Найти в Дзене
Сыны Отечества

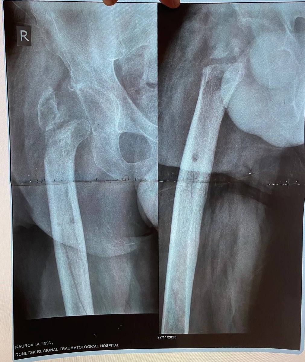
Луганские врачи избавили бойца СВО от хромоты

Недавно в Луганской республиканской клинической больнице провели уникальную операцию. Бойцу с тяжелейшим ранением бедра восстановили длину ноги и вернули возможность нормально ходить. Врачи работали в рубцовой ткани после множества операций, убрали очаги инфекции и с помощью специальных конструкций буквально заново собрали сустав. ————— Поддержите канал Подпиской на "Сыны Отечества" или Голосом за канал ✅ подписаться |⚡️проголосовать 📲Наш проект в социальных сетях: Вконтакте, Одноклассники, Дзен, RuTube Теперь мы и в МАХ!

Луганские врачи избавили бойца СВО от хромоты

Недавно в Луганской республиканской клинической больнице провели уникальную операцию. Бойцу с тяжелейшим ранением бедра восстановили длину ноги и вернули возможность нормально ходить.

Врачи работали в рубцовой ткани после множества операций, убрали очаги инфекции и с помощью специальных конструкций буквально заново собрали сустав.

—————

Поддержите канал Подпиской на "Сыны Отечества" или Голосом за канал

подписаться |⚡️проголосовать

📲Наш проект в социальных сетях:

Вконтакте, Одноклассники, Дзен, RuTube

Теперь мы и в МАХ!