

Риски и осложнения при проведении оперативных вмешательств по установке имплантов

Описал самые распространенные проблемы в маммопластике. К ним относятся: 1.   Инфекционные процессы 2.   Послеоперационные гематомы 3.   Серомы 4.   Капсулярная контрактура 5.   Разворот/смещение импланта Капсулярная контрактура Капсуларная контрактура является наиболее частым осложнением в отдаленном послеоперационном периоде после установки имплантов. При нормальных темпах заживлении (см. нормальное заживление тканей тут) раны тонкий слой соединительной ткани вокруг импланта образуется уже через 4-6 недель после операции. Образование капсулы является физиологической реакцией на наличие инородного тела. При идеальном стечении обстоятельств толщина капсулы минимальна, капсула полностью повторяет анатомическую форму имплантат и не пальпируется. Тем не менее, достаточно часто капсула может сжиматься, сдавливая имплант, что приводит к появлению субъективных неприятных ощущений. Согласно Baker, принято выделять 4 степени сжатия импланта. При 1 степени молочная железа имеет мягкую консист

Описал самые распространенные проблемы в маммопластике.

К ним относятся:

1.   Инфекционные процессы

2.   Послеоперационные гематомы

3.   Серомы

4.   Капсулярная контрактура

5.   Разворот/смещение импланта

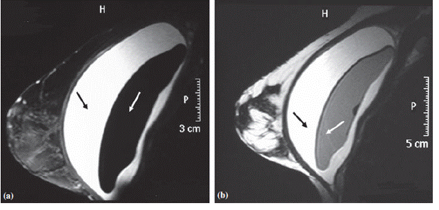
Капсулярная контрактура

Капсуларная контрактура является наиболее частым осложнением в отдаленном послеоперационном периоде после установки имплантов. При нормальных темпах заживлении (см. нормальное заживление тканей тут) раны тонкий слой соединительной ткани вокруг импланта образуется уже через 4-6 недель после операции. Образование капсулы является физиологической реакцией на наличие инородного тела. При идеальном стечении обстоятельств толщина капсулы минимальна, капсула полностью повторяет анатомическую форму имплантат и не пальпируется. Тем не менее, достаточно часто капсула может сжиматься, сдавливая имплант, что приводит к появлению субъективных неприятных ощущений. Согласно Baker, принято выделять 4 степени сжатия импланта. При 1 степени молочная железа имеет мягкую консистенцию, имплант не пальпируется. При 2 степени характерными являются незначительно выраженные пальпаторнэ признаки капсулы. При 3 степени имплант четко визуализируется и имеет пальпаторно уплотнение тканей в области импланта. Для 4 степени характерно присоединение достаточно выраженного болевого синдрома. Сжимание капсулы может развиваться как в раннем п/о периоде, так и спустя несколько лет после операции. При постановке импланта с обеих сторон может иметь место двусторонний характер патологических проявлении. При незначительной выраженности процессов контракции (1-2 степень) пациенты могут н предъявлять никаких жалоб (вплоть до полного отсутствия симптоматики). Для 4 стадии характерно ощущение инородного тела и хронический болевой синдром.

липосакция, пластика живота, ринопластика, пластика носа, пластический хирург, септопластика, изменить нос, маммопластика, пластический хирург, здоровье, красота, пластика груди, увеличение груди, москва
липосакция, пластика живота, ринопластика, пластика носа, пластический хирург, септопластика, изменить нос, маммопластика, пластический хирург, здоровье, красота, пластика груди, увеличение груди, москва

Клинические исследования в достаточно продолжительном периоде показали, что контракция наступает в 4-5% случаев в течение 10 лет после установки имплантов. Частота данного осложнения увеличивается до 10-15% в течение 20-летнего периода, и до 20-25% в течение 30 после операции.

Для сравнения, уплотнение молочной железы в течение 2 лет после выполненных реконструктивных операциях встречаетсыа у 30-35%.

Важно понимать, что контракция капсулы сама по себе не угрогает пациентам.

-3

При контракциях капсулы, для коррекции показаны повторные хирургические вмешательства, а именно капсулотомия. Иногда может также потребоваться замена имплантов. Капсулотомия проводится открытым методом под визуальным контролем хирурга, для предотвращения повреждения импланта.

Инфекционные осложнения

Лечение послеоперационной инфекции осуществляется с использованием антибиотиков или антисептиков. Замена или полное удаление имплантов требуются в исключительных случаях. При удалении импланта многие хирурги придерживаются тактики удаления имплантов с обеих сторон для избегания асимметрии и психологических проблем у пациентки соответственно.

Серома

Этиология хронической серомы без признаков инфекционного воспаления на сегодняшний день неизвестна. В некоторых случаях серома может возникать спустя несколько лет после операции. Дренирование может быть неэффективным. Обычно помогает полная замена имплантов и непрерывное дренирование длительное время (до 10 дней).

-4
липосакция, пластика живота, ринопластика, пластика носа, пластический хирург, септопластика, изменить нос, маммопластика, пластический хирург, здоровье, красота, пластика груди, увеличение груди, москва
липосакция, пластика живота, ринопластика, пластика носа, пластический хирург, септопластика, изменить нос, маммопластика, пластический хирург, здоровье, красота, пластика груди, увеличение груди, москва

Разворот импланта

При развороте импланта возможно попробовать вернуть его в прежнее положение снаружи. Такое возможно не со всеми имплантами и чаще, если он сместился по ошибке пациента. Также причиной может быть слишком большой карман, капсулярная контрактура. Тогда без коррекции операционным путем не обойтись.

-6

Гематома

Обычно п/о гематомы не вызывают трудностей в диагностике и последующем лечении, которое заключается в пунктировании и адекватном дренировании раны для отхождения содержимого. Однако в больнице был случаи лопнувшего в послеоперационном периоде сосуда после маммопластики. Бригада собралась и экстренно прооперировала пациентку. Сосуд оказался небольшим и все обошлось. Однако особо отмечу важность тщательного гемостаза, хирург должен особо проверять места, которые плохо видно и которые труднодоступны, а также превентивно коагулировать сосуды, если он имеет сомнения по поводу их прочности.