Найти в Дзене

Лечение перекрестного прикуса: повернутый вбок клык, сместившаяся челюсть, наклоненные вправо резцы

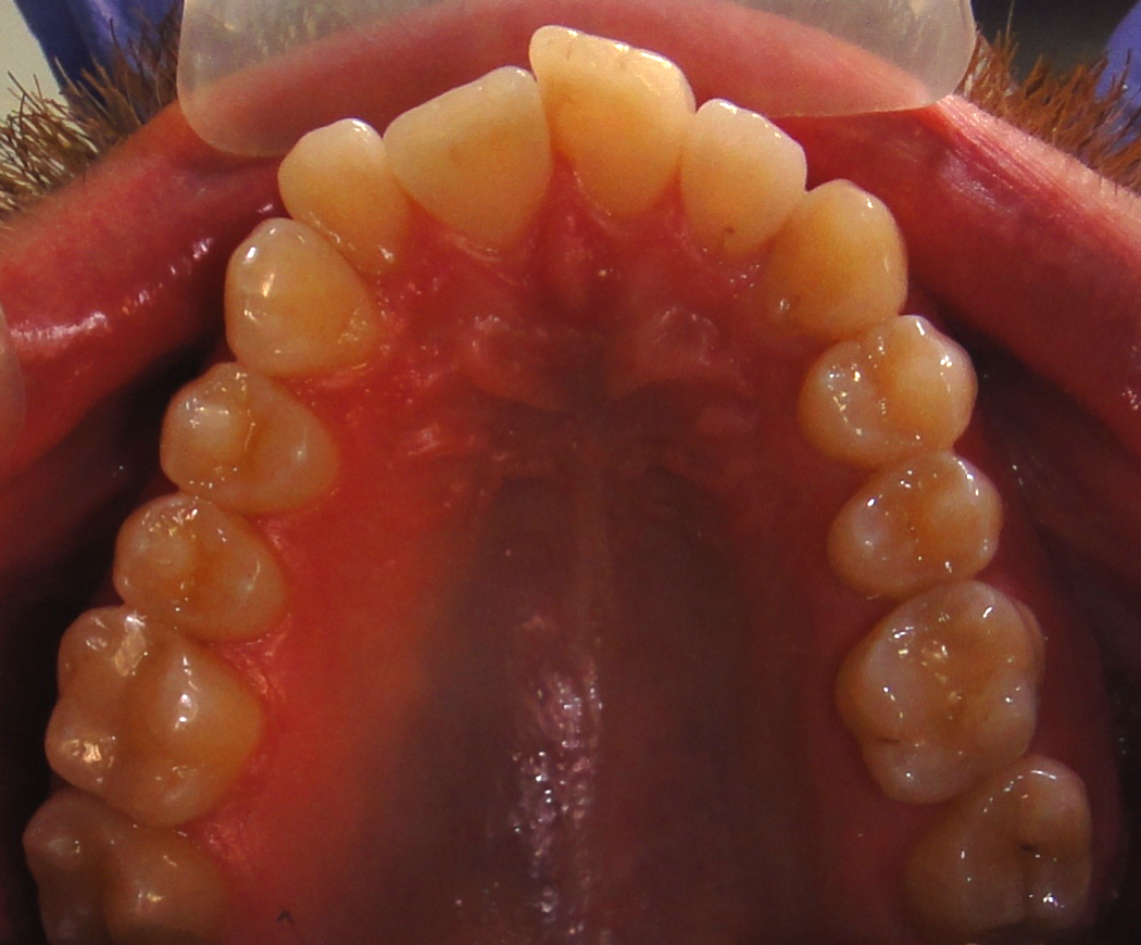
Пациент обратился к ортодонтам с жалобой на выступающий клык, смещение центральных линий, скученность и неудобство жевания. Давайте посмотрим, как обстоят дела на первый взгляд.
Итог - у пациента стираемость зубов, перекрестный прикус, который смещает нижнюю челюсть, скученность зубов, сужение зубных рядов. На верхней челюсти мы видим смещение боковых зубов вперед (на фото правая сторона). У этого пациента так произошло по причине раннего удаления молочных зубов, что привело к тому, не поместился клык, 25 зуб прорезался в повернутом положении, а центральный и боковой резцы ушли в сторону. На фото можно увидеть, что зубы правой и левой сторон не симметричны друг другу - правая сторона более скучена, зубы прижаты друг к другу, уходят вперед, так как с этой стороны выраженный дефицит места.
На фото сильно видна повышенная стираемость нижних резцов, стираемость верхних резцов неравномерна по причине того, что зубы расположены скученно. Соответственно, стираемость будет прогресси

Пациент обратился к ортодонтам с жалобой на выступающий клык, смещение центральных линий, скученность и неудобство жевания.

Давайте посмотрим, как обстоят дела на первый взгляд.

Итог - у пациента стираемость зубов, перекрестный прикус, который смещает нижнюю челюсть, скученность зубов, сужение зубных рядов.

верхняя челюсть
верхняя челюсть

На верхней челюсти мы видим смещение боковых зубов вперед (на фото правая сторона). У этого пациента так произошло по причине раннего удаления молочных зубов, что привело к тому, не поместился клык, 25 зуб прорезался в повернутом положении, а центральный и боковой резцы ушли в сторону.

На фото можно увидеть, что зубы правой и левой сторон не симметричны друг другу - правая сторона более скучена, зубы прижаты друг к другу, уходят вперед, так как с этой стороны выраженный дефицит места.

-3



На фото сильно видна повышенная стираемость нижних резцов, стираемость верхних резцов неравномерна по причине того, что зубы расположены скученно. Соответственно, стираемость будет прогрессировать, если вовремя не начать лечение. Наш пациент молодой, но в более взрослом возрасте подобные проблемы приобретают очень выраженные формы, стираемость может доходить вплоть до внутренних слоев зуба - дентина, прогрессировать, вызывать болевые ощущения, чувствительность зубов на раздражители, температуры и так далее.
Так же стираемость становится видна визуально, так как зубы начинают уменьшаться в размере и деформироваться.

Кроме того, верхние зубы перекрывают низ больше, чем нужно, не совпадают центральные линии челюстей, перекрестный прикус в области в области верхнего второго резца и нижнего клыка справа (22 и 23 зубы).

Этот контакт вызывает смещение нижней челюсти, что в дальнейшем может быть причиной дисфункции ВНЧС, то есть заболевания сустава, которое характеризуется болезненностью, щелчками, хрустом, ограничением подвижности (открывания рта).

Вот такой результат мы получили в итоге:

-4

Дефицит места мы устраняли тем, что отодвигали все зубы назад, и маляры и премоляры, и за счет этого в дуге поместился и клык и все резцы. Мы сделали симметричную форму челюсти, добыли место для всех зубов.

Во время лечения ортодонты скорректировали глубину прикуса – контакт верхних и нижних зубов, убрали скученность, патологический контакт в области 22-33 зубов, предотвратили развитие дисфункции ВНЧС. Наладили эстетику, совпадают центральные линии, устранили смещение нижней челюсти.

-5