Найти в Дзене
Probela.net

Имплант или мост: что выбрать при отсутствии зуба

Когда зуб потерян, встаёт главный вопрос, что нужно поставить — имплант или мост? В статье разбираем плюсы и минусы обоих вариантов — стоимость, сроки лечения, влияние на соседние зубы и эстетику улыбки. Отсутствие даже одного зуба — не только эстетическая проблема. Поэтому стоматологи советуют не откладывать восстановление. Имплант — это титановый «корень», который устанавливается в челюстную кость и служит основой для коронки. Плюсы имплантации: Минусы: Мост — это конструкция из нескольких коронок, которые фиксируются на соседние зубы. Плюсы моста: Минусы: Важно понимать: окончательное решение всегда принимает врач после диагностики. Нельзя ставить диагноз самому — на выбор влияет состояние костной ткани, соседних зубов, дёсен и даже общий уровень здоровья. Но есть общие ориентиры, которыми стоматологи руководствуются при выборе метода: Мост обычно обходится дешевле, чем имплант, но у него короче срок службы — через несколько лет конструкцию придётся менять. Имплантация кажется д
Оглавление

Когда зуб потерян, встаёт главный вопрос, что нужно поставить — имплант или мост? В статье разбираем плюсы и минусы обоих вариантов — стоимость, сроки лечения, влияние на соседние зубы и эстетику улыбки.

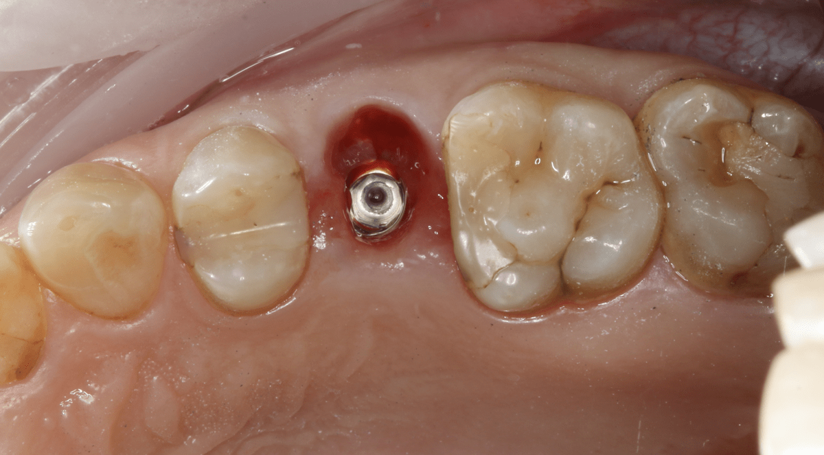
изготовление и установка имплантов в стоматологии Пробел Москва
изготовление и установка имплантов в стоматологии Пробел Москва

Почему важно восстановить зуб вовремя

Отсутствие даже одного зуба — не только эстетическая проблема.

  • Нарушается жевание.
  • Соседние зубы смещаются и быстрее разрушаются.
  • Меняется прикус и нагрузка на суставы.
  • С возрастом это приводит к костной атрофии.

Поэтому стоматологи советуют не откладывать восстановление.

лечение зубов в стоматологической клинике Пробел
лечение зубов в стоматологической клинике Пробел

Имплантация зубов: современные возможности

Имплант — это титановый «корень», который устанавливается в челюстную кость и служит основой для коронки.

Плюсы имплантации:

  • Не трогаются соседние зубы.
  • Долгий срок службы (15+ лет при правильном уходе).
  • Ощущается как свой зуб.
  • Предотвращает атрофию кости.

Минусы:

  • Более высокая стоимость (имплантация зубов цена выше, чем мост).
  • Требует времени: от 3–4 месяцев до полной установки.
  • Иногда нужна костная пластика.

Мостовидный протез: классический проверенный метод

Мост — это конструкция из нескольких коронок, которые фиксируются на соседние зубы.

Плюсы моста:

  • Быстрый результат: коронка ставится за 1–2 недели.
  • Цена ниже, чем у имплантации.
  • Эстетика — современные циркониевые коронки выглядят очень естественно.

Минусы:

  • Соседние зубы нужно обточить, даже если они здоровые.
  • Срок службы 7–10 лет, потом может понадобиться замена.
  • Кость под отсутствующим зубом постепенно атрофируется.

Лечение и реставрация зубов в стоматологической клинике Пробел
Лечение и реставрация зубов в стоматологической клинике Пробел

Сравнение: что выбрать именно вам

Важно понимать: окончательное решение всегда принимает врач после диагностики. Нельзя ставить диагноз самому — на выбор влияет состояние костной ткани, соседних зубов, дёсен и даже общий уровень здоровья.

Но есть общие ориентиры, которыми стоматологи руководствуются при выборе метода:

  • Если у вас здоровые соседние зубы — имплантация предпочтительнее, потому что не требует их обточки.
  • Если рядом стоят большие пломбы или коронки — мост может быть логичным решением, так как зубы всё равно нуждаются в укреплении.
  • Если нужен быстрый и бюджетный вариант — чаще выбирают мостовидный протез.
  • Если важен долгосрочный результат и сохранение зубов — имплантация даёт более прогнозируемый исход.

А как поступают в сложных случаях?

  • Если отсутствует несколько зубов подряд, один мост уже не всегда надёжен. В таких ситуациях врачи часто рекомендуют установить импланты, на которых фиксируется протез — так конструкция служит дольше и равномерно распределяет нагрузку.
  • Если зубов на одной челюсти нет совсем — применяются методики тотальной имплантации, например All-on-4 или All-on-6, где вся челюсть восстанавливается всего на нескольких имплантах.

Сколько это стоит на самом деле

Мост обычно обходится дешевле, чем имплант, но у него короче срок службы — через несколько лет конструкцию придётся менять. Имплантация кажется дороже на старте, но работает дольше и сохраняет соседние зубы.

Важно понимать: точную стоимость невозможно назвать без диагностики. Она зависит от состояния костной ткани, количества зубов, выбранных материалов и метода восстановления.

Какой же должен быть ваш первый шаг?

Прийти на консультацию и составить с доктором индивидуальный план лечения. В клинике Probel:

  • проведём 3D-диагностику перед лечением,
  • объясним все варианты восстановления и рассчитаем точную стоимость лечения,
  • предложим протезирование и имплантацию с современными материалами.

Это не обязывает вас сразу начинать лечение, но даст понимание, сколько времени и средств потребуется именно в вашем случае.

Подробнее о нашем подходе, используемых технологиях и кейсах из нашей практики смотрите на страницах Имплантация зубов и Протезирование.

А чтобы получить индивидуальный план и ответы на все вопросы — записывайтесь на консультацию, и мы поможем выбрать оптимальное решение.

Мы отвечаем быстро и с заботой.

Адрес: Москва, Ленинградский проспект, 29к1

проложить маршрут

Телефон: +7 499 130 88 77

Сайт: probelclinic.ru

Мессенджеры — пишите, как вам удобнее:

WhatsApp +7 903 130 88 77

Telegram: probel_clinic

Мы будем рады видеть вас в нашей клинике и подарить ту самую улыбку, о которой вы давно мечтаете.