Добавить в корзинуПозвонить
Найти в Дзене
Прайм-Стоматология

История пациента ПРАЙМа, который стеснялся улыбаться

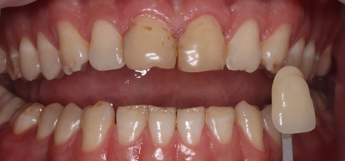
Частая ситуация из практики докторов «Прайм-стоматологии»: пациент стесняется улыбаться из-за того, что ему не нравятся форма, расположение и цвет его зубов. Это очень печально, ведь улыбка – мощный инструмент коммуникации, который влияет на многие сферы жизни. К счастью, современная стоматология способна восстанавливать эстетику и привлекательность зубов, используя разные методы. В качестве примера покажем кейс нашего ведущего врача-стоматолога, специалиста по лечению под микроскопом и эстетическим реставрациям Заичкиной Павлины Евгеньевны. К Павлине Евгеньевне в ПРАЙМ обратился молодой человек А., который очень стеснялся своей улыбки. У А. была простая, но важная просьба – свободно улыбаться и не думать о том, как выглядят зубы. У нашего пациента были выявлены сколы на передних зубах и темноватый естественный оттенок зубов. После консультации Павлина Евгеньевна вместе с А. приняли решение сделать эстетические реставрации в зоне улыбки и профессиональное отбеливание. На 11 и 21 зуб до

Частая ситуация из практики докторов «Прайм-стоматологии»: пациент стесняется улыбаться из-за того, что ему не нравятся форма, расположение и цвет его зубов. Это очень печально, ведь улыбка – мощный инструмент коммуникации, который влияет на многие сферы жизни.

К счастью, современная стоматология способна восстанавливать эстетику и привлекательность зубов, используя разные методы.

В качестве примера покажем кейс нашего ведущего врача-стоматолога, специалиста по лечению под микроскопом и эстетическим реставрациям Заичкиной Павлины Евгеньевны.

Павлина Евгеньевна ведёт приём в филиале на Советской армии, 9.
Павлина Евгеньевна ведёт приём в филиале на Советской армии, 9.

К Павлине Евгеньевне в ПРАЙМ обратился молодой человек А., который очень стеснялся своей улыбки. У А. была простая, но важная просьба – свободно улыбаться и не думать о том, как выглядят зубы.

У нашего пациента были выявлены сколы на передних зубах и темноватый естественный оттенок зубов. После консультации Павлина Евгеньевна вместе с А. приняли решение сделать эстетические реставрации в зоне улыбки и профессиональное отбеливание.

Перед отбеливанием врач определяет изначальный цвет эмали зубов пациента по шкале VITA и выбирает с пациентом желаемый результат.
Перед отбеливанием врач определяет изначальный цвет эмали зубов пациента по шкале VITA и выбирает с пациентом желаемый результат.

На 11 и 21 зуб доктор установила керамические виниры, которые отличаются высокой эстетикой и долгим сроком службы. После данных процедур улыбка нашего пациента заиграла новыми красками, и самое главное, что А. теперь чаще улыбается!

-3

Сравним результаты: до и после.

-4

Если Вы тоже хотите изменить свою улыбку, но не знаете, с чего начать — запишитесь на консультацию в ПРАЙМ! Телефон для записи — (4912)292-000.

_________________________________

Наши клиники в г. Рязань:

Есенина, 110

Советской армии, 9

Бирюзова, 28а

Интернациональная, 23

Полетаева, 34 (клиника корпоративного университета)

https://www.prime-med.ru/