Добавить в корзинуПозвонить
Найти в Дзене
Два Дантиста

Хотите идеальную и здоровую улыбку? Комплексное лечение вам в помощь

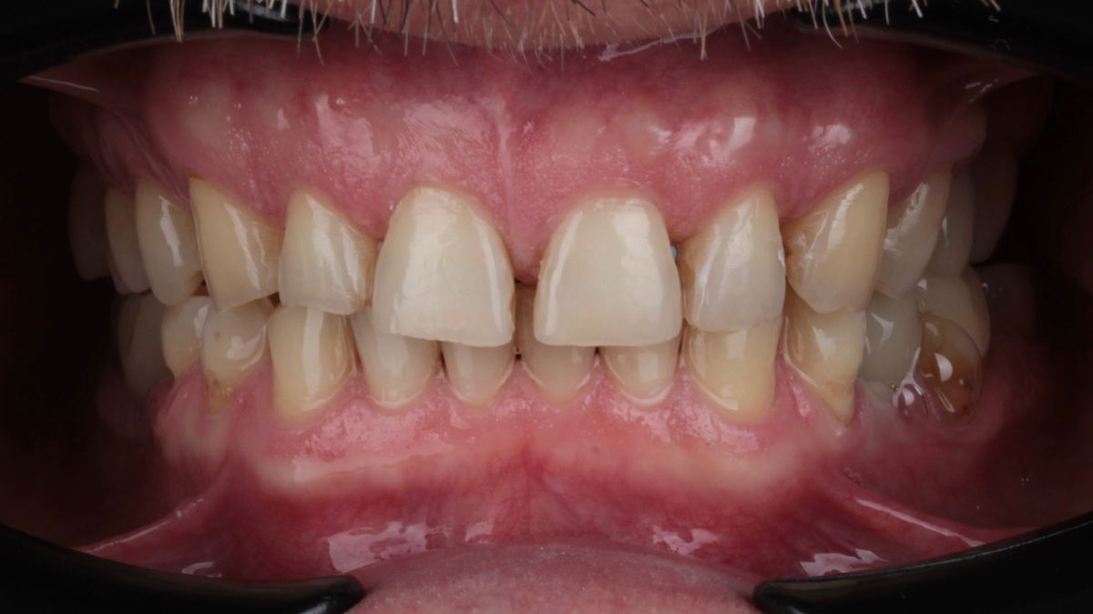
Пациент обратился в клинику «Два Дантиста» с жалобой на неудовлетворительную эстетику улыбки. После диагностики наша команда врачей составила план комплексного лечения, который пациент прошел полностью. ✔️ Санация помогает удалить зубной налет и камень, предотвращая развитие кариеса и заболеваний десен, что способствует сохранению здоровых зубов и красивой улыбки. Процедура является обязательным этапом перед хирургическими вмешательствами, установкой имплантов, протезов, брекетов или элайнеров. ✔️Ортодонтическое лечение облегчает гигиену полости рта, уменьшает риск развития кариеса, пародонтита и других заболеваний десен, делает улыбку гармоничной и красивой. Правильное расположение единиц может быть необходимо для создания достаточного пространства для протезирования зубов. ✔️ Имплантация зубов рекомендуется для восстановления утраченных единиц. Она позволяет вернуть жевательную функцию, предотвратить атрофию костной ткани и улучшить эстетику улыбки. Имплантаты ощущаются как свои з

Пациент обратился в клинику «Два Дантиста» с жалобой на неудовлетворительную эстетику улыбки. После диагностики наша команда врачей составила план комплексного лечения, который пациент прошел полностью.

-2

  • Санацию полости рта проводили Кожокарь Карина Васильевна, стоматолог-терапевт, реставратор, и Ковалева Лидия Николаевна, стоматолог-терапевт, эндодонтист.

✔️ Санация помогает удалить зубной налет и камень, предотвращая развитие кариеса и заболеваний десен, что способствует сохранению здоровых зубов и красивой улыбки. Процедура является обязательным этапом перед хирургическими вмешательствами, установкой имплантов, протезов, брекетов или элайнеров.

  • Исправление прикуса пациент проходил вместе с Тибиловым Бимболатом Олеговичем, стоматологом-ортодонтом.

✔️Ортодонтическое лечение облегчает гигиену полости рта, уменьшает риск развития кариеса, пародонтита и других заболеваний десен, делает улыбку гармоничной и красивой. Правильное расположение единиц может быть необходимо для создания достаточного пространства для протезирования зубов.

  • Имплантацию для зубного ряда делал Егиазарян Рафаэль Араикович, стоматолог-хирург, имплантолог.

✔️ Имплантация зубов рекомендуется для восстановления утраченных единиц. Она позволяет вернуть жевательную функцию, предотвратить атрофию костной ткани и улучшить эстетику улыбки. Имплантаты ощущаются как свои зубы и не требуют особого ухода в отличие от съемных протезов.

  • Тотальной реабилитацией винирами и коронками занималась Баринова Анна Владимировна, стоматолог-ортопед.

✔️ Для улучшения эстетики и функциональности зубного ряда, особенно при наличии значительных дефектов, таких как сколы, трещины, стираемость, неправильный прикус, а также для исправления цвета и формы зубов, пациенты прибегают к полной реконструкции зубного ряда.

-3

Керамические коронки и виниры благодаря своим свойствам: прочность, цвет, прозрачность, текстура, хорошо решают эти проблемы. Зубы приобретают былую способность, служат пациенту долгие годы и радуют естественным видом.

Комплексный подход к оздоровлению зубов — это всегда идеальный результат. Проходите лечение с командой профессионалов клиники «Два Дантиста» — мы справимся с клиническим случаем любой сложности. 

Записаться в нашу стоматологию можно через сайт или по тел. 8 (812) 223-43-29