Найти в Дзене

Комплексное преображение улыбки

Пациентка 40 лет пришла с запросом восстановить отсутствующий зуб и выровнять передние зубы, убрать сколы, устранить сильную чувствительность зубов и предотвратить сколы и стирание зубов. Стоматолог-ортопед направил пациентку на консультацию к ортодонту, стоматологу-терапевту и хирургу-имплантологу, чтобы составить план комплексного лечения. Выполнена компьютерная томография зубов: Все специалисты работают в одной клинике и умеют скоординированно решать сложные проблемы. Протезирование зубов без исправления прикуса не даст долговечный результат, бруксизм может даже усилиться и коронки быстро разрушаться. Сначала нужно исправить прикус, а затем в правильном прикусе выполнять протезирование. Перед исправлением прикуса удалили в седации все 4 зуба мудрости, так как они усиливали скученность зубов. Проблемные зубы пролечили с микроскопом. Для исправления прикуса были выбраны прозрачные капы Инвизилайн (лечение капами проводилось несколько лет назад). Исправление прикуса капами более комфор
Оглавление

Пациентка 40 лет пришла с запросом восстановить отсутствующий зуб и выровнять передние зубы, убрать сколы, устранить сильную чувствительность зубов и предотвратить сколы и стирание зубов.

Стоматолог-ортопед Иваньков Александр Сергеевич
Стоматолог-ортопед Иваньков Александр Сергеевич

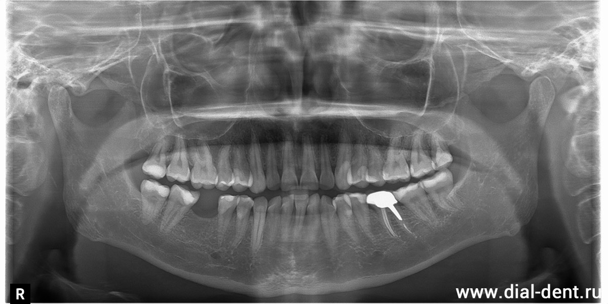
Стоматолог-ортопед направил пациентку на консультацию к ортодонту, стоматологу-терапевту и хирургу-имплантологу, чтобы составить план комплексного лечения. Выполнена компьютерная томография зубов:

КТ зубов до начала лечения
КТ зубов до начала лечения

Все специалисты работают в одной клинике и умеют скоординированно решать сложные проблемы.

План комплексного лечения:

  1. Профессиональная гигиена зубов перед комплексным лечением.
  2. Лечение зубов под микроскопом (лечение множественного кариеса и пульпита).
  3. Удаление всех 4-х зубов мудрости по ортодонтическим показаниям под седацией.
  4. Ортодонтическое лечение на капах Инвизилайн.
  5. Установка импланта Astra Tech с применением хирургического шаблона для восстановления отсутствующего зуба.
  6. Установка временной коронки на имплант.
  7. Полное протезирование всех зубов керамическими коронками (этот этап включает восковое моделирование будущих реставраций и временное протезирование) в физиологичном по высоте прикусе.

Удаление зубов мудрости, лечение с микроскопом и исправление прикуса - необходимая подготовка к протезированию зубов

Протезирование зубов без исправления прикуса не даст долговечный результат, бруксизм может даже усилиться и коронки быстро разрушаться. Сначала нужно исправить прикус, а затем в правильном прикусе выполнять протезирование.

Перед исправлением прикуса удалили в седации все 4 зуба мудрости, так как они усиливали скученность зубов. Проблемные зубы пролечили с микроскопом.

Для исправления прикуса были выбраны прозрачные капы Инвизилайн (лечение капами проводилось несколько лет назад). Исправление прикуса капами более комфортно, так как, во-первых, окружающие меньше замечают, что во рту есть ортодонтические конструкции, а во-вторых, для чистки зубов достаточно снять капу и почистить зубы как обычно.

ортодонт Остроухова Марина Николаевна поможет исправить прикус как брекетами, так и капами
ортодонт Остроухова Марина Николаевна поможет исправить прикус как брекетами, так и капами

Установка зубного импланта

На завершающем этапе лечения капами был установлен зубной имплант. Такое грамотное планирование позволило сократить время ожидания окончательного результата, так как время, необходимое на приживление импланта, совпало с заключительным этапом ортодонтического лечения, когда зубы уже не передвигаются, но капы еще нужно носить для закрепления результата исправления прикуса.

имплантация зубов в седации в "Диал-Дент"
имплантация зубов в седации в "Диал-Дент"

Протезирование всех зубов керамическими коронками

Для закрепления физиологичной высоты прикуса, укрепления депульпированных зубов и восстановления анатомической формы стертых и сколотых зубов было принято решение все зубы закрыть коронками из керамики. При правильной высоте прикуса суставы работают без перегрузки и не изнашиваются раньше времени.

Коронки смоделировали на компьютере, и девушка смогла увидеть, как будет выглядеть ее улыбка после протезирования.

Сначала установили временные коронки, чтобы можно было оценить удобство прикуса.

на зубах временные коронки
на зубах временные коронки

С первого же дня пациентка отметила удобство более высокого прикуса, отсутствие напряжения в жевательных мышцах и шее.

Керамические постоянные коронки на все зубы и установленный имплант выполнили из диоксида циркония. Этот материал не вызывает аллергических реакций, прочный, позволяет делать высокоэстетичные реставрации зубов.

Сравните фотографии с разных ракурсов до и после комплексного протезирования зубов.

комплексное протезирование зубов: удаление зубов мудрости, лечение зубов с микроскопом, исправление прикуса, установка импланта, протезирование всех зубов
комплексное протезирование зубов: удаление зубов мудрости, лечение зубов с микроскопом, исправление прикуса, установка импланта, протезирование всех зубов
комплексное протезирование зубов - верхние зубы
комплексное протезирование зубов - верхние зубы
комплексное протезировние зубов - нижние зубы
комплексное протезировние зубов - нижние зубы
комплексное протезирование зубов - вид справа
комплексное протезирование зубов - вид справа
комплексное протезирование зубов - вид слева
комплексное протезирование зубов - вид слева
улыбка до и после комплексного лечения в Диал-Дент
улыбка до и после комплексного лечения в Диал-Дент

Стоимость комплексного лечения

Стоимость лечения рассчитывается после консультации, диагностики и выбора тактики лечения. Можно подобрать разные варианты. Пациенты Семейного стоматологического центра "Диал-Дент" подписывают смету на лечение, поэтому еще до начала лечения знают, сколько все лечение будет стоить. Стоимость разбита по этапам, каждый этап оплачивается отдельно, не нужно сразу вносить всю сумму.

Стоимость отдельных этапов:

Профессиональная гигиена зубов, лечение кариеса и пульпита под микроскопом – 300 тыс. рублей.

Удаление четырёх зубов мудрости под седацией и установка импланта Astra Tech – 150 тыс. рублей.

Ортодонтическое лечение на капах Инвизилайн – 400 тыс. рублей.

Протезирование всех зубов керамическими коронками – 2,7 млн. рублей.

Запись на консультацию к специалистам Семейного стоматологического центра "Диал-Дент" по телефону +7 (495) 032-23-64. Мы подберем индивидуальное решение Вашей проблемы.