Добавить в корзинуПозвонить
Найти в Дзене
Diary of Internal Medicine

Идиопатический гиперальдостеронизм

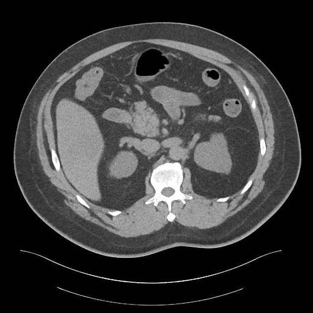
Двусторонняя идиопатическая гиперплазия надпочечников 70% случаев. Ранее считалось, что первичный гиперальдостеронизм чаще всего вызывается аденомой надпочечника, называемой синдромом Конна. Дифференциация между этими двумя важна, поскольку это определяет лечение. Надпочечниковая карцинома является чрезвычайно редкой причиной первичного гиперальдостеронизма. Клинические особенности Артериальная гипертензия Гипокалиемия (например мышечная слабость() Алкалоз Диагностика 1) Повышенный альдостерон 2) Сниженный ренин 3) КТ брюшной полости 4) Забор крови из надпочечниковых вен КТ брюшной полости Лечение 1) Двусторонняя идиопатическая гиперплазия надпочечников: антагонисты альдостерона
например спиронолактон 2) Аденома надпочечника (Синдром Конна): хирургическое лечение Источник: MRCP Up to Date

Двусторонняя идиопатическая гиперплазия надпочечников 70% случаев.

Ранее считалось, что первичный гиперальдостеронизм чаще всего вызывается аденомой надпочечника, называемой синдромом Конна.

Дифференциация между этими двумя важна, поскольку это определяет лечение.

Надпочечниковая карцинома является чрезвычайно редкой причиной первичного гиперальдостеронизма.

Клинические особенности

Артериальная гипертензия

Гипокалиемия (например мышечная слабость()

Алкалоз

Диагностика

1) Повышенный альдостерон

2) Сниженный ренин

3) КТ брюшной полости

4) Забор крови из надпочечниковых вен

КТ брюшной полости

Лечение

1) Двусторонняя идиопатическая гиперплазия надпочечников: антагонисты альдостерона
например спиронолактон

2) Аденома надпочечника (Синдром Конна): хирургическое лечение

Источник: MRCP Up to Date