Добавить в корзинуПозвонить
Найти в Дзене
Алиса Попова

Разбор кейса

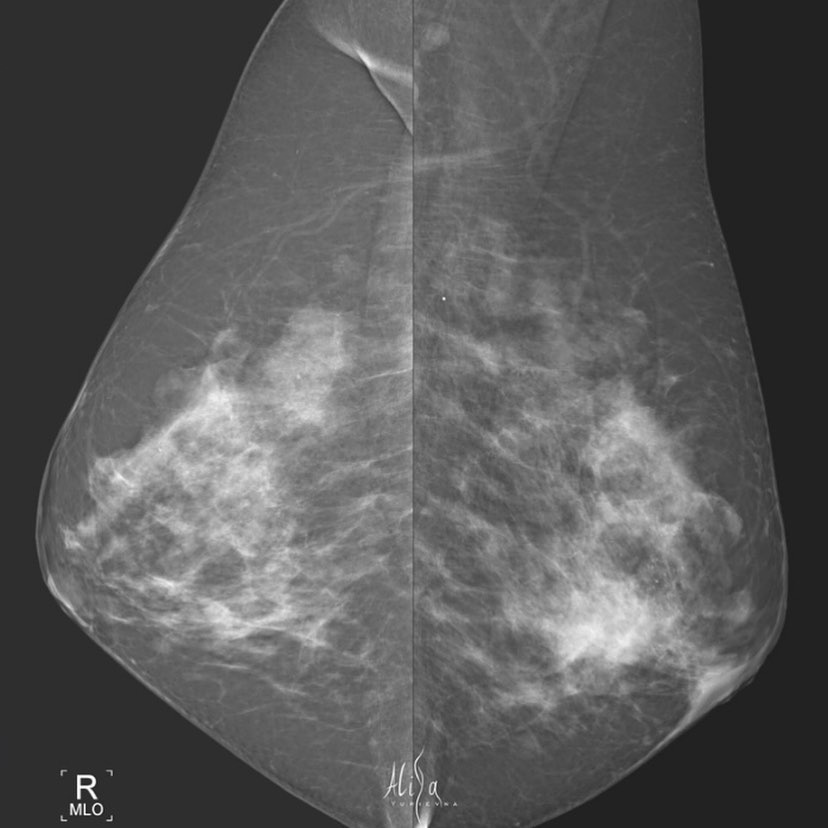
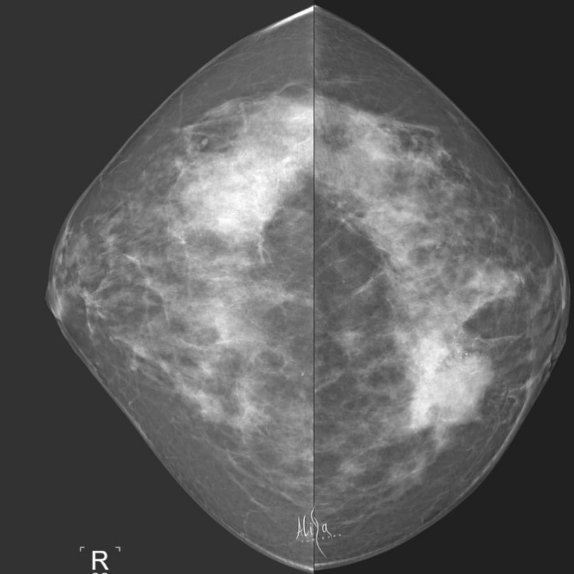
Женщина 1965гр Клинически - ЗН слева во внутреннем квадранте Маммография - синхронный рак Гистология: Инвазивная карцинома молочной железы G3. ⠀ Всё нашли?) наглядно и не сложно💚 #маммография #маммографияекб #диагностика #ракмолочнойжелезы #рентгенология #берегисебя #екатеринбург #синхронныйрак

Женщина 1965гр

Клинически - ЗН слева во внутреннем квадранте

Маммография - синхронный рак

-2

Гистология:

Инвазивная карцинома молочной железы G3.

-3

-4

Всё нашли?) наглядно и не сложно💚 #маммография #маммографияекб #диагностика #ракмолочнойжелезы #рентгенология #берегисебя #екатеринбург #синхронныйрак