Добавить в корзинуПозвонить
Найти в Дзене
Dr.Tirik

Все свои зубы в 85 — и три сердца, идущие навстречу лечению💖

Она появилась в дверях тихо, почти неслышно, будто боялась потревожить привычный ритм моего кабинета. Ей было восемьдесят пять, и в той осторожной походке чувствовались годы, опыт и какая-то удивительная мягкость. Рядом стояла ее дочь-уверенная, внимательная, с легкой тревогой в глазах. А уже позже я узнала, что за дверью клиники в машине их ждала третья участница-хаски, верная сторожиха, сопровождающая их в каждую поездку. Первый визит был больше похож на знакомство с будущей историей. Мы сделали 3D-снимок, поговорили о планах лечения, о том, что беспокоит. Дочь рассказала, что у мамы болят зубы справа снизу-еда там застревает так, что иногда пожилая женщина просто избегает жевать этой стороной. Я видела, как она старается держаться, не жаловаться, но боль выдает себя даже в молчании. Дочь читала мой блог и уже знала, что без гигиены не обойтись. Она сказала это легко, будто между прочим, но я почувствовала: она очень хочет помочь своей маме- и сделать это правильно. Так началась

Она появилась в дверях тихо, почти неслышно, будто боялась потревожить привычный ритм моего кабинета. Ей было восемьдесят пять, и в той осторожной походке чувствовались годы, опыт и какая-то удивительная мягкость. Рядом стояла ее дочь-уверенная, внимательная, с легкой тревогой в глазах. А уже позже я узнала, что за дверью клиники в машине их ждала третья участница-хаски, верная сторожиха, сопровождающая их в каждую поездку.

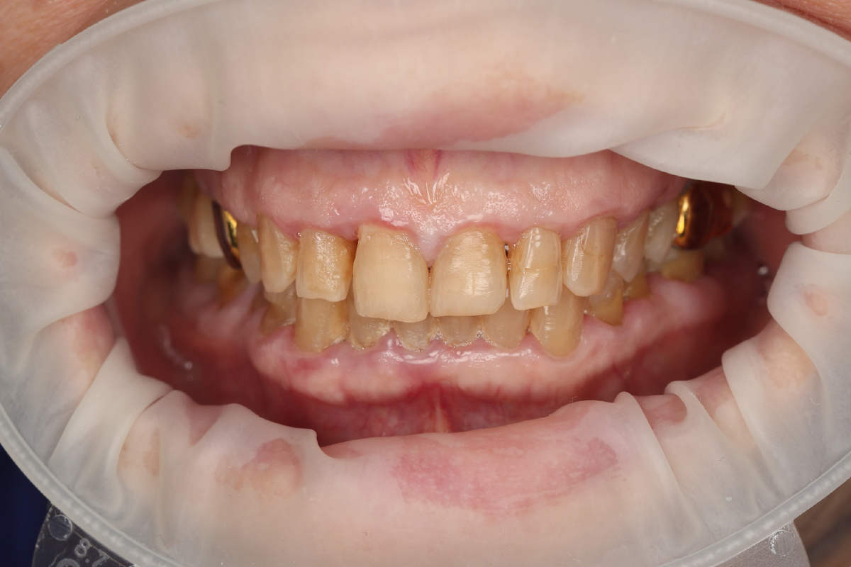
Первый визит и улыбка «ДО»
Первый визит и улыбка «ДО»

Первый визит был больше похож на знакомство с будущей историей. Мы сделали 3D-снимок, поговорили о планах лечения, о том, что беспокоит. Дочь рассказала, что у мамы болят зубы справа снизу-еда там застревает так, что иногда пожилая женщина просто избегает жевать этой стороной.

Я видела, как она старается держаться, не жаловаться, но боль выдает себя даже в молчании.

Дочь читала мой блог и уже знала, что без гигиены не обойтись. Она сказала это легко, будто между прочим, но я почувствовала: она очень хочет помочь своей маме- и сделать это правильно.

Внутриротовые фото «ДО»
Внутриротовые фото «ДО»

-3

Так началась наша история. Каждый визит-час в пути из-за города. Всегда втроем.

Кариесы и хронический пульпит
Кариесы и хронический пульпит

Дочь доводила маму до кресла, слушала сколько займет лечение, а потом уходила-то к собаке, то по делам. Иногда закончив работу, я выходила в холл и не находила ее. Тогда мы вместе с администратором звонили, она появлялась сразу, будто стояла за дверью просто на секунду отвклёкшись.

С каждым днем доверие между нами становилось ощутимее. Оно росло не громко, но уверенно- в том, как пациентка расслаблялась в кресле, как дочь спрашивала все меньше, потому что знала, все будет сделано бережно.

Один зуб казался уже обреченным, разрушен, словно уставший от долгой жизни. Я сказала, что постараюсь сохранить. И мы сохранили. После лечения пациентка перестала жаловаться на боль, еда больше не застревала, и она впервые за долгое время сказала:

«Теперь я могу есть нормально»

Дефект 4.6 зуба ближе к 4.7 зубу очень глубокий, сначала принялась за восстановление стенки, от нее зависел дальнейший прогноз
Дефект 4.6 зуба ближе к 4.7 зубу очень глубокий, сначала принялась за восстановление стенки, от нее зависел дальнейший прогноз

Добились хорошего прилегания пломбы, закрыли временной пломбой на жевательной поверхности, в следующий визит запломбировали
Добились хорошего прилегания пломбы, закрыли временной пломбой на жевательной поверхности, в следующий визит запломбировали

Гигиена заняла три визита. Было непросто: ультразвук, вода, обильные камни под десной- всё требовало времени, и терпения.

Сначала мы осилили нижнюю челюсть
Сначала мы осилили нижнюю челюсть

Следующая на очереди была верхняя челюсть, результат радовал глаз еще несколько дней, а фото служило мне напоминанием
Следующая на очереди была верхняя челюсть, результат радовал глаз еще несколько дней, а фото служило мне напоминанием

-9

Мы делили процедуры на этапы, чтобы пациентке было легче.

Один визит стал для меня неожиданным подарком.

Они вошли в кабинет с пакетом. «Это вам»- сказала дочь немного смущённо. Внутри лежали огурцы- зеленые, упругие, снятые накануне заморозков, прямо со своего огорода. На обеде я ела из с удовольствием- они хрустели так громко, будто напоминали, что забота может проявляться в самых простых вещах.

Те самые огурчики🥒
Те самые огурчики🥒

Но больше всего я запомнила тот день, когда выводя маму в холл, увидела через стекло их хаски. Она стояла у дверей, огромная, пушистая, смотрела глазами-голубым и янтарным.

«Не выдержала ожидания»,- засмеялась дочь.

И мы смеялись вместе, потому в этой сцене, было всё: верность, трогательная преданность и что-то удивительно человеческое.

В последний визит они пришли с цветами. Об этом я, кстати, рассказывала в своем телеграм канале

Сказали, что хотели поблагодарить.

Мы обсудили рекомендации, попрощались на 6 месяцев, и я снова почувствовала ту же тёплую волну доверия, что и в первый день, только теперь она была глубже.

Пациентка смущенно улыбалась, но улыбку я все-таки запечатлеть успела
Пациентка смущенно улыбалась, но улыбку я все-таки запечатлеть успела

Я смотрела как они уходят: мама, опираясь на дочь, дочь- поддерживая маму, и их хаски впереди, уверенно ведущая семью к машине.

И вдруг поняла: иногда стоматология-это не только про лечение.

Это про путь, который люди проходят вместе.

Про заботу, которая передается от сердца к сердцу.

И про маленькие моменты, хруст огурцов, букет в руках, разноцветные собачьи глаза у стеклянной двери-которые навсегда останутся в памяти.

С уважением, Тирик Елизавета Дмитриевна, врач-стоматолог клиники «Parodent».