Найти в Дзене
Будете здоровы!

Как избавиться от тонзиллита и ангины? Мега способ! Вы должны это знать!

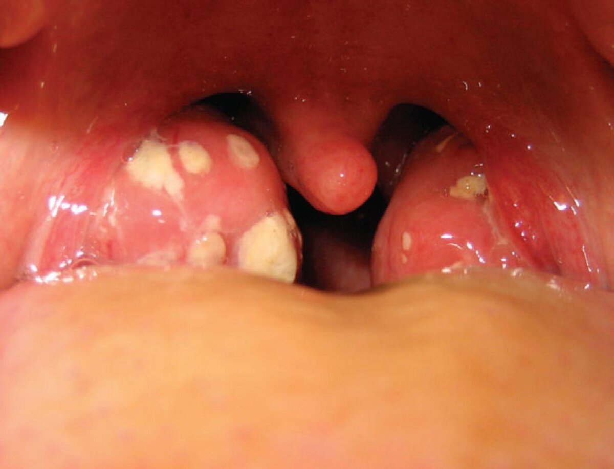
Тонзиллит — это инфекционное заболевание, поражающее одну или несколько миндалин, чаще небных, вызванное бактериальной или вирусной инфекцией. Основным симптомом тонзиллита является боль в горле. Это страшное заболевание Есть много естественных способов, которые помогут Вам вылечить это заболевание! Однако помните, что если у Вас серьезные проблемы со здоровьем или сильные боли, рекомендуем Вам обратиться за консультацией к врачу. Самолечение может быть небезопасно для Вашего здоровья. Сегодня мы предлагаем Вам одно из лучших средств! Семена тмина ценился своими целебными свойствами на протяжении тысячелетий. Это домашнее средство, как известно, лечит эту очень болезненную проблему, и может полностью излечить его всего за четыре часа! Не нужно дорогостоящих химических препаратов! Наши предки имели большой опыт с лечением различных заболеваний с помощью народной медицины.Все эти рецепты передаются из поколения в поколение, так что теперь у нас есть возможность попробовать некоторые лека

Тонзиллит — это инфекционное заболевание, поражающее одну или несколько миндалин, чаще небных, вызванное бактериальной или вирусной инфекцией. Основным симптомом тонзиллита является боль в горле. Это страшное заболевание

Есть много естественных способов, которые помогут Вам вылечить это заболевание!

Однако помните, что если у Вас серьезные проблемы со здоровьем или сильные боли, рекомендуем Вам обратиться за консультацией к врачу. Самолечение может быть небезопасно для Вашего здоровья.

Сегодня мы предлагаем Вам одно из лучших средств!

Семена тмина ценился своими целебными свойствами на протяжении тысячелетий. Это домашнее средство, как известно, лечит эту очень болезненную проблему, и может полностью излечить его всего за четыре часа!

Не нужно дорогостоящих химических препаратов!

Наши предки имели большой опыт с лечением различных заболеваний с помощью народной медицины.Все эти рецепты передаются из поколения в поколение, так что теперь у нас есть возможность попробовать некоторые лекарства.

Ингредиенты:

80г семян черного тмина

250 мл фильтрованной воды

1 ст. л. коньяка или виски

Способ приготовления:

Залить семена 200 мл воды и кипятить в течение 15 минут. Процедить смесь и добавить оставшиеся 50 мл воды, и снова доведите до кипения. Добавить 1 ст. л. коньяка.

Принимать по 1 ст. л. каждые 30 минут, через два часа вы должны начать чувствовать облегчение, а после 4, все симптомы должны исчезнуть.