Добавить в корзинуПозвонить
Найти в Дзене
Онлайн-барахолка

Почему разрушаются зубы?

По всем вопросам звоните 8-495-011-05-86 Ежедневно зубы подвержены разрушительному внешнему воздействию, начиная от недостаточной утренней гигиены, до каждого приема пищи. Стоматологи подразделяют внешние факторы, которые негативно влияют на полость рта, на несколько пунктов. Причины разрушения зубов СТОМАТОЛОГИЯ ВСЕ СВОИ! ЖМИТЕ Существуют некоторые факторы, по которым происходит разрушение зубов: Механические факторы Повреждения, сопутствующие нанесенному удару в район зуба или челюсти также приводят к образованию надколов зуба, трещин эмали и т. п. К счастью, это несложно исправить в условиях современного стоматологического кабинета. Химические факторы Химические факторы, вредные и агрессивные химические вещества, которые содержатся в пище и жидкостях, более активно влияют на разрушение зубов в том случае, если эмаль ослаблена. Это может быть обусловлено генетически или же сформировано недостатком нужных элементов и веществ, употребляемых человеком вместе с едой. Термически
Оглавление

По всем вопросам звоните 8-495-011-05-86

Ежедневно зубы подвержены разрушительному внешнему воздействию, начиная от недостаточной утренней гигиены, до каждого приема пищи.

Стоматологи подразделяют внешние факторы, которые негативно влияют на полость рта, на несколько пунктов.

Причины разрушения зубов

виниры, стоматология, москва, стоматолог, отродонт, брекеты, зубы, пульпит, парадонтит,парадонтоз, лечени зубов, отбеливание зубов, протезирование зубов, импланты, штифт, пломбы, пломбирование, виниринг, здоровье, красота,косметология, красивая углыбка, улыбка, голливудская улыбка
виниры, стоматология, москва, стоматолог, отродонт, брекеты, зубы, пульпит, парадонтит,парадонтоз, лечени зубов, отбеливание зубов, протезирование зубов, импланты, штифт, пломбы, пломбирование, виниринг, здоровье, красота,косметология, красивая углыбка, улыбка, голливудская улыбка

СТОМАТОЛОГИЯ ВСЕ СВОИ! ЖМИТЕ

Существуют некоторые факторы, по которым происходит разрушение зубов:

  • механический;
  • химический;
  • термический.

Механические факторы

Повреждения, сопутствующие нанесенному удару в район зуба или челюсти также приводят к образованию надколов зуба, трещин эмали и т. п. К счастью, это несложно исправить в условиях современного стоматологического кабинета.

Химические факторы

Химические факторы, вредные и агрессивные химические вещества, которые содержатся в пище и жидкостях, более активно влияют на разрушение зубов в том случае, если эмаль ослаблена. Это может быть обусловлено генетически или же сформировано недостатком нужных элементов и веществ, употребляемых человеком вместе с едой.

Термические факторы

Именно употребление контрастной по своей температуре пищи приводит к образованию на эмали зуба трещин. В дальнейшем, эмаль уже в меньшей степени выполняет свои функции, что способствует болевым ощущениям, потемнению и кариесу.

Запись на приём Не откладывайте лечение, запишитесь на бесплатный осмотр у стоматолога в клинике «Все Свои!»

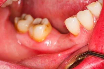
Разрушение эмали зубов

В первую очередь повреждение эмали зубов происходит из-за механических и химических факторов. Также к отсутствию эмали на зубах приводит нехватка фтора в организме. В этом случае необходимо прибегнуть к процедуре фторирования, которая поможет восстановить эмаль.

Слюноотделение играет важную роль в сохранении эмали зубов. Одно из воздействий заключается в увлажнении полости рта. Антибактериальное действие слюны губительно действует на бактерии, которые скапливаются между зубами и разрушают их.

Соответственно, правильное питание, регулярная профилактика, качественная гигиена полости рта помогают предупредить появление признаков разрушения эмали зубов.

Разрушение зубов

-2

Проблемы с эмалью могут повлечь другие сложности, связанные со здоровьем зубов. Последствием этого может стать тот факт, что зуб раскрошился или зуб треснул. Источенные зубы более хрупкие. Иногда достаточно укусить или пожевать твердую пищу — и зуб сломался.

Если зуб сгнил, возможно речь идет об инфекции, которая разрушила корни изнутри. Если зуб разрушился, а остался один корень, возможно, речь идет о развитии кариеса, который является основной причиной разрушения зубов.

Когда зуб ломается под корень, предлагают восстановительное лечение, в зависимости от состояния корня. Либо нарастить коронку, либо удалить зуб совсем и поставить имплантат.

Важно знать, что сломанный зуб нужно лечить, иначе это приведет к развитию инфекции и осложнению. Если зуб разрушился, только стоматолог сможет определить, можно ли его оставить или же нужно удалить.

Отсутствие зубов

-3

СТОМАТОЛОГИЯ ВСЕ СВОИ! ЖМИТЕ

Полное отсутствие зубов не является нормой. Если нет зубов, даже одного или двух, необходимо компенсировать их отсутствие имплантатами или протезами. Иначе оно грозит привести к сложностям с пережевыванием пищи, а значит проблемам в работе ЖКТ.

Отсутствие зубов желательно восполнять без промедлений, ведь целостность зубного ряда — признак здоровья и благополучия. По любому вопросу, связанному с протезированием, ортодонтией или импланталогией, советуем проконсультироваться у стоматологов клиники «Все свои».