Добавить в корзинуПозвонить
Найти в Дзене
Два Дантиста

Создаем улыбку мечты с помощью виниров

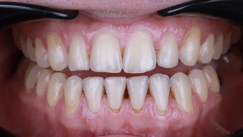
Пациент обратился в клинику с желанием кардинально обновить улыбку. После детального осмотра и диагностики стоматолог-ортопед клиники «Два Дантиста» Лукьяненко Артур Викторович провёл анализ соотношения лица и зубов, сфотографировал улыбку и сделал цифровой дизайн. Вместе с пациентом врач обсудил желаемый результат: симметричную улыбку с естественной цветовой гармонией, улучшенные пропорции зубов и безупречную поверхность. В качестве примера был представлен пробный макет (mock-up), чтобы пациент наглядно увидеть итог ещё до начала работы. Этапы лечения Перед протезированием была выполнена санация и профессиональная гигиена, чтобы предотвратить осложнения и улучшить результат. Было проведено точное измерение прикуса и анализ окклюзии; подобран оттенок и фактура под естественный цвет зубной эмали. Создан пробный макет улыбки, который позволил согласовать форму, размер и симметрию. 2. Препарирование и адаптация виниров Далее была выполнена минимальная обработка эмали (незначительное удал

Пациент обратился в клинику с желанием кардинально обновить улыбку. После детального осмотра и диагностики стоматолог-ортопед клиники «Два Дантиста» Лукьяненко Артур Викторович провёл анализ соотношения лица и зубов, сфотографировал улыбку и сделал цифровой дизайн. Вместе с пациентом врач обсудил желаемый результат: симметричную улыбку с естественной цветовой гармонией, улучшенные пропорции зубов и безупречную поверхность. В качестве примера был представлен пробный макет (mock-up), чтобы пациент наглядно увидеть итог ещё до начала работы.

-2

Этапы лечения

  1. Подготовка и планирование

Перед протезированием была выполнена санация и профессиональная гигиена, чтобы предотвратить осложнения и улучшить результат.

Было проведено точное измерение прикуса и анализ окклюзии; подобран оттенок и фактура под естественный цвет зубной эмали.

Создан пробный макет улыбки, который позволил согласовать форму, размер и симметрию.

-3

2. Препарирование и адаптация виниров

Далее была выполнена минимальная обработка эмали (незначительное удаление ткани зуба) для оптимального прилегания и пропорций виниров.

После — зафиксирован временный протез на период изготовления постоянных виниров, чтобы пациент мог максимально адаптироваться к новому облику.

-4

3. Изготовление виниров

В лаборатории использовались керамические виниры из высококачественных материалов с отличной прозрачностью и стойкостью к износу.

Технология изготовления включала точную шлифовку, цветовую регуляцию и качественную глазурь для естественного блеска.

4. Примерка и фиксация

Затем была примерка виниров: оценивались цвет, форма, посадка и симметрия.

После финальных коррекций виниры были фиксированы.

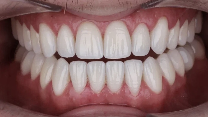
Какой результат получил пациент 

-5

  • Улыбка стала симметричнее: пропорции зубов выровнялись по отношению к лицу и друг к другу, что улучшило общий баланс улыбки.
  • Эстетика: поверхность виниров гладкая, естественно блестит под разными источниками света и легко поддается полировке, сохраняет прозрачность и глубину цвета.
  • Функциональность: зубы стали более прочными при жевании, передние зубы поддерживают стабильное смыкание, что снижает риск износа и изменения прикуса.
-6

При грамотном уходе и регулярных осмотрах срок службы виниров может достигать до 15 лет и дольше; они сохраняют идентичность по свойствам эмали благодаря материалу, который близок по плотности и оптическим характеристикам к естественной эмали.

Успех процедуры зависит от выбора материала, качества фиксации, соблюдения гигиены и контроля прикуса.

Записаться в нашу стоматологию можно через сайт или по тел. +7 (931) 002-03-17