Найти в Дзене
HEALTH&SRENGTH

ОБЯЗАТЕЛЬНО К ПРОЧТЕНИЮ. ГЛАВНЫЕ СИМПТОМЫ РАКА МОЗГА

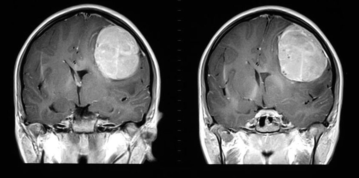
Рак головного мозга - серьезное заболевание, связанное с разрастанием злокачественной опухоли в головном мозге. Этот вид онкологии представляет огромную опасность по крайне мере тем, что длительный период имеет бессимптомный характер. Сама опухоль может образовываться из различных структур головного мозга. К ним относится как сама мозговая ткань - серое вещество, так и оболочки мозга, черепные нервы и их отростки, железистые образования, находящиеся в ЦНС. По статистике, из всех онкобольных, каждый 50-ый имеет рак мозга. Эффективность лечения во многом зависит от своевременности постановки диагноза. Для этого необходимо знать основные симптомы, сопровождающие болезнь. К наиболее важным и характерным симптомам рака головного мозга относятся: 1) Постоянные головные боли, связанные с разрастанием опухоли и ее давлением на прилежащие ткани. 2)Частые тошнота и рвота. Основной причиной этого становится поражение так называемого пищевого центра, находящегося в ЦНС. 3) Появление головокружени

Рак головного мозга - серьезное заболевание, связанное с разрастанием злокачественной опухоли в головном мозге. Этот вид онкологии представляет огромную опасность по крайне мере тем, что длительный период имеет бессимптомный характер. Сама опухоль может образовываться из различных структур головного мозга. К ним относится как сама мозговая ткань - серое вещество, так и оболочки мозга, черепные нервы и их отростки, железистые образования, находящиеся в ЦНС. По статистике, из всех онкобольных, каждый 50-ый имеет рак мозга. Эффективность лечения во многом зависит от своевременности постановки диагноза. Для этого необходимо знать основные симптомы, сопровождающие болезнь.

-2

К наиболее важным и характерным симптомам рака головного мозга относятся:

1) Постоянные головные боли, связанные с разрастанием опухоли и ее давлением на прилежащие ткани.

-3

2)Частые тошнота и рвота. Основной причиной этого становится поражение так называемого пищевого центра, находящегося в ЦНС.

-4

3) Появление головокружений и разного рода нарушений вестибулярного аппарата. К ним также можно отнести и "пьяную походку".

-5

4) Из-за поражений моторных зон коры больших полушарий могут нарушаться двигательные процессы, вплоть до "отключения" отдельных участков тела.

5) Нарушения высшей нервной деятельности: ухудшение внимания, познавательных процессов, памяти как долговременной, так и кратковременной, отсутствие инициативы.

-6

6) Повреждения в речевых центрах и центрах слуха приводят к тому, что человек теряет способность говорить и понимать речь других людей.

При появлении первых признаков, немедленно обращайтесь к врачу-специалисту.

Спасибо за внимание! Не болейте!