Найти в Дзене
Немного хирургии

Немного хирургии

Показываю небольшие хирургические преображения
подборка · 1 материал
148 читали · 6 месяцев назад
Иссекать нельзя оставить
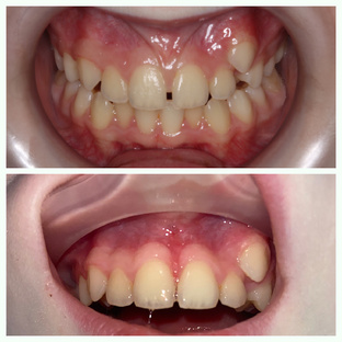
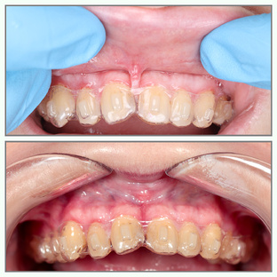
Пластика уздечек губ и языка: маленькая операция с большим эффектом В стоматологии есть процедуры, которые занимают всего несколько минут, но их значение для здоровья полости рта, речи и улыбки — колоссально. Одна из таких — пластика уздечки губ или языка. Сегодня я расскажу, почему это важно не только для детей, но и для взрослых, каковы показания к операции, чего ожидать после, и покажу реальные клинические примеры из моей практики. Что такое уздечка и зачем она нужна Уздечка — это маленькая,...