Добавить в корзинуПозвонить
Найти в Дзене

Зачем нужно КТ зубов?

Сегодня еще один наглядный кейс врача стоматолога-терапевта, эндодонтиста, Лианы Самвеловна Гегамян, указывающий на необходимость проведения КЛКТ исследования. Молодая девушка обратилась с жалобами на застревание нитки в межзубных промежутках и кратковременные болевые ощущения от сладкого. При осмотре на приеме выявить кариес не удалось, поскольку полости были скрытые, не видимые глазом. При изучении КТ снимка были выявлены кариозные поражения на контактных поверхностях 2.4 и 2.5 зубов. Жизнеспособность пульпы сохранена. Диагноз: кариес дентина. В процессе лечения выполнено вскрытие полостей, механическо-химическая обработка, восстановление контактных пунктов. После, произведена художественная реставрация. Время лечения: полтора часа. Стоимость лечения двух зубов за одно посещение: 14.600 рублей. 📍MAGIC DENT 354000 Краснодарский край, г. Сочи 8-804-700-15-15 (звонок бесплатный) -ул. Юных Ленинцев, д. 10, 2 этаж 📞тел. +7-918-165-15-15 magicdent.sochi@mail.ru -ул. Пластунская, д. 1
Лечение крытого кариеса зубов 2.4,2.5, который не виден человеческим взгядом
Лечение крытого кариеса зубов 2.4,2.5, который не виден человеческим взгядом

  • Зачем проходить компьютерную диагностику, врач же и так увидит кариес!
Лиана Самвеловна Гегамян - врач стоматолог-терапевт, эндодонтист
Лиана Самвеловна Гегамян - врач стоматолог-терапевт, эндодонтист

Сегодня еще один наглядный кейс врача стоматолога-терапевта, эндодонтиста, Лианы Самвеловна Гегамян, указывающий на необходимость проведения КЛКТ исследования.

-3

Молодая девушка обратилась с жалобами на застревание нитки в межзубных промежутках и кратковременные болевые ощущения от сладкого. При осмотре на приеме выявить кариес не удалось, поскольку полости были скрытые, не видимые глазом.

-4

При изучении КТ снимка были выявлены кариозные поражения на контактных поверхностях 2.4 и 2.5 зубов. Жизнеспособность пульпы сохранена. Диагноз: кариес дентина. В процессе лечения выполнено вскрытие полостей, механическо-химическая обработка, восстановление контактных пунктов.

После, произведена художественная реставрация. Время лечения: полтора часа. Стоимость лечения двух зубов за одно посещение: 14.600 рублей.

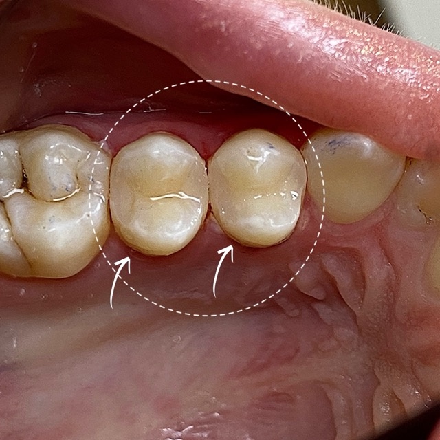
Художественная реставрация зубов 24,25
Художественная реставрация зубов 24,25
Клиника MAGIC DENT
Клиника MAGIC DENT
Врачи сети клиник MAGIC DENT
Врачи сети клиник MAGIC DENT

📍MAGIC DENT

354000 Краснодарский край, г. Сочи

8-804-700-15-15 (звонок бесплатный)

-ул. Юных Ленинцев, д. 10, 2 этаж

📞тел. +7-918-165-15-15

magicdent.sochi@mail.ru

-ул. Пластунская, д. 123А, корп.2, ЖК «123»

📞тел. +7-988-165-15-15

magicdent123@mail.ru

https://mdsochi.ru