Добавить в корзинуПозвонить
Найти в Дзене
ДентАРИЗ

Вы курите? Эта статья может сохранить ваши зубы

Мы привыкли думать, что зубам вредят сладости и сухарики. Но главный враг — не сахар. Это никотин и табачный смолы. Табачный дым атакует полость рта комплексно и гораздо агрессивнее других факторов. И, что самое коварное, — часто без боли и видимых симптомов. Снаружи зубы могут выглядеть нормально, а внутри уже развиваться пародонтит, пришеечный кариес и массивные зубные отложения, под которыми незаметно разрушаются ткани. Если пустить всё на самотёк, это может привести к расшатыванию, а в тяжелых случаях — к потере зубов. Но есть и хорошая новость: даже после 10–20 лет курения зубы и десны можно вернуть к здоровому состоянию — если действовать грамотно и последовательно. Если вы курите уже не первый год, наверняка замечали: эмаль темнеет, дыхание меняется, десны становятся чувствительнее. Это не просто косметика — это системные проблемы: 1. Никотин сужает сосуды. Десны получают меньше кислорода и питательных веществ, их защитные силы снижаются. Из-за этого гингивит (воспаление десен)
Оглавление

Мы привыкли думать, что зубам вредят сладости и сухарики. Но главный враг — не сахар. Это никотин и табачный смолы.

Табачный дым атакует полость рта комплексно и гораздо агрессивнее других факторов. И, что самое коварное, — часто без боли и видимых симптомов.

Снаружи зубы могут выглядеть нормально, а внутри уже развиваться пародонтит, пришеечный кариес и массивные зубные отложения, под которыми незаметно разрушаются ткани.

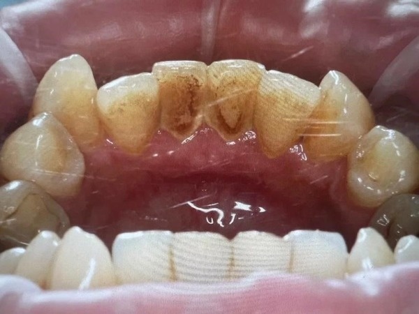
“Никотиновые” зубы: налет и зубной камень на внутренней стороне нижних зубов. При этом внешняя сторона пока что выглядит неплохо.
“Никотиновые” зубы: налет и зубной камень на внутренней стороне нижних зубов. При этом внешняя сторона пока что выглядит неплохо.

Если пустить всё на самотёк, это может привести к расшатыванию, а в тяжелых случаях — к потере зубов. Но есть и хорошая новость: даже после 10–20 лет курения зубы и десны можно вернуть к здоровому состоянию — если действовать грамотно и последовательно.

Курение и зубы: что происходит на самом деле, и как мы это исправляем

Если вы курите уже не первый год, наверняка замечали: эмаль темнеет, дыхание меняется, десны становятся чувствительнее. Это не просто косметика — это системные проблемы:

1. Никотин сужает сосуды.

Десны получают меньше кислорода и питательных веществ, их защитные силы снижаются. Из-за этого гингивит (воспаление десен) и пародонтит развиваются незаметно и без боли.

В «ДентАРИЗ» мы начинаем с глубокой диагностики: осматриваем пародонтальные карманы, делаем панорамный снимок или 3D-КТ. Это позволяет оценить уровень костной ткани и увидеть скрытые проблемы на ранней стадии, когда лечение наиболее эффективно.

2. Табачные смолы образуют плотную пленку на эмали.

Она быстро минерализуется, превращаясь в твердый зубной камень; пигмент проникает в микротрещины, вызывая стойкое пожелтение.

Мы удаляем камень ультразвуком и очищаем поддесневые области — главные очаги бактерий. При необходимости проводим чистку AirFlow — это технология очистки струей воздуха, воды и мелкодисперсного порошка. Она деликатно снимает въевшийся табачный налет, возвращая зубам естественную белизну и ощущение свежести.

-2

3. Дым снижает выработку слюны.

Слюна — натуральный защитник, она смывает налет и нейтрализует кислоты. При ее дефиците риск кариеса и болезней десен увеличивается в разы.

После профгигиены мы проводим реминерализующую терапию: покрываем зубы составом с кальцием и фтором, который укрепляет эмаль и компенсирует недостаток естественной защиты.

Когда эстетика становится возможной

Только после того, как здоровье десен восстановлено, мы переходим к красоте: отбеливание (строго после лечения), реставрация или виниры, в зависимости от ситуации и ваших пожеланий.

Почему курильщикам нужен особый подход?

Важно: не все, что рекламируют, будет безопасно и эффективно для вас.

Агрессивное отбеливание при воспаленных деснах сожжет ткани. Частые чистки без лечения пародонтита — это борьба с симптомами, а не с причиной.

В «ДентАРИЗ» врач составит персональный план только с теми процедурами, которые реально улучшат вашу ситуацию — без навязывания и лишних трат.

Как часто приходить?

Курящим нужна более частая профилактика. Мы рекомендуем визиты каждые 4–6 месяцев (вместо стандартных 6–12). Это позволяет держать риски под контролем и вовремя вносить коррективы в лечение.

Важно! Даже один визит в «ДентАРИЗ» меняет многое: ваши зубы становятся светлее, десны здоровее, а улыбка — увереннее.

Пора действовать, не дожидаясь боли

Курение маскирует проблему: ничего не болит, и визит к стоматологу кажется лишним.

Многие говорят: «Я знаю, что у меня там всё плохо, но стесняюсь».

Мы понимаем это и не читаем нотаций. Наша задача помочь. Чем раньше вы придете, тем проще, быстрее и дешевле будет лечение.

Сделайте первый шаг к здоровым зубам

Если вы заметили потемнение эмали, стойкий налет, неприятный запах или кровоточивость десен — не ждите обострения.

Запишитесь на консультацию и диагностику в «ДентАРИЗ». Врач проведет осмотр, объяснит план лечения, сроки и стоимость.

Это один визит, который спасет ваши зубы на долгие годы.

Наши контакты:

г. Казань, ул. Серова, 48, телефон: +7 (977)089-03-58

г. Казань, Чистопольская, д. 61Д, телефон: +7 (977)089-03-58

г. Ульяновск, ул. Камышинская, 54, телефон: 8 (8422) 37-05-28

г. Ульяновск, ул. Ефремова, 92, телефон: 8 (8422) 64-35-35

Напишите нам в личные сообщения для записи: https://vk.me/stomatologia_kazan_ru