Добавить в корзинуПозвонить
Найти в Дзене

Почему поездка в Китай за новыми зубами может закончиться провалом — честно объясняем, когда ехать нельзя

Каждый день нам пишут люди из разных городов — от Хабаровска до Екатеринбурга — с одной и той же фразой: «Хочу приехать в Китай, чтобы всё сразу сделать: и лечение, и коронки, и импланты, и вообще — чтобы за один раз». И каждый раз нам приходится объяснять, почему это невозможно. Не потому что мы не хотим. А потому что мы отвечаем за результат. А результат — это не только красивая улыбка, это ещё и здоровье. И его нельзя подделать. Зубы — это не только то, что видно в зеркале. Это корни, кость, воспаления, кисты, старые ошибки, которые иногда годами скрываются под мостами и коронками. И многие об этом даже не догадываются. До тех пор, пока не оказывается, что под красивой, блестящей металлокерамикой давно пошёл гной. Что киста уже «съела» половину кости. Что каналы запломбированы не до конца. Что один зуб вообще треснул под десной, и это видно только на снимке. А ведь вы уже купили билеты, собрали чемодан, и уверены: сейчас приеду — и мне всё сделают. А мы смотрим снимок — и понимаем:
Оглавление

Почему не стоит ехать в Китай на лечение, если зубы не подготовлены

Каждый день нам пишут люди из разных городов — от Хабаровска до Екатеринбурга — с одной и той же фразой: «Хочу приехать в Китай, чтобы всё сразу сделать: и лечение, и коронки, и импланты, и вообще — чтобы за один раз». И каждый раз нам приходится объяснять, почему это невозможно. Не потому что мы не хотим. А потому что мы отвечаем за результат. А результат — это не только красивая улыбка, это ещё и здоровье. И его нельзя подделать.

Важно, пожготовьте зубы для протезирования в России.
Важно, пожготовьте зубы для протезирования в России.

Лечение и протезирование — это не одно и то же

Зубы — это не только то, что видно в зеркале. Это корни, кость, воспаления, кисты, старые ошибки, которые иногда годами скрываются под мостами и коронками. И многие об этом даже не догадываются. До тех пор, пока не оказывается, что под красивой, блестящей металлокерамикой давно пошёл гной. Что киста уже «съела» половину кости. Что каналы запломбированы не до конца. Что один зуб вообще треснул под десной, и это видно только на снимке. А ведь вы уже купили билеты, собрали чемодан, и уверены: сейчас приеду — и мне всё сделают. А мы смотрим снимок — и понимаем: нельзя.

Почему невозможно сделать всё за один раз

Когда в зубе инфекция, когда под мостом скрыто воспаление, когда в канал попала ошибка — ставить коронку сверху значит запечатать проблему внутри. Она никуда не денется. Она будет накапливаться, гноиться, разъедать кость, и в какой-то момент вы просто потеряете этот зуб. Или почувствуете, как ночью начинает пульсировать, и весь ваш красивый результат пойдёт насмарку. Мы не работаем по такому принципу. Мы не «ставим, чтобы было». Мы делаем так, чтобы это стояло годами. Чтобы вы вернулись домой — и больше не вспоминали о зубах. Чтобы вы улыбались спокойно. Именно поэтому мы не берёмся за протезирование, если видим, что зубы не готовы.

Что обещают частные клиники — и почему это опасно

Некоторые частные клиники в Китае, особенно те, что маскируются под государственные, обещают пациентам: «Сделаем всё и сразу». Лечение? Да без проблем. Удаление? Пять минут. Каналы? А зачем их лечить — мы просто закроем сверху цирконием. Звучит красиво. Только потом этот цирконий — вылетает, или гниёт изнутри. А пациент остаётся с воспалением и без гарантии. А когда приходит к нам повторно, мы уже не можем восстановить зуб. Потому что кость ушла. Потому что воспаление перешло на соседние участки. Потому что ему «помогли» те, кто просто взял деньги.

Как выглядит правильный подход

Мы работаем в государственной стоматологической больнице города Хэйхэ. Мы не рекламируемся на подозрительных сайтах, не выдаём себя за «быстрых волшебников» и не говорим пациенту то, что он хочет услышать. Мы говорим правду. А правда в том, что лечение должно быть сделано заранее. В России. У терапевта, у хирурга. С контролем. С выжиданием. Потому что любое воспаление лечится не за день. Даже самый хороший врач не может устранить кисту или перелечить каналы за 30 минут. И если вам говорят обратное — значит, вами просто хотят воспользоваться.

Что конкретно нужно сделать перед поездкой

В идеале всё выглядит так: вы проходите лечение у себя дома. Вылечиваете каналы, снимаете старые мосты, удаляете всё, что не подлежит восстановлению. Через 2–3 недели делаете панорамный снимок. Присылаете его нам. Мы его анализируем. Честно говорим: готовы вы или нет. Если всё хорошо — вы приезжаете в Хэйхэ, и за 3–4 дня получаете полностью новое протезирование. С красивыми коронками, с точной прикусной линией, с CAD/CAM-технологией, с гарантией от государственной больницы.

Почему нельзя приезжать с больными зубами

Если же вы приезжаете с больными зубами, с воспалением, с неполноценной подготовкой — мы вынуждены отказать. Не потому что не хотим помочь. А потому что ответственность за результат — на нас. И мы не можем поставить красивую конструкцию на больное основание. Это будет обман и халтура. А мы делаем не так.

Что делать тем, кто только планирует поездку

Если вы уже знаете, что вам предстоит лечение — сделайте его в России. Уделите 2–3 недели. Это может быть эндодонтическая терапия, удаление, лечение дёсен. Всё это должно завершиться до поездки. Китай — это не для лечения. Китай — это финальный этап. Это протезирование. Это цирконий, металлокерамика, бюгель. Это эстетика и функциональность. А не экстренная терапия.

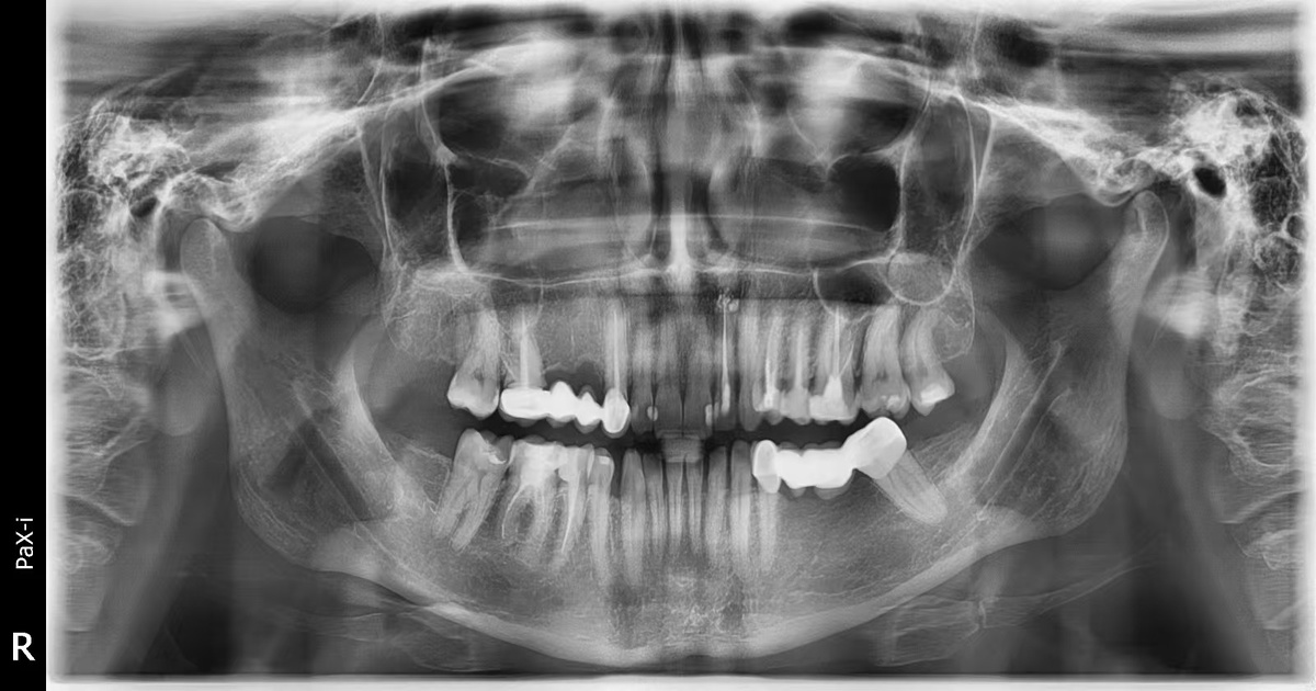
Мы принимаем только по снимку — и только подготовленных

Как выглядит ОПТГ снимок.
Как выглядит ОПТГ снимок.

Мы принимаем пациентов только с подготовкой. Только по снимку. Только тогда, когда можем гарантировать результат. Мы не играем с зубами. Мы их восстанавливаем так, чтобы вы потом забыли, что они когда-то были проблемой.

Связь с нами и помощь на всех этапах

Если вы хотите сделать всё правильно — просто напишите нам. Сделайте снимок. Присылайте на проверку. Мы честно скажем: можно ехать — или ещё рано. Мы ответим лично. Мы отправим расчёт. Мы оформим визу, трансфер, организуем проживание. Всё официально. Без посредников. Без обмана.

Контакты для отправки снимка и записи:

📞 WhatsApp / Telegram: +7 (924) 449‑99‑79

📩 Email: info@mirastom.ru

🌍 Государственная стоматологическая больница города Хэйхэ, официальный приём, документы и гарантия.