Добавить в корзинуПозвонить
Найти в Дзене
Есть только Миг!

Чем пародонтоз опаснее пародонтита

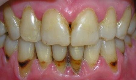
Пародонтит – воспалительное заболевание тканей пародонта. Согласно статистике ВОЗ, пародонтит встречается у 95% взрослого населения. Пародонтоз – это не воспаление, а системное поражение околозубной ткани (пародонта), проявляющееся атрофией альвеолярных отростков (зубных ячеек). Пародонтоз встречается у 5-10% населения Земли и сопровождается нередко сахарным диабетом, атеросклерозом, гиповитаминозом, снижением иммунитета, желудочно-кишечными заболеваниями и заболеваниями органов внутренней секреции. Если у Вас неприятный запах изо рта, кровоточивость десен при чистке зубов, отмечается подвижность зубов, то, скорее всего, у вас пародонтит. При повышенной чувствительности зубов от холодного, кислого; при изменении положения зубов, чаще ставят диагноз пародонтоз. Не стоит забывать, что пародонтоз – достаточно опасное заболевание для женщин. В университете Буффало изучили возможную связь между пародонтозом и раком молочной железы. Подробнее - на сайте

Пародонтит – воспалительное заболевание тканей пародонта. Согласно статистике ВОЗ, пародонтит встречается у 95% взрослого населения.

Пародонтоз – это не воспаление, а системное поражение околозубной ткани (пародонта), проявляющееся атрофией альвеолярных отростков (зубных ячеек).

Пародонтоз встречается у 5-10% населения Земли и сопровождается нередко сахарным диабетом, атеросклерозом, гиповитаминозом, снижением иммунитета, желудочно-кишечными заболеваниями и заболеваниями органов внутренней секреции.

Если у Вас неприятный запах изо рта, кровоточивость десен при чистке зубов, отмечается подвижность зубов, то, скорее всего, у вас пародонтит.

-2

При повышенной чувствительности зубов от холодного, кислого; при изменении положения зубов, чаще ставят диагноз пародонтоз.

Не стоит забывать, что пародонтоз – достаточно опасное заболевание для женщин. В университете Буффало изучили возможную связь между пародонтозом и раком молочной железы.

-3

Подробнее - на сайте