Найти в Дзене

Нужно ли лечить молочные зубы: разбираемся честно и без мифов

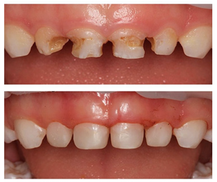
Вопрос о том, лечить ли молочные зубы, волнует почти всех родителей.
Одни уверены, что «они всё равно выпадут», другие переживают, что любые проблемы в детстве отразятся на постоянных зубах. Истина - где-то посередине, но гораздо ближе ко второму варианту. Молочные зубы - это не временная формальность, а полноценный этап развития челюсти. Они: Если молочный зуб разрушается или удаляется раньше времени - вся «система» нарушается. Малыши не всегда умеют объяснить, что их что-то беспокоит. Они могут: Поэтому единственная защита - внимание родителей. Если вы замечаете: нужно обратиться к детскому стоматологу. Даже маленькое пятнышко может быстро превратиться в кариес, который у детей развивается стремительнее, чем у взрослых. Родители часто считают раннюю потерю зуба «мелочью», но последствия могут быть серьёзными: То, что было маленькой проблемой в 4–5 лет, превращается в необходимость брекетов в подростковом возрасте. Чтобы сохранить место для постоянного зуба, применяют детские временн
Оглавление

Вопрос о том, лечить ли молочные зубы, волнует почти всех родителей.
Одни уверены, что «они всё равно выпадут», другие переживают, что любые проблемы в детстве отразятся на постоянных зубах. Истина - где-то посередине, но гораздо ближе ко второму варианту.

Почему молочные зубы важнее, чем кажется

-2

Молочные зубы - это не временная формальность, а полноценный этап развития челюсти.

Они:

  • участвуют в формировании правильного прикуса,
  • влияют на речь,
  • помогают ребёнку нормально пережёвывать пищу,
  • удерживают место для постоянных зубов,
  • формируют пропорции лица.

Если молочный зуб разрушается или удаляется раньше времени - вся «система» нарушается.

Почему дети часто не жалуются на боль

Малыши не всегда умеют объяснить, что их что-то беспокоит.

Они могут:

  • не замечать начальный кариес,
  • игнорировать чувствительность,
  • не связывать неприятные ощущения с зубом.

Поэтому единственная защита - внимание родителей.

Когда молочные зубы точно нужно лечить

Если вы замечаете:

  • тёмные точки или полоски на эмали,
  • матовые участки,
  • сколы,
  • неприятный запах,
  • ребёнок избегает укусывания твёрдой пищи -

нужно обратиться к детскому стоматологу.

Даже маленькое пятнышко может быстро превратиться в кариес, который у детей развивается стремительнее, чем у взрослых.

Что будет, если молочный зуб выпадет слишком рано

Родители часто считают раннюю потерю зуба «мелочью», но последствия могут быть серьёзными:

  • соседние зубы «съезжают» на свободное место;
  • нарушается смыкание челюстей;
  • формируется неправильный прикус;
  • меняется форма улыбки и контур лица;
  • впоследствии может потребоваться длительное ортодонтическое лечение.

То, что было маленькой проблемой в 4–5 лет, превращается в необходимость брекетов в подростковом возрасте.

Если зуб всё-таки потерян раньше срока

-3

Чтобы сохранить место для постоянного зуба, применяют детские временные протезы или хранители места.

Это лёгкие пластинчатые конструкции, которые:

  • не мешают речи,
  • не влияют на питание,
  • удерживают место на челюсти,
  • предотвращают смещение зубов.

Обычно их ставят с 3 лет - раньше ребёнку будет сложно адаптироваться.

Как сформировать привычку ухаживать за зубами с детства

  • чистить зубы вместе, превращая это в игру,
  • выбирать яркую зубную щётку и ароматную пасту,
  • использовать песенки, стишки, таймеры,
  • показывать личный пример,
  • регулярно ходить к детскому стоматологу.

Дети, которые привыкли заботиться о зубах с раннего возраста, гораздо реже сталкиваются с кариесом и растут более уверенными в себе.

Скоробогач Надежда Федоровна, стоматолог-терапевт: "Молочные зубы - это фундамент будущей улыбки. Если вовремя замечать изменения и лечить даже небольшие проблемы, можно избежать серьёзных нарушений прикуса. Наша задача - сохранить здоровье ребёнка, а лечение сделать максимально комфортным и спокойным."

32 Белых” - стоматология, где вас ждет понятный предсказуемый результат, уверенность в завтрашнем дне и врачи, которых полюбите вы и ваши детки.

Запишитесь на консультацию по ссылке: 32белых.рф