Найти в Дзене
Мамик

Как отвлечь ребенка от сосания пальца?

Врожденный рефлекс младенца часто заставляет молодых родителей задаться вопросом, почему же ребенок любит пососать палец?
Это ведь первые движения младенца, ему нужно все попробовать, с помощью простых движений, он показывает родителям, что ему необходимо. Если его руки тянутся до рта, то это означает, что он хочет спать либо кушать.
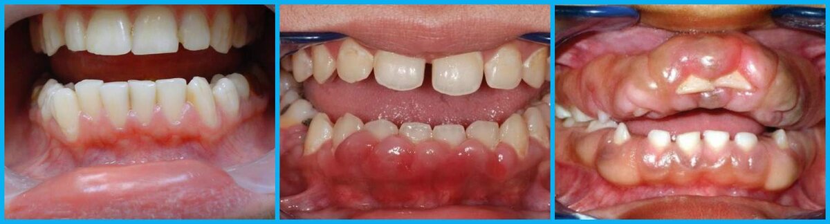
Сосание пальца не является вредной привычкой, норма если ребенок до года иногда сосет палец, он так ведет свое общение со взрослыми. Но есть малыши, которые не могут самостоятельно отвыкнуть от привычки, достигнув трех, а то и пяти летнего возраста. А это ведет к очень не приятным последствиям, в виде не правильного прикуса. Нужно отучать ребенка так, чтобы не в коем случаи не травмировать его. Запугивание, наказание точно не принесет положительных результатов, ребенок будет делать это вам назло. А как показала практика применение горчицы, соли также не приносит желаемых результатов.
За малышом нужно следить с очень раннего возраста, необходимо про

Врожденный рефлекс младенца часто заставляет молодых родителей задаться вопросом, почему же ребенок любит пососать палец?

Это ведь первые движения младенца, ему нужно все попробовать, с помощью простых движений, он показывает родителям, что ему необходимо. Если его руки тянутся до рта, то это означает, что он хочет спать либо кушать.

Сосание пальца не является вредной привычкой, норма если ребенок до года иногда сосет палец, он так ведет свое общение со взрослыми. Но есть малыши, которые не могут самостоятельно отвыкнуть от привычки, достигнув трех, а то и пяти летнего возраста. А это ведет к очень не приятным последствиям, в виде не правильного прикуса.

Нужно отучать ребенка так, чтобы не в коем случаи не травмировать его. Запугивание, наказание точно не принесет положительных результатов, ребенок будет делать это вам назло. А как показала практика применение горчицы, соли также не приносит желаемых результатов.

За малышом нужно следить с очень раннего возраста, необходимо пронаблюдать в какой ситуации, он тянет пальчики в рот, а ведь это может быть испуг или неуверенность. Нельзя говорить ему «нет», можно просто отвлечь его игрой.

Нужно объяснить ребенку, что можно делать, а что нет. Рассказать о последствиях, которые могут повлечь за собой неправильные действия. Создание в вашей семье ощущение безопасности являются составной частью в процессе его отучения. Ведь в раннем детстве, ребенок эмоционален, и все конфликты воспринимает очень тяжело. Различные игры, чтение сказок, колыбельная на ночь помогут вам от избавления привычки вашего ребенка.

Приучать ребенка к общению с раннего детства, просто необходимо. Он должен научиться общаться и дружить с другими малышами, находить общий язык с ними. Когда дети играют вместе, им все интереснее в вдвойне, и времени на то чтобы сосать палец, у них просто не будет.

-2

Ставьте лайк

подписывайтесь на канал