Добавить в корзинуПозвонить
Найти в Дзене
Литрес

Близнец-паразит в животе: почему случаев становится всё больше, и хирурги всё чаще проводят такие операции

Хирурги по всему миру всё чаще сталкиваются с редчайшим феноменом – «плод в плоде». В этой статье расскажем о трёх реальных историях, трёх пациентах из Афганистана, Египта и Индии, и сложных операциях, когда врачи извлекали из людей паразитирующих близнецов. Почему таких случаев становится всё больше? Что говорят эксперты? История двухмесячного мальчика из Кабула стала одной из самых громких в 2024 году. Малыш поступил в больницу со вздутием. Ничего необычного, особенно, когда у ребёнка колики в таком возрасте. Однако родители указывали на подозрительно раздутый живот. Первоначально врачи предполагали нефробластому – опухоль почки, часто встречающуюся у младенцев. Однако компьютерная томография показала нечто совершенно иное: в брюшной полости находилось образование, состоящее из мягких тканей, жира, жидкости и костей. На снимках чётко различались лицевые кости, позвоночник и рёбра – признаки недоразвитого близнеца. Хирурги провели операцию, длившуюся несколько часов, и извлекли «пара
Оглавление

Хирурги по всему миру всё чаще сталкиваются с редчайшим феноменом – «плод в плоде». В этой статье расскажем о трёх реальных историях, трёх пациентах из Афганистана, Египта и Индии, и сложных операциях, когда врачи извлекали из людей паразитирующих близнецов. Почему таких случаев становится всё больше? Что говорят эксперты?

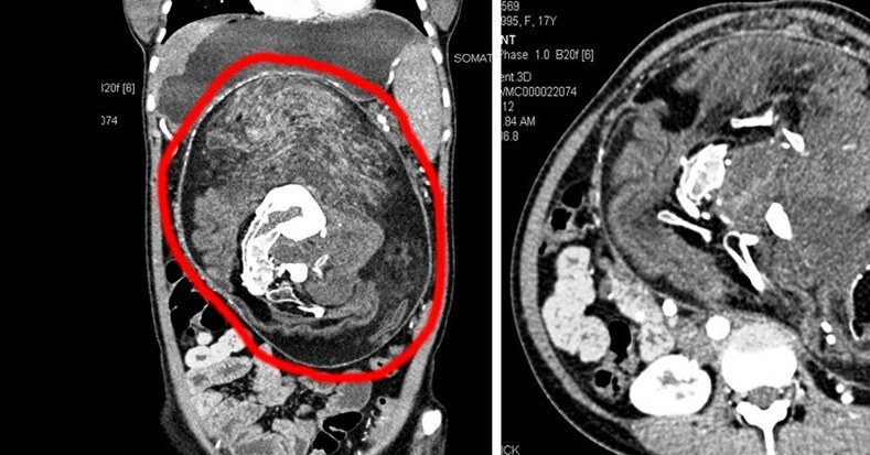
История двухмесячного мальчика из Кабула стала одной из самых громких в 2024 году. Малыш поступил в больницу со вздутием. Ничего необычного, особенно, когда у ребёнка колики в таком возрасте. Однако родители указывали на подозрительно раздутый живот. Первоначально врачи предполагали нефробластому – опухоль почки, часто встречающуюся у младенцев. Однако компьютерная томография показала нечто совершенно иное: в брюшной полости находилось образование, состоящее из мягких тканей, жира, жидкости и костей.

На снимках чётко различались лицевые кости, позвоночник и рёбра – признаки недоразвитого близнеца.

Хирурги провели операцию, длившуюся несколько часов, и извлекли «паразита» размером 8×12 см. Несмотря на сложность вмешательства, мальчик быстро восстановился.

Похожая история произошла в Египте. В больницу доставили 11-дневную девочку с аномально раздутым животом. Томография показала образование размером 8×6 см рядом с печенью. Сначала врачи заподозрили опухоль, но снимки раскрыли шокирующую правду: внутри находились деформированные рёбра, позвонки и тазовые кости.

-2

Это оказался однояйцевый близнец, который развивался внутри тела девочки и питался за счёт её артерий. Когда хирурги вскрыли брюшную полость, они обнаружили мешок с жиром и тканями, в котором были две конечности, пуповина и зачаточный кишечник. Операция прошла успешно. Уже через несколько дней младенца выписали домой.

Индия: 17-летний подросток с частями тела брата-близнеца

Самый шокирующий случай последних лет произошёл в Индии. 17-летний юноша жил с частями тела своего неразвившегося близнеца. Из его живота торчали ноги, ягодицы и гениталии – рудименты брата, слившегося с ним ещё в утробе. Паразитирующий близнец весил около 15 килограммов и имел чувствительность к боли и температуре. Несмотря на аномалию, у подростка нормально функционировали кишечник и мочевой пузырь, но он страдал от постоянной боли и проблем с дыханием.

Операция в Индии проходила в несколько этапов. Хирурги разделили сосудистую и нервную сети, которые были общими у обоих организмов, и удалили излишние ткани, включая кисту в брюшной полости. После вмешательства пациент быстро восстановился и уже через несколько дней смог вставать, есть и ходить.

«Я не мог путешествовать, учиться или даже играть с друзьями. Теперь у меня новая жизнь», – рассказал он журналистам.

Медики признаются: случаи уникальные. Это явление называется fetus in fetu – с латинского «плод в плоде».

По всему миру зарегистрировано не более 200 подобных операций, и каждый раз организм пациента становится настоящей загадкой природы. Но в последние годы хирурги всё чаще проводят такие сложные вмешательства благодаря развитию технологий диагностики – появлению современных томографов. Также появились нано- и микроинструменты. В микрохирургии применяются инструменты толщиной с волос, управляемые под микроскопом или с помощью магнитных полей.

-3

С их помощью врачи восстанавливают мельчайшие сосуды и нервы, проводят операции на глазах, слуховых косточках, а также внутри мозга. Современные хирурги нередко работают в цифровых очках или с 3D-проекцией органов.

Технологии AR и VR позволяют заранее «построить» модель тела пациента по данным КТ и МРТ, «потренироваться» на ней, а во время операции видеть важные сосуды или нервы прямо в проекции на реальное тело. Буквально 30-50 лет назад такие операции не проводились, пациенты не могли получить полноценную помощь.

Похожие материалы:

Подборка медицинских историй:

-4