Добавить в корзинуПозвонить
Найти в Дзене
МЕДИК

Ученые создали математическую модель, объясняющую нарушения моторики пищевода

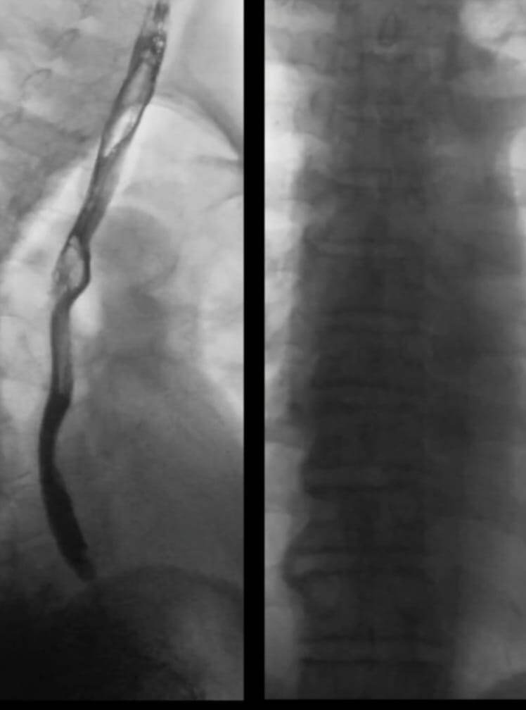
Фукуока, Япония — Исследователи из Университета Кюсю в сотрудничестве с Университетом Джосаи и Университетом Хоккайдо разработали математическую модель, которая воссоздает работу мышц пищевода во время глотания. Модель не только объясняет нормальный процесс проглатывания, но и имитирует динамику мышц при различных нарушениях моторики пищевода, раскрывая их возможные причины и открывая новые пути для лечения. Глотание — это естественный процесс для большинства людей, однако его нарушения, известные как дисфагия, затрагивают миллионы людей по всему миру. Дисфагия серьезно влияет на качество жизни, приводя к недоеданию, обезвоживанию и даже таким опасным для жизни осложнениям, как аспирационная пневмония. При глотании запускается процесс перистальтики пищевода — непроизвольные волнообразные сокращения и расслабления мышц, которые проталкивают пищу или жидкость в желудок. Современные методы наблюдения, такие как высокоразрешающая манометрия, показывают, что этот процесс чрезвычайно сложен.

Фукуока, Япония — Исследователи из Университета Кюсю в сотрудничестве с Университетом Джосаи и Университетом Хоккайдо разработали математическую модель, которая воссоздает работу мышц пищевода во время глотания. Модель не только объясняет нормальный процесс проглатывания, но и имитирует динамику мышц при различных нарушениях моторики пищевода, раскрывая их возможные причины и открывая новые пути для лечения.

Глотание — это естественный процесс для большинства людей, однако его нарушения, известные как дисфагия, затрагивают миллионы людей по всему миру. Дисфагия серьезно влияет на качество жизни, приводя к недоеданию, обезвоживанию и даже таким опасным для жизни осложнениям, как аспирационная пневмония.

При глотании запускается процесс перистальтики пищевода — непроизвольные волнообразные сокращения и расслабления мышц, которые проталкивают пищу или жидкость в желудок. Современные методы наблюдения, такие как высокоразрешающая манометрия, показывают, что этот процесс чрезвычайно сложен.

«Например, нижний пищеводный сфинктер, который действует как клапан между пищеводом и желудком, открывается только в нужный момент, чтобы пропустить пищу. Кроме того, при быстрых повторных глотаниях они подавляют друг друга, и проходит только последнее сокращение — это явление известно как деглутитивное торможение. Однако до сих пор у нас не было модели, которая могла бы воссоздать все эти сложные движения или нарушения моторики», — поясняет ведущий автор исследования, профессор Такаси Миура из Медицинского факультета Университета Кюсю.

Новая модель использует простые математические уравнения в сочетании с данными манометрии для имитации всего процесса моторики пищевода. Она учитывает сигналы, возникающие в мозге и в локальных нервных сплетениях пищевода, а также сокращение и расслабление его мышц и нижнего сфинктера.

Ключевым достижением стало то, что, регулируя всего несколько параметров в уравнениях — такие как сила нервных сигналов, порог их срабатывания или сила мышечных сокращений, — исследователи смогли смоделировать широкий спектр известных нарушений.

«Таким образом, наша модель может дать огромное теоретическое представление о том, каковы могут быть основные причины этих расстройств», — говорит Миура.

Возможные применения модели обширны. В будущем клиницисты смогут использовать ее более advanced-версии, чтобы идентифицировать несколько потенциальных коренных причин дисфагии для каждого конкретного пациента. Это расширит спектр возможных методов лечения. Кроме того, модель может помочь в разработке лекарств, позволяя смоделировать их эффект при различных нарушениях до начала клинических испытаний.

Однако текущая модель имеет ограничения. Она рассматривает только глотание жидкостей, а не пищи, так как учет твердой пищи значительно увеличивает сложность из-за необходимости учитывать ее размер, форму и текстуру. Также модель описывает сокращения мышц только в одном измерении. В планах команды — расширить модель до двух измерений, чтобы охватить более сложные паттерны движений.

«Это только первый шаг к созданию теоретической основы для понимания процесса глотания, — заключил профессор Миура. — Дальнейшее развитие модели может помочь в разработке новых методов лечения и в конечном итоге улучшить качество жизни пациентов с дисфагией».